Telefon:
+49 (0)241 95 163 153
Fax:
+49 (0)241 95 163 155
E-Mail:
orders@antikoerper-online.de

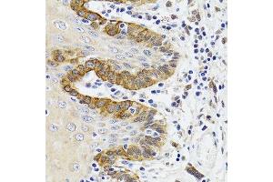
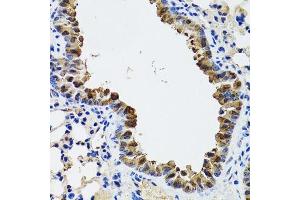
Esterase D Antikörper (AA 1-282)

Dieser Kaninchen Polyklonal Antikörper detektiert spezifisch Esterase D in WB und IHC. Es zeigt Reaktivität gegenüber Proben von Human.
Produktnummer ABIN6140304
320,00 €
Zzgl. Versandkosten 20,00 € und MwSt
Lieferung nach: Deutschland
Lieferung in 7 bis 9 Werktagen

Kurzübersicht für Esterase D Antikörper (AA 1-282) (ABIN6140304)

Target

Alle Esterase D (ESD) Antikörper anzeigen
Esterase D (ESD)

Reaktivität

  • 27
  • 26
  • 6
  • 2
  • 2
  • 2
  • 2
  • 1
  • 1
  • 1
  • 1
  • 1
  • 1
Human

Wirt

  • 38
  • 3
Kaninchen

Klonalität

  • 40
  • 1
Polyklonal

Konjugat

  • 17
  • 3
  • 2
  • 2
  • 1
  • 1
  • 1
  • 1
  • 1
  • 1
  • 1
  • 1
  • 1
  • 1
  • 1
  • 1
  • 1
  • 1
  • 1
  • 1
  • 1
Dieser Esterase D Antikörper ist unkonjugiert

Applikation

  • 29
  • 13
  • 13
  • 12
  • 5
  • 4
  • 4
  • 3
  • 3
  • 1
  • 1
Western Blotting (WB), Immunohistochemistry (IHC)
  • Bindungsspezifität

    • 15
    • 5
    • 5
    • 3
    • 1
    • 1
    • 1
    • 1
    AA 1-282

    Sequenz

    MALKQISSNK CFGGLQKVFE HDSVELNCKM KFAVYLPPKA ETGKCPALYW LSGLTCTEQN FISKSGYHQS ASEHGLVVIA PDTSPRGCNI KGEDESWDFG TGAGFYVDAT EDPWKTNYRM YSYVTEELPQ LINANFPVDP QRMSIFGHSM GGHGALICAL KNPGKYKSVS AFAPICNPVL CPWGKKAFSG YLGTDQSKWK AYDATHLVKS YPGSQLDILI DQGKDDQFLL DGQLLPDNFI AACTEKKIPV VFRLQEGYDH SYYFIATFIT DHIRHHAKYL NA

    Kreuzreaktivität

    Human, Maus

    Produktmerkmale

    Polyclonal Antibodies

    Aufreinigung

    Affinity purification

    Immunogen

    Recombinant fusion protein containing a sequence corresponding to amino acids 1-282 of human ESD (NP_001975.1).

    Isotyp

    IgG
  • Applikationshinweise

    WB,1:500 - 1:2000,IHC,1:50 - 1:200

    Kommentare

    HIGH QUALITY

    Beschränkungen

    Nur für Forschungszwecke einsetzbar
  • Format

    Liquid

    Buffer

    PBS with 0.02 % sodium azide,50 % glycerol, pH 7.3.

    Konservierungsmittel

    Sodium azide

    Vorsichtsmaßnahmen

    This product contains Sodium azide: a POISONOUS AND HAZARDOUS SUBSTANCE which should be handled by trained staff only.

    Lagerung

    -20 °C

    Informationen zur Lagerung

    Store at -20°C. Avoid freeze / thaw cycles.
  • Target

    Esterase D (ESD)

    Andere Bezeichnung

    ESD

    Hintergrund

    This gene encodes a serine hydrolase that belongs to the esterase D family. The encoded enzyme is active toward numerous substrates including O-acetylated sialic acids, and it may be involved in the recycling of sialic acids. This gene is used as a genetic marker for retinoblastoma and Wilson's disease.,ESD,FGH,Signal Transduction,Cell Biology & Developmental Biology,Endocrine & Metabolism,ESD

    Molekulargewicht

    31 kDa

    Gen-ID

    2098

    UniProt

    P10768
Sie sind hier:
Chat with us!