×
Aktivieren Sie Javascript in Ihrem Browser, um unsere Webseite optimal zu nutzen.
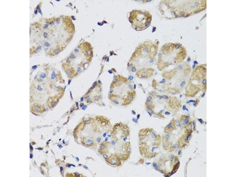
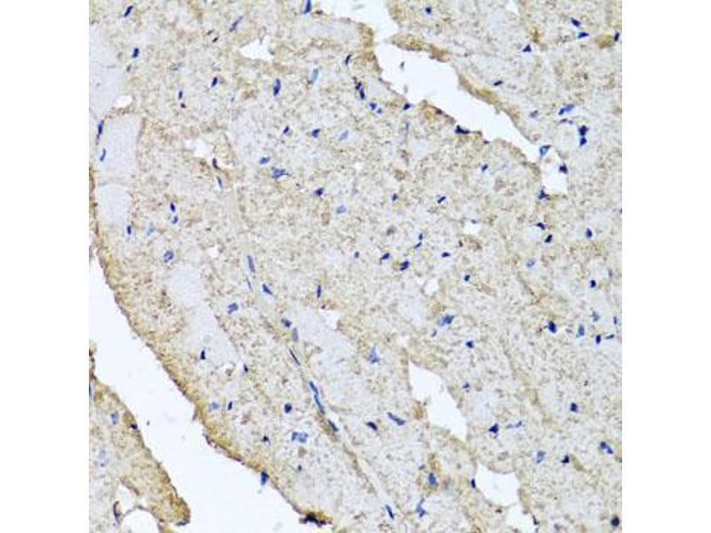
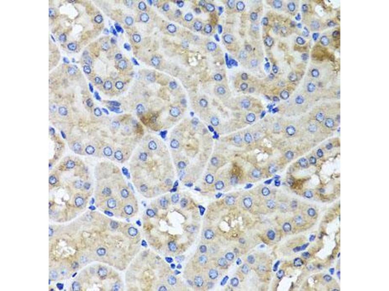
USH1C Antikörper
Der Kaninchen Polyklonal anti-USH1C Antikörper wird verwendet zum Nachweis von USH1C in Proben von Human, Maus und Ratte. Er wurde validiert für WB und IHC.
Produktnummer ABIN5972448
678,88 €
Zzgl. Versandkosten 20,00 € und MwSt
20 μL ABIN5972447
2 x 100 μL ABIN2905173
100 μL ABIN5972448
20 μL ABIN5972447
2 x 100 μL ABIN2905173
100 μL ABIN5972448
Lieferung in 7 bis 13 Werktagen
Kurzübersicht für USH1C Antikörper (ABIN5972448)
Target
Alle USH1C Antikörper anzeigen
USH1C
(Usher Syndrome 1C (Autosomal Recessive, Severe) (USH1C))
Reaktivität
Alle Reaktivitäten für USH1C Antikörper
Human, Maus, Ratte
Wirt
Alle Wirte für USH1C Antikörper
Kaninchen
Klonalität
Alle Klonalitäten für USH1C Antikörper
Polyklonal
Konjugat
Alle Konjugate für USH1C Antikörper
Dieser USH1C Antikörper ist unkonjugiert
Applikation
Alle Applikationen für USH1C Antikörper
Western Blotting (WB), Immunohistochemistry (IHC)
Produktdetails anti-USH1C Antikörper
(ausblenden)
Aufreinigung
Affinity purified
Immunogen
Recombinant protein of human USH1C.
Isotyp
IgG
Alternativen
(anzeigen)
Anwendungsinformationen
(ausblenden)
Applikationshinweise
Optimal working dilution should be determined by the investigator.
Beschränkungen
Nur für Forschungszwecke einsetzbar
Handhabung
(ausblenden)
Format
Liquid
Konzentration
Lot specific
Buffer
PBS, pH 7.3, 0.02 % sodium azide, 50 % glycerol.
Konservierungsmittel
Sodium azide
Vorsichtsmaßnahmen
This product contains Sodium azide: a POISONOUS AND HAZARDOUS SUBSTANCE which should be handled by trained staff only.
Lagerung
-20 °C
Informationen zur Lagerung
Aliquot and store at -20 °C. Avoid repeated freeze/thaw cycles.
Details zu USH1C
(ausblenden)
Target
USH1C
(Usher Syndrome 1C (Autosomal Recessive, Severe) (USH1C))
Andere Bezeichnung
USH1C
Molekulargewicht
Calculated MW: 45 kDa/58 kDa/60 kDa/62 kDa/101 kDa Observed MW: 73 kDa
Gen-ID
10083
UniProt
Q9Y6N9
Pathways
Sensory Perception of Sound
Zuletzt angesehen
(ausblenden)
Chat with us , powered by LiveChat