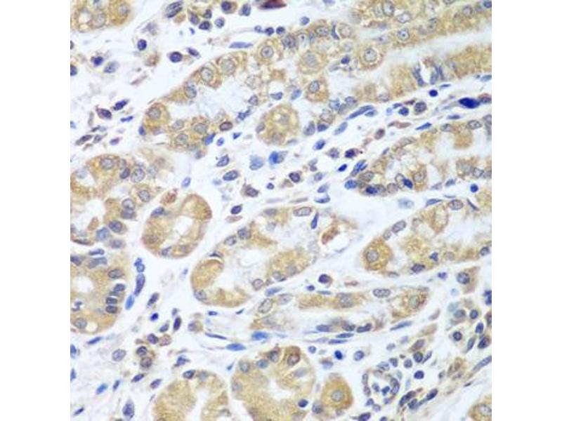
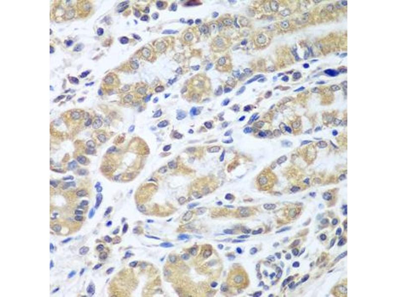
EIF1AX Antikörper
Kurzübersicht für EIF1AX Antikörper (ABIN5973507)
Target
Alle EIF1AX Antikörper anzeigenReaktivität
Wirt
Klonalität
Konjugat
Applikation
-
-
Aufreinigung
- Affinity purified
-
Immunogen
- Recombinant protein of human EIF1AX.
-
Isotyp
- IgG
-
-
-
-
Applikationshinweise
- Optimal working dilution should be determined by the investigator.
-
Beschränkungen
- Nur für Forschungszwecke einsetzbar
-
-
-
Format
- Liquid
-
Konzentration
- Lot specific
-
Buffer
- PBS, pH 7.3, 0.02 % sodium azide, 50 % glycerol.
-
Konservierungsmittel
- Sodium azide
-
Vorsichtsmaßnahmen
- This product contains Sodium azide: a POISONOUS AND HAZARDOUS SUBSTANCE which should be handled by trained staff only.
-
Lagerung
- -20 °C
-
Informationen zur Lagerung
- Aliquot and store at -20 °C. Avoid repeated freeze/thaw cycles.
-
-
- EIF1AX (Eukaryotic Translation Initiation Factor 1A, X-Linked (EIF1AX))
-
Andere Bezeichnung
- EIF1AX
-
Molekulargewicht
-
Calculated MW: 16 kDa
Observed MW: 16 kDa -
Gen-ID
- 1964
-
UniProt
- P47813
Target
-