Telefon:
+49 (0)241 95 163 153
Fax:
+49 (0)241 95 163 155
E-Mail:
orders@antikoerper-online.de

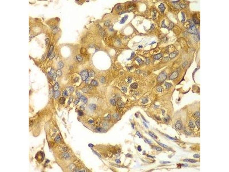
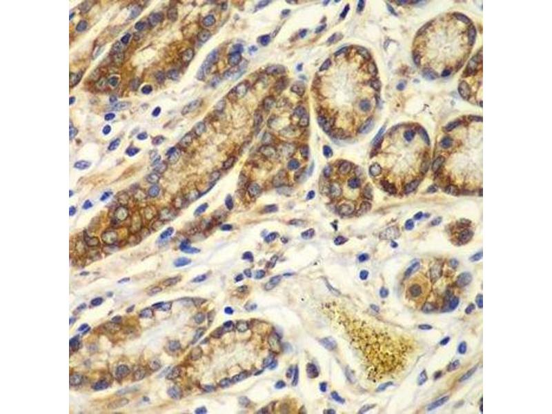
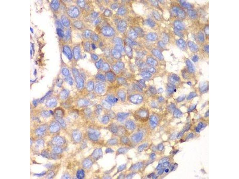
Calpain S1 Antikörper (AA 69-268)

Zitiert in 1 Publikation. Der Kaninchen Polyklonal anti-Calpain S1 Antikörper (ABIN6137928) detektiert spezifisch Calpain S1 in WB, IHC und IF. Dieser Antikörper reagiert spezifisch mit Proben aus Human.
Produktnummer ABIN6137928
320,00 €
Zzgl. Versandkosten 20,00 € und MwSt
Lieferung nach: Deutschland
Lieferung in 7 bis 9 Werktagen

Kurzübersicht für Calpain S1 Antikörper (AA 69-268) (ABIN6137928)

Target

Alle Calpain S1 (CAPNS1) Antikörper anzeigen
Calpain S1 (CAPNS1) (Calpain, Small Subunit 1 (CAPNS1))

Reaktivität

  • 49
  • 30
  • 21
  • 3
  • 2
  • 2
  • 1
  • 1
  • 1
  • 1
  • 1
  • 1
  • 1
Human

Wirt

  • 42
  • 8
Kaninchen

Klonalität

  • 30
  • 20
Polyklonal

Konjugat

  • 23
  • 4
  • 3
  • 3
  • 3
  • 3
  • 3
  • 3
  • 2
  • 1
  • 1
  • 1
Dieser Calpain S1 Antikörper ist unkonjugiert

Applikation

  • 28
  • 17
  • 17
  • 17
  • 11
  • 5
  • 2
  • 1
  • 1
  • 1
Western Blotting (WB), Immunohistochemistry (IHC), Immunofluorescence (IF)
  • Bindungsspezifität

    • 8
    • 3
    • 2
    • 1
    • 1
    • 1
    • 1
    • 1
    AA 69-268

    Sequenz

    ISEAAAQYNP EPPPPRTHYS NIEANESEEV RQFRRLFAQL AGDDMEVSAT ELMNILNKVV TRHPDLKTDG FGIDTCRSMV AVMDSDTTGK LGFEEFKYLW NNIKRWQAIY KQFDTDRSGT ICSSELPGAF EAAGFHLNEH LYNMIIRRYS DESGNMDFDN FISCLVRLDA MFRAFKSLDK DGTGQIQVNI QEWLQLTMYS

    Kreuzreaktivität

    Human, Maus, Ratte

    Produktmerkmale

    Polyclonal Antibodies

    Aufreinigung

    Affinity purification

    Immunogen

    Recombinant fusion protein containing a sequence corresponding to amino acids 69-268 of human Calpain small subunit 1 (NP_001740.1).

    Isotyp

    IgG
  • Applikationshinweise

    WB,1:500 - 1:2000,IHC,1:50 - 1:100,IF,1:50 - 1:100

    Kommentare

    HIGH QUALITY

    Beschränkungen

    Nur für Forschungszwecke einsetzbar
  • Format

    Liquid

    Buffer

    PBS with 0.02 % sodium azide,50 % glycerol, pH 7.3.

    Konservierungsmittel

    Sodium azide

    Vorsichtsmaßnahmen

    This product contains Sodium azide: a POISONOUS AND HAZARDOUS SUBSTANCE which should be handled by trained staff only.

    Lagerung

    -20 °C

    Informationen zur Lagerung

    Store at -20°C. Avoid freeze / thaw cycles.
  • Liu, Lou, Li, Xu, Ruan, Xiao, Qiu, Bao, Yuan, Huang, Wang, Cao, Chen, Yang, Zhang: "Calpain and AR-V7: Two potential therapeutic targets to overcome acquired docetaxel resistance in castration-resistant prostate cancer cells." in: Oncology reports, Vol. 37, Issue 6, pp. 3651-3659, (2018) (PubMed).

  • Target

    Calpain S1 (CAPNS1) (Calpain, Small Subunit 1 (CAPNS1))

    Andere Bezeichnung

    CAPNS1

    Hintergrund

    This gene is a member of the calpain small subunit family. Calpains are calcium-dependent cysteine proteinases that are widely distributed in mammalian cells. Calpains operate as heterodimers, comprising a specific large catalytic subunit (calpain 1 subunit in Calpain I, and calpain 2 subunit in Calpain II), and a common small regulatory subunit encoded by this gene. This encoded protein is essential for the stability and function of both calpain heterodimers, whose proteolytic activities influence various cellular functions including apoptosis, proliferation, migration, adhesion, and autophagy. Calpains have been implicated in neurodegenerative processes, such as myotonic dystrophy. A pseudogene of this gene has been defined on chromosome 1. Alternative splicing results in multiple transcript variants.,CAPNS1,CALPAIN4,CANP,CANPS,CAPN4,CDPS,CSS1,Signal Transduction,Immunology & Inflammation,T Cell Receptor Signaling Pathway,Neuroscience,Calcium Signaling,CAPNS1

    Molekulargewicht

    28 kDa

    Gen-ID

    826

    UniProt

    P04632

    Pathways

    Apoptose
Sie sind hier:
Chat with us!