Telefon:
+49 (0)241 95 163 153
Fax:
+49 (0)241 95 163 155
E-Mail:
orders@antikoerper-online.de

FAH Antikörper (AA 311-360)

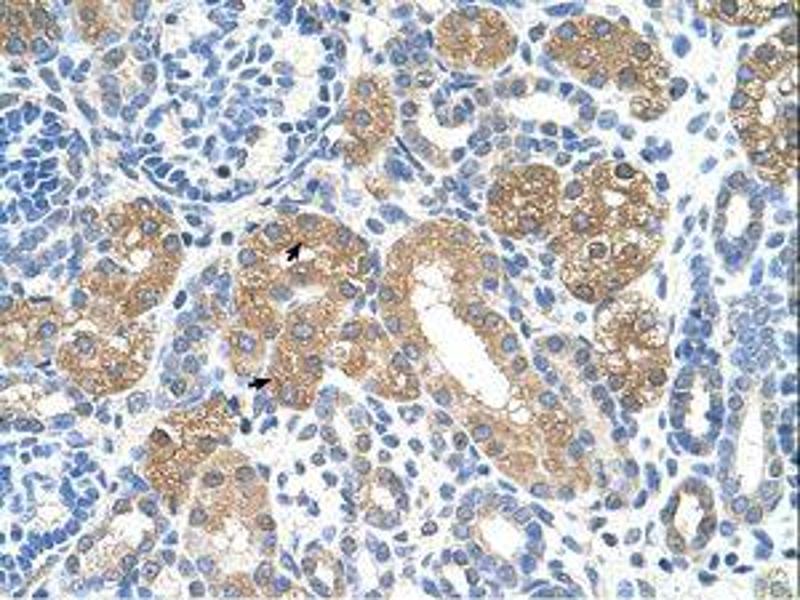
Der Kaninchen Polyklonal anti-FAH Antikörper (ABIN320667) detektiert spezifisch FAH in WB, IHC und IHC (p). Dieser Antikörper reagiert spezifisch mit Proben aus Human, Maus, Ratte, Hund, Pferd und Huhn.
Produktnummer ABIN320667
741,67 €
Zzgl. Versandkosten 20,00 € und MwSt
100 μL
Lieferung nach: Deutschland
Lieferung in 15 bis 20 Werktagen

Kurzübersicht für FAH Antikörper (AA 311-360) (ABIN320667)

Target

Alle FAH Antikörper anzeigen
FAH (Fumarylacetoacetate Hydrolase (Fumarylacetoacetase) (FAH))

Reaktivität

  • 45
  • 11
  • 10
  • 3
  • 3
  • 2
  • 2
  • 1
  • 1
  • 1
  • 1
Human, Maus, Ratte, Hund, Pferd, Huhn

Wirt

  • 40
  • 5
Kaninchen

Klonalität

  • 39
  • 3
Polyklonal

Konjugat

  • 32
  • 5
  • 4
  • 2
  • 1
  • 1
Dieser FAH Antikörper ist unkonjugiert

Applikation

  • 38
  • 25
  • 23
  • 15
  • 10
  • 5
  • 3
  • 2
  • 1
  • 1
Western Blotting (WB), Immunohistochemistry (IHC), Immunohistochemistry (Paraffin-embedded Sections) (IHC (p))
  • Bindungsspezifität

    • 8
    • 6
    • 6
    • 3
    • 2
    • 2
    • 2
    • 1
    • 1
    • 1
    • 1
    AA 311-360

    Spezifität

    Human FAH

    Homologie

    Percent identity by BLAST analysis: Human, Rat, Dog, Horse, Chicken (100%) Bovine, Rabbit, Xenopus, Zebrafish (92%).

    Aufreinigung

    Protein A purified

    Immunogen

    Synthetic peptide located between aa311-360 of human FAH (P16930, NP_000128). Percent identity by BLAST analysis: Human, Chimpanzee, Gorilla, Gibbon, Galago, Mouse, Rat, Panda, Dog, Horse, Turkey, Zebra finch, Chicken (100%), Monkey, Marmoset, Elephant, Bovine, Rabbit, Opossum, Guinea pig, Xenopus, Smelt, Stickleback, Zebrafish, Drosophila (92%), Pig, Beetle, Grape (85%).

    Type of Immunogen: Synthetic peptide

    Isotyp

    IgG
  • Applikationshinweise

    Approved: IHC, IHC-P, WB

    Usage: ELISA titer using peptide based assay: 1:312500. Western Blot: Suggested dilution at 2.5 μg/mL in 5 % skim milk / PBS buffer, and HRP conjugated anti-Rabbit IgG should be diluted in 1:50000 - 100000 as second antibody.

    Kommentare

    Target Species of Antibody: Human

    Beschränkungen

    Nur für Forschungszwecke einsetzbar
  • Format

    Lyophilized

    Rekonstitution

    Distilled Water.

    Konzentration

    Lot specific

    Buffer

    Lyophilized from PBS with 2 % sucrose

    Handhabung

    Avoid repeat freeze-thaw cycles.

    Lagerung

    4 °C,-20 °C

    Informationen zur Lagerung

    Long term: -20°C, the use of 50% glycerol is recommended if storing aliquots in -20°C for long term use (up to 1 year)
    Short term (less than 1 week): 4°C. Avoid freeze-thaw cycles.
  • Target

    FAH (Fumarylacetoacetate Hydrolase (Fumarylacetoacetase) (FAH))

    Andere Bezeichnung

    FAH

    Hintergrund

    Name/Gene ID: FAH

    Synonyms: FAH, Beta-diketonase, Fumarylacetoacetase, Fumarylacetoacetate hydrolase, FAA

    Gen-ID

    2184

    NCBI Accession

    NP_000128

    UniProt

    P16930
Sie sind hier:
Chat with us!