Telefon:
+49 (0)241 95 163 153
Fax:
+49 (0)241 95 163 155
E-Mail:
orders@antikoerper-online.de

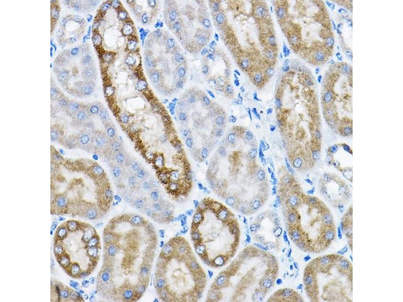
GRPEL2 Antikörper (AA 33-225)

Zitiert in 1 Publikation. Der Kaninchen Polyklonal anti-GRPEL2 Antikörper (ABIN6141437) detektiert spezifisch GRPEL2 in WB und IHC. Dieser Antikörper reagiert spezifisch mit Proben aus Human.
Produktnummer ABIN6141437
320,00 €
Zzgl. Versandkosten 20,00 € und MwSt
Lieferung nach: Deutschland
Lieferung in 7 bis 9 Werktagen

Kurzübersicht für GRPEL2 Antikörper (AA 33-225) (ABIN6141437)

Target

Alle GRPEL2 Antikörper anzeigen
GRPEL2 (GrpE-Like 2, Mitochondrial (GRPEL2))

Reaktivität

  • 16
  • 13
  • 5
  • 2
  • 2
  • 2
  • 2
  • 1
  • 1
  • 1
  • 1
  • 1
Human

Wirt

  • 15
  • 1
Kaninchen

Klonalität

  • 16
Polyklonal

Konjugat

  • 11
  • 1
  • 1
  • 1
  • 1
  • 1
Dieser GRPEL2 Antikörper ist unkonjugiert

Applikation

  • 14
  • 9
  • 2
Western Blotting (WB), Immunohistochemistry (IHC)
  • Bindungsspezifität

    • 8
    • 2
    • 1
    • 1
    • 1
    • 1
    AA 33-225

    Sequenz

    STATQRTAGE DCRSEDPPDE LGPPLAERAL RVKAVKLEKE VQDLTVRYQR AIADCENIRR RTQRCVEDAK IFGIQSFCKD LVEVADILEK TTECISEESE PEDQKLTLEK VFRGLLLLEA KLKSVFAKHG LEKLTPIGDK YDPHEHELIC HVPAGVGVQP GTVALVRQDG YKLHGRTIRL ARVEVAVESQ RRL

    Kreuzreaktivität

    Human, Maus, Ratte

    Produktmerkmale

    Polyclonal Antibodies

    Aufreinigung

    Affinity purification

    Immunogen

    Recombinant fusion protein containing a sequence corresponding to amino acids 33-225 of human GRPEL2 (NP_689620.2).

    Isotyp

    IgG
  • Applikationshinweise

    WB,1:500 - 1:2000,IHC,1:50 - 1:100

    Kommentare

    HIGH QUALITY

    Beschränkungen

    Nur für Forschungszwecke einsetzbar
  • Format

    Liquid

    Buffer

    PBS with 0.02 % sodium azide,50 % glycerol, pH 7.3.

    Konservierungsmittel

    Sodium azide

    Vorsichtsmaßnahmen

    This product contains Sodium azide: a POISONOUS AND HAZARDOUS SUBSTANCE which should be handled by trained staff only.

    Lagerung

    -20 °C

    Informationen zur Lagerung

    Store at -20°C. Avoid freeze / thaw cycles.
  • Wu, Xiong, Li, Yang, Ge et al.: "Integrated Proteomic and Transcriptomic Analysis Reveals Long Noncoding RNA HOX Transcript Antisense Intergenic RNA (HOTAIR) Promotes Hepatocellular Carcinoma Cell Proliferation by Regulating Opioid ..." in: Molecular & cellular proteomics : MCP, Vol. 17, Issue 1, pp. 146-159, (2019) (PubMed).

  • Target

    GRPEL2 (GrpE-Like 2, Mitochondrial (GRPEL2))

    Andere Bezeichnung

    GRPEL2

    Hintergrund

    Essential component of the PAM complex, a complex required for the translocation of transit peptide-containing proteins from the inner membrane into the mitochondrial matrix in an ATP-dependent manner. Seems to control the nucleotide-dependent binding of mitochondrial HSP70 to substrate proteins. Stimulates ATPase activity of mt-HSP70. May also serve to modulate the interconversion of oligomeric (inactive and monomeric (active forms of mt-HSP70 (By similarity.,GRPEL2,Mt-GrpE#2,GrpE like 2,Signal Transduction,Endocrine & Metabolism,Mitochondrial metabolism,GRPEL2

    Molekulargewicht

    14 kDa/25 kDa

    Gen-ID

    134266

    UniProt

    Q8TAA5
Sie sind hier:
Chat with us!