Telefon:
+49 (0)241 95 163 153
Fax:
+49 (0)241 95 163 155
E-Mail:
orders@antikoerper-online.de

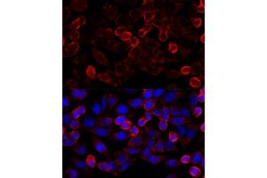
HDAC6 Antikörper (AA 836-1104)

Der Kaninchen Polyklonal anti-HDAC6 Antikörper (ABIN6141681) detektiert spezifisch HDAC6 in WB, IHC, IF und IP. Dieser Antikörper reagiert spezifisch mit Proben aus Human.
Produktnummer ABIN6141681
320,00 €
Zzgl. Versandkosten 20,00 € und MwSt
Lieferung nach: Deutschland
Lieferung in 7 bis 9 Werktagen

Kurzübersicht für HDAC6 Antikörper (AA 836-1104) (ABIN6141681)

Target

Alle HDAC6 Antikörper anzeigen
HDAC6 (Histone Deacetylase 6 (HDAC6))

Reaktivität

  • 137
  • 45
  • 32
  • 8
  • 5
  • 5
  • 4
  • 3
  • 3
  • 2
  • 1
  • 1
  • 1
Human

Wirt

  • 123
  • 20
  • 1
Kaninchen

Klonalität

  • 106
  • 38
Polyklonal

Konjugat

  • 79
  • 9
  • 4
  • 4
  • 4
  • 4
  • 4
  • 4
  • 4
  • 2
  • 2
  • 2
  • 2
  • 2
  • 2
  • 2
  • 2
  • 2
  • 2
  • 2
  • 2
  • 1
  • 1
  • 1
  • 1
Dieser HDAC6 Antikörper ist unkonjugiert

Applikation

  • 113
  • 53
  • 37
  • 37
  • 29
  • 27
  • 26
  • 23
  • 18
  • 12
  • 6
  • 6
  • 2
  • 2
  • 1
  • 1
Western Blotting (WB), Immunohistochemistry (IHC), Immunofluorescence (IF), Immunoprecipitation (IP)
  • Bindungsspezifität

    • 27
    • 15
    • 11
    • 9
    • 6
    • 3
    • 2
    • 2
    • 2
    • 2
    • 2
    • 1
    • 1
    • 1
    • 1
    • 1
    • 1
    • 1
    • 1
    • 1
    • 1
    • 1
    • 1
    • 1
    • 1
    • 1
    • 1
    • 1
    AA 836-1104

    Sequenz

    VMKVEDREGP SSSKLVTKKA PQPAKPRLAE RMTTREKKVL EAGMGKVTSA SFGEESTPGQ TNSETAVVAL TQDQPSEAAT GGATLAQTIS EAAIGGAMLG QTTSEEAVGG ATPDQTTSEE TVGGAILDQT TSEDAVGGAT LGQTTSEEAV GGATLAQTTS EAAMEGATLD QTTSEEAPGG TELIQTPLAS STDHQTPPTS PVQGTTPQIS PSTLIGSLRT LELGSESQGA SESQAPGEEN LLGEAAGGQD MADSMLMQGS RGLTDQAIF

    Kreuzreaktivität

    Human, Maus, Ratte

    Produktmerkmale

    Polyclonal Antibodies

    Aufreinigung

    Affinity purification

    Immunogen

    Recombinant fusion protein containing a sequence corresponding to amino acids 836-1104 of human HDAC6 (NP_006035.2).

    Isotyp

    IgG
  • Applikationshinweise

    WB,1:500 - 1:2000,IHC,1:50 - 1:200,IF,1:50 - 1:200,IP,1:20 - 1:50

    Kommentare

    HIGH QUALITY

    Beschränkungen

    Nur für Forschungszwecke einsetzbar
  • Format

    Liquid

    Buffer

    PBS with 0.02 % sodium azide,50 % glycerol, pH 7.3.

    Konservierungsmittel

    Sodium azide

    Vorsichtsmaßnahmen

    This product contains Sodium azide: a POISONOUS AND HAZARDOUS SUBSTANCE which should be handled by trained staff only.

    Lagerung

    -20 °C

    Informationen zur Lagerung

    Store at -20°C. Avoid freeze / thaw cycles.
  • Target

    HDAC6 (Histone Deacetylase 6 (HDAC6))

    Andere Bezeichnung

    HDAC6

    Hintergrund

    Histones play a critical role in transcriptional regulation, cell cycle progression, and developmental events. Histone acetylation/deacetylation alters chromosome structure and affects transcription factor access to DNA. The protein encoded by this gene belongs to class II of the histone deacetylase/acuc/apha family. It contains an internal duplication of two catalytic domains which appear to function independently of each other. This protein possesses histone deacetylase activity and represses transcription.,HDAC6,CPBHM,HD6,JM21,PPP1R90,Epigenetics & Nuclear Signaling,Signal Transduction,Cell Biology & Developmental Biology,Autophagy,Cell Cycle,G1/S Checkpoint,Notch Signaling Pathway,Wnt/β-Catenin Signaling Pathway,Immunology & Inflammation,NF-kB Signaling Pathway,Stem Cells,HDAC6

    Molekulargewicht

    114 kDa/131 kDa

    Gen-ID

    10013

    UniProt

    Q9UBN7

    Pathways

    Intracellular Steroid Hormone Receptor Signaling Pathway, Regulation of Intracellular Steroid Hormone Receptor Signaling
Sie sind hier:
Chat with us!