Telefon:
+49 (0)241 95 163 153
Fax:
+49 (0)241 95 163 155
E-Mail:
orders@antikoerper-online.de

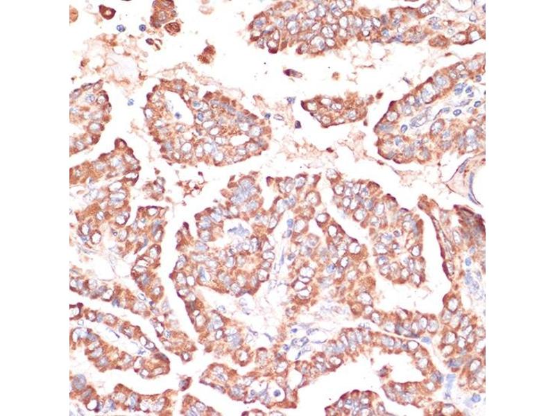
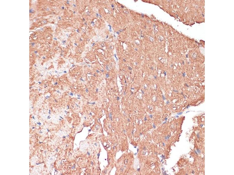
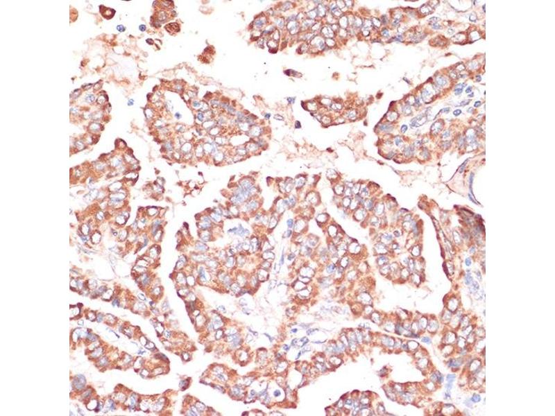
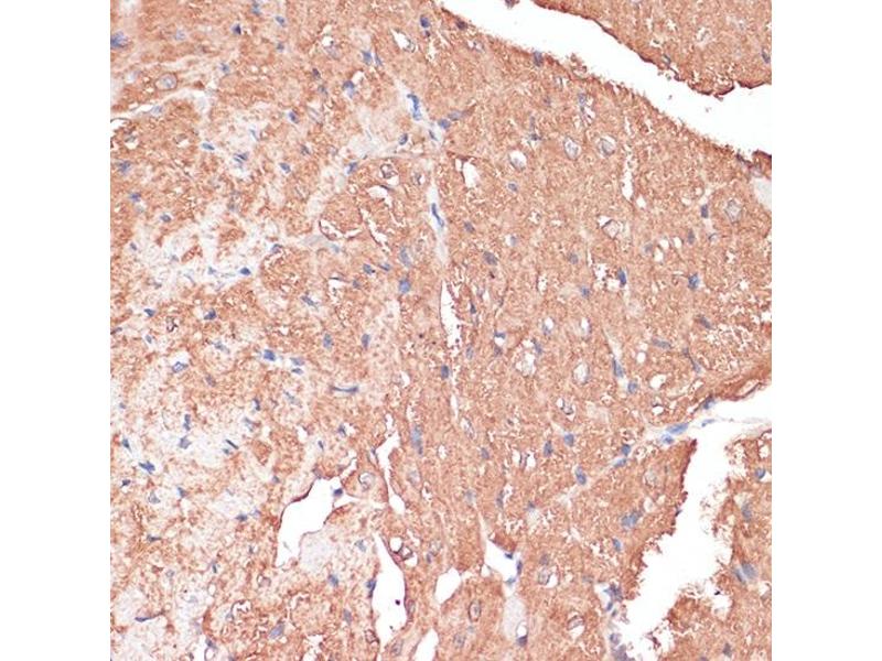
FRMD6 Antikörper (AA 405-614)

Der Kaninchen Polyklonal anti-FRMD6 Antikörper wird verwendet zum Nachweis von FRMD6 in Proben von Human. Er wurde validiert für WB, IHC und IF.
Produktnummer ABIN6140773
320,00 €
Zzgl. Versandkosten 20,00 € und MwSt
Lieferung nach: Deutschland
Lieferung in 7 bis 9 Werktagen

Kurzübersicht für FRMD6 Antikörper (AA 405-614) (ABIN6140773)

Target

Alle FRMD6 Antikörper anzeigen
FRMD6 (FERM Domain Containing 6 (FRMD6))

Reaktivität

  • 11
  • 7
  • 6
  • 2
  • 1
  • 1
  • 1
  • 1
Human

Wirt

  • 11
Kaninchen

Klonalität

  • 11
Polyklonal

Konjugat

  • 11
Dieser FRMD6 Antikörper ist unkonjugiert

Applikation

  • 10
  • 6
  • 5
  • 3
  • 1
  • 1
  • 1
  • 1
  • 1
  • 1
  • 1
Western Blotting (WB), Immunohistochemistry (IHC), Immunofluorescence (IF)
  • Bindungsspezifität

    • 1
    • 1
    • 1
    • 1
    • 1
    • 1
    • 1
    • 1
    AA 405-614

    Sequenz

    SSSAIHRKLK TCSSMTSHGS SHTSGVESGG KDRLEEDLQD DEIEMLVDDP RDLEQMNEES LEVSPDMCIY ITEDMLMSRK LNGHSGLIVK EIGSSTSSSS ETVVKLRGQS TDSLPQTICR KPKTSTDRHS LSLDDIRLYQ KDFLRIAGLC QDTAQSYTFG CGHELDEEGL YCNSCLAQQC INIQDAFPVK RTSKYFSLDL THDEVPEFVV

    Kreuzreaktivität

    Human, Maus, Ratte

    Produktmerkmale

    Polyclonal Antibodies

    Aufreinigung

    Affinity purification

    Immunogen

    Recombinant fusion protein containing a sequence corresponding to amino acids 405-614 of human FRMD6 (NP_689543.1).

    Isotyp

    IgG
  • Applikationshinweise

    WB,1:1000 - 1:4000,IHC,1:50 - 1:200,IF,1:50 - 1:200

    Beschränkungen

    Nur für Forschungszwecke einsetzbar
  • Format

    Liquid

    Buffer

    PBS with 0.02 % sodium azide,50 % glycerol, pH 7.3.

    Konservierungsmittel

    Sodium azide

    Vorsichtsmaßnahmen

    This product contains Sodium azide: a POISONOUS AND HAZARDOUS SUBSTANCE which should be handled by trained staff only.

    Lagerung

    -20 °C

    Informationen zur Lagerung

    Store at -20°C. Avoid freeze / thaw cycles.
  • Target

    FRMD6 (FERM Domain Containing 6 (FRMD6))

    Andere Bezeichnung

    FRMD6

    Hintergrund

    FRMD6,C14orf31,EX1,Willin,c14_5320,Cancer,Tumor suppressors,Cell Biology & Developmental Biology,Hippo Signaling Pathway,FRMD6

    Molekulargewicht

    29 kDa/70 kDa/72 kDa

    Gen-ID

    122786

    UniProt

    Q96NE9
Sie sind hier:
Chat with us!