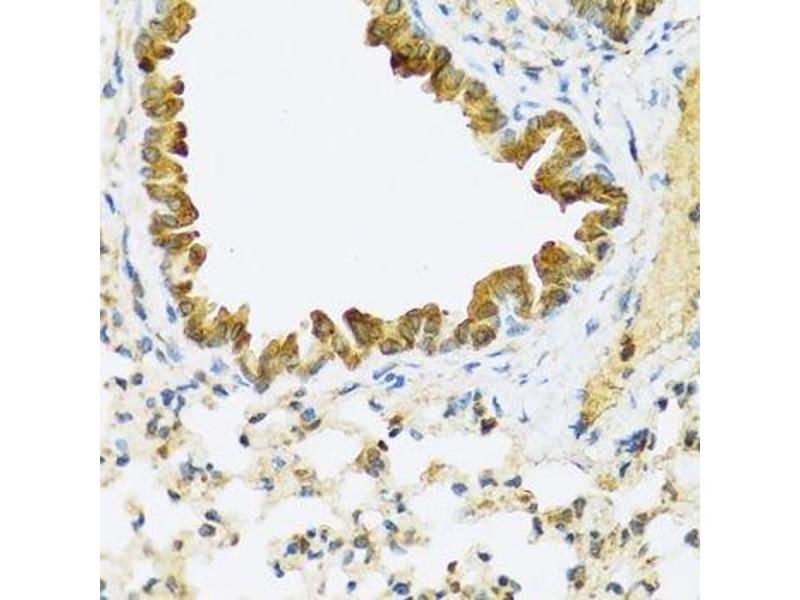
FAM20A Antikörper (AA 140-240)
Kurzübersicht für FAM20A Antikörper (AA 140-240) (ABIN6140455)
Target
Alle FAM20A Antikörper anzeigenReaktivität
Wirt
Klonalität
Konjugat
Applikation
-
-
Bindungsspezifität
- AA 140-240
-
Sequenz
- YREQMNLTSL DPPLQLRLEA SWVQFHLGIN RHGLYSRSSP VVSKLLQDMR HFPTISADYS QDEKALLGAC DCTQIVKPSG VHLKLVLRFS DFGKAMFKPM R
-
Kreuzreaktivität
- Human, Maus, Ratte
-
Produktmerkmale
- Polyclonal Antibodies
-
Aufreinigung
- Affinity purification
-
Immunogen
- Recombinant fusion protein containing a sequence corresponding to amino acids 140-240 of human FAM20A (NP_060035.2).
-
Isotyp
- IgG
-
-
-
-
Applikationshinweise
- WB,1:500 - 1:2000,IHC,1:100 - 1:200
-
Kommentare
-
HIGH QUALITY
-
Beschränkungen
- Nur für Forschungszwecke einsetzbar
-
-
-
Format
- Liquid
-
Buffer
- PBS with 0.02 % sodium azide,50 % glycerol, pH 7.3.
-
Konservierungsmittel
- Sodium azide
-
Vorsichtsmaßnahmen
- This product contains Sodium azide: a POISONOUS AND HAZARDOUS SUBSTANCE which should be handled by trained staff only.
-
Lagerung
- -20 °C
-
Informationen zur Lagerung
- Store at -20°C. Avoid freeze / thaw cycles.
-
-
- FAM20A (Family with Sequence Similarity 20, Member A (FAM20A))
-
Andere Bezeichnung
- FAM20A
-
Hintergrund
- This locus encodes a protein that is likely secreted and may function in hematopoiesis. A mutation at this locus has been associated with amelogenesis imperfecta and gingival hyperplasia syndrome. Alternatively spliced transcript variants have been identified.,FAM20A,AI1G,AIGFS,FP2747,Signal Transduction,Kinase,Stem Cells,Hematopoietic Progenitors,FAM20A
-
Molekulargewicht
- 61 kDa
-
Gen-ID
- 54757
-
UniProt
- Q96MK3
Target
-