Telefon:
+49 (0)241 95 163 153
Fax:
+49 (0)241 95 163 155
E-Mail:
orders@antikoerper-online.de

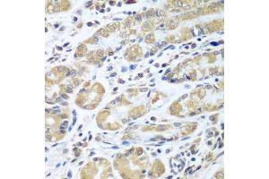
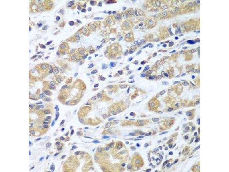
EIF1AX Antikörper (AA 10-144)

Der Kaninchen Polyklonal anti-EIF1AX Antikörper wird verwendet zum Nachweis von EIF1AX in Proben von Human. Er wurde validiert für IHC, WB und IF.
Produktnummer ABIN6140017
320,00 €
Zzgl. Versandkosten 20,00 € und MwSt
Lieferung nach: Deutschland
Lieferung in 7 bis 9 Werktagen

Kurzübersicht für EIF1AX Antikörper (AA 10-144) (ABIN6140017)

Target

Alle EIF1AX Antikörper anzeigen
EIF1AX (Eukaryotic Translation Initiation Factor 1A, X-Linked (EIF1AX))

Reaktivität

  • 26
  • 14
  • 6
  • 2
  • 2
  • 2
  • 2
  • 2
  • 2
  • 2
  • 1
  • 1
  • 1
  • 1
  • 1
  • 1
Human

Wirt

  • 26
Kaninchen

Klonalität

  • 21
  • 5
Polyklonal

Konjugat

  • 14
  • 2
  • 1
  • 1
  • 1
  • 1
  • 1
  • 1
  • 1
  • 1
  • 1
  • 1
Dieser EIF1AX Antikörper ist unkonjugiert

Applikation

  • 11
  • 9
  • 8
  • 5
  • 5
  • 4
  • 3
  • 2
  • 2
Immunohistochemistry (IHC), Western Blotting (WB), Immunofluorescence (IF)
  • Bindungsspezifität

    • 6
    • 1
    • 1
    • 1
    • 1
    AA 10-144

    Sequenz

    KNRRRGKNEN ESEKRELVFK EDGQEYAQVI KMLGNGRLEA MCFDGVKRLC HIRGKLRKKV WINTSDIILV GLRDYQDNKA DVILKYNADE ARSLKAYGEL PEHAKINETD TFGPGDDDEI QFDDIGDDDE DIDDI

    Kreuzreaktivität

    Human, Maus, Ratte

    Produktmerkmale

    Polyclonal Antibodies

    Aufreinigung

    Affinity purification

    Immunogen

    Recombinant fusion protein containing a sequence corresponding to amino acids 10-144 of human EIF1AX (NP_001403.1).

    Isotyp

    IgG
  • Applikationshinweise

    WB,1:200 - 1:2000,IHC,1:100 - 1:200,IF,1:50 - 1:200

    Kommentare

    HIGH QUALITY

    Beschränkungen

    Nur für Forschungszwecke einsetzbar
  • Format

    Liquid

    Buffer

    PBS with 0.02 % sodium azide,50 % glycerol, pH 7.3.

    Konservierungsmittel

    Sodium azide

    Vorsichtsmaßnahmen

    This product contains Sodium azide: a POISONOUS AND HAZARDOUS SUBSTANCE which should be handled by trained staff only.

    Lagerung

    -20 °C

    Informationen zur Lagerung

    Store at -20°C. Avoid freeze / thaw cycles.
  • Target

    EIF1AX (Eukaryotic Translation Initiation Factor 1A, X-Linked (EIF1AX))

    Andere Bezeichnung

    EIF1AX

    Hintergrund

    This gene encodes an essential eukaryotic translation initiation factor. The protein is required for the binding of the 43S complex (a 40S subunit, eIF2/GTP/Met-tRNAi and eIF3) to the 5' end of capped RNA.,EIF1AX,EIF1A,EIF1AP1,EIF4C,eIF-1A,eIF-4C,X-linked,Epigenetics & Nuclear Signaling,RNA Binding,EIF1AX

    Molekulargewicht

    16 kDa

    Gen-ID

    1964

    UniProt

    P47813
Sie sind hier:
Chat with us!