Telefon:
+49 (0)241 95 163 153
Fax:
+49 (0)241 95 163 155
E-Mail:
orders@antikoerper-online.de

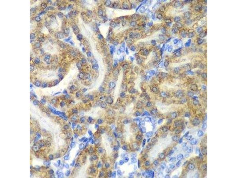
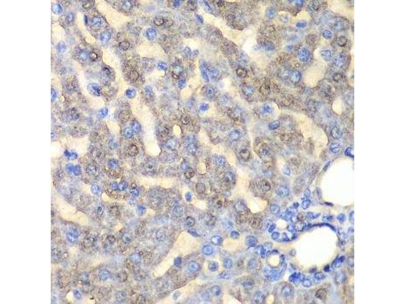
FAH Antikörper (AA 1-419)

Der Kaninchen Polyklonal anti-FAH Antikörper wird verwendet zum Nachweis von FAH in Proben von Human. Er wurde validiert für WB.
Produktnummer ABIN6140438
320,00 €
Zzgl. Versandkosten 20,00 € und MwSt
Lieferung nach: Deutschland
Lieferung in 7 bis 9 Werktagen

Kurzübersicht für FAH Antikörper (AA 1-419) (ABIN6140438)

Target

Alle FAH Antikörper anzeigen
FAH (Fumarylacetoacetate Hydrolase (Fumarylacetoacetase) (FAH))

Reaktivität

  • 45
  • 12
  • 11
  • 4
  • 4
  • 2
  • 2
  • 1
  • 1
  • 1
  • 1
  • 1
Human

Wirt

  • 40
  • 5
Kaninchen

Klonalität

  • 39
  • 3
Polyklonal

Konjugat

  • 32
  • 5
  • 4
  • 2
  • 1
  • 1
Dieser FAH Antikörper ist unkonjugiert

Applikation

  • 38
  • 26
  • 23
  • 15
  • 10
  • 6
  • 3
  • 2
  • 1
  • 1
Western Blotting (WB)
  • Bindungsspezifität

    • 8
    • 6
    • 6
    • 3
    • 2
    • 2
    • 1
    • 1
    • 1
    • 1
    • 1
    • 1
    AA 1-419

    Sequenz

    MSFIPVAEDS DFPIHNLPYG VFSTRGDPRP RIGVAIGDQI LDLSIIKHLF TGPVLSKHQD VFNQPTLNSF MGLGQAAWKE ARVFLQNLLS VSQARLRDDT ELRKCAFISQ ASATMHLPAT IGDYTDFYSS RQHATNVGIM FRDKENALMP NWLHLPVGYH GRASSVVVSG TPIRRPMGQM KPDDSKPPVY GACKLLDMEL EMAFFVGPGN RLGEPIPISK AHEHIFGMVL MNDWSARDIQ KWEYVPLGPF LGKSFGTTVS PWVVPMDALM PFAVPNPKQD PRPLPYLCHD EPYTFDINLS VNLKGEGMSQ AATICKSNFK YMYWTMLQQL THHSVNGCNL RPGDLLASGT ISGPEPENFG SMLELSWKGT KPIDLGNGQT RKFLLDGDEV IITGYCQGDG YRIGFGQCAG KVLPALLPS

    Kreuzreaktivität

    Human, Maus, Ratte

    Produktmerkmale

    Polyclonal Antibodies

    Aufreinigung

    Affinity purification

    Immunogen

    Recombinant fusion protein containing a sequence corresponding to amino acids 1-419 of human FAH (NP_000128.1).

    Isotyp

    IgG
  • Applikationshinweise

    WB,1:500 - 1:2000

    Beschränkungen

    Nur für Forschungszwecke einsetzbar
  • Format

    Liquid

    Buffer

    PBS with 0.02 % sodium azide,50 % glycerol, pH 7.3.

    Konservierungsmittel

    Sodium azide

    Vorsichtsmaßnahmen

    This product contains Sodium azide: a POISONOUS AND HAZARDOUS SUBSTANCE which should be handled by trained staff only.

    Lagerung

    -20 °C

    Informationen zur Lagerung

    Store at -20°C. Avoid freeze / thaw cycles.
  • Target

    FAH (Fumarylacetoacetate Hydrolase (Fumarylacetoacetase) (FAH))

    Andere Bezeichnung

    FAH

    Hintergrund

    This gene encodes the last enzyme in the tyrosine catabolism pathway. FAH deficiency is associated with Type 1 hereditary tyrosinemia (HT).,FAH,Cancer,Signal Transduction,Endocrine & Metabolism,Amino acid metabolism,FAH

    Molekulargewicht

    38 kDa/46 kDa

    Gen-ID

    2184

    UniProt

    P16930
Sie sind hier:
Chat with us!