Telefon:
+49 (0)241 95 163 153
Fax:
+49 (0)241 95 163 155
E-Mail:
orders@antikoerper-online.de

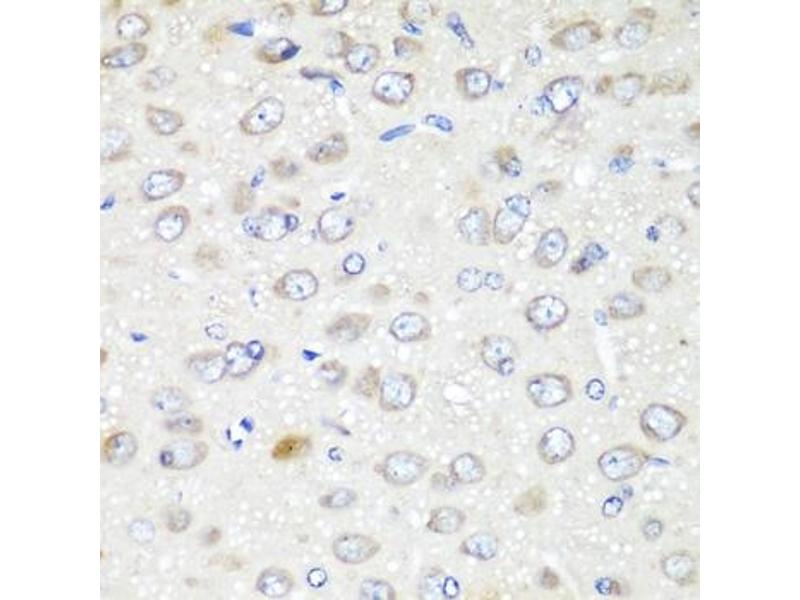
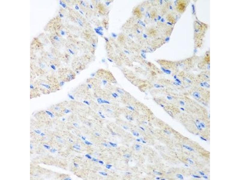
GABARAPL2 Antikörper (AA 1-117)

Der Kaninchen Polyklonal Anti-GABARAPL2-Antikörper wurde für WB und IHC validiert. Er ist geeignet, GABARAPL2 in Proben von Human zu detektieren.
Produktnummer ABIN6140881

Kurzübersicht für GABARAPL2 Antikörper (AA 1-117) (ABIN6140881)

Target

Alle GABARAPL2 Antikörper anzeigen
GABARAPL2 (GABA(A) Receptor-Associated Protein-Like 2 (GABARAPL2))

Reaktivität

  • 67
  • 18
  • 8
  • 4
  • 4
  • 4
  • 4
  • 4
  • 4
  • 3
  • 2
  • 2
  • 2
  • 2
  • 2
  • 2
Human

Wirt

  • 67
  • 3
Kaninchen

Klonalität

  • 65
  • 5
Polyklonal

Konjugat

  • 29
  • 9
  • 8
  • 8
  • 5
  • 5
  • 1
  • 1
  • 1
  • 1
  • 1
  • 1
Dieser GABARAPL2 Antikörper ist unkonjugiert

Applikation

  • 45
  • 43
  • 38
  • 9
  • 4
  • 4
  • 3
  • 3
  • 1
  • 1
Western Blotting (WB), Immunohistochemistry (IHC)
  • Bindungsspezifität

    • 11
    • 8
    • 7
    • 7
    • 6
    • 2
    • 1
    • 1
    • 1
    • 1
    • 1
    AA 1-117

    Sequenz

    MKWMFKEDHS LEHRCVESAK IRAKYPDRVP VIVEKVSGSQ IVDIDKRKYL VPSDITVAQF MWIIRKRIQL PSEKAIFLFV DKTVPQSSLT MGQLYEKEKD EDGFLYVAYS GENTFGF

    Kreuzreaktivität

    Human, Maus, Ratte

    Produktmerkmale

    Polyclonal Antibodies

    Aufreinigung

    Affinity purification

    Immunogen

    Recombinant fusion protein containing a sequence corresponding to amino acids 1-117 of human GABARAPL2 (NP_009216.1).

    Isotyp

    IgG
  • Applikationshinweise

    WB,1:500 - 1:2000,IHC,1:50 - 1:200

    Beschränkungen

    Nur für Forschungszwecke einsetzbar
  • Format

    Liquid

    Buffer

    PBS with 0.02 % sodium azide,50 % glycerol, pH 7.3.

    Konservierungsmittel

    Sodium azide

    Vorsichtsmaßnahmen

    This product contains Sodium azide: a POISONOUS AND HAZARDOUS SUBSTANCE which should be handled by trained staff only.

    Lagerung

    -20 °C

    Informationen zur Lagerung

    Store at -20°C. Avoid freeze / thaw cycles.
  • Target

    GABARAPL2 (GABA(A) Receptor-Associated Protein-Like 2 (GABARAPL2))

    Andere Bezeichnung

    GABARAPL2

    Hintergrund

    Ubiquitin-like modifier involved in intra-Golgi traffic (By similarity. Modulates intra-Golgi transport through coupling between NSF activity and SNAREs activation (By similarity. It first stimulates the ATPase activity of NSF which in turn stimulates the association with GOSR1 (By similarity. Involved in autophagy. Plays a role in mitophagy which contributes to regulate mitochondrial quantity and quality by eliminating the mitochondria to a basal level to fulfill cellular energy requirements and preventing excess ROS production. Whereas LC3s are involved in elongation of the phagophore membrane, the GABARAP/GATE-16 subfamily is essential for a later stage in autophagosome maturation.,GABARAPL2,ATG8,ATG8C,GATE-16,GATE16,GEF-2,GEF2,Cancer,Signal Transduction,Cell Biology & Developmental Biology,Autophagy,Endocrine & Metabolism,Mitochondrial metabolism,Regulators,GABARAPL2

    Molekulargewicht

    13 kDa

    Gen-ID

    11345

    UniProt

    P60520

    Pathways

    Autophagie
Sie sind hier:
Chat with us!