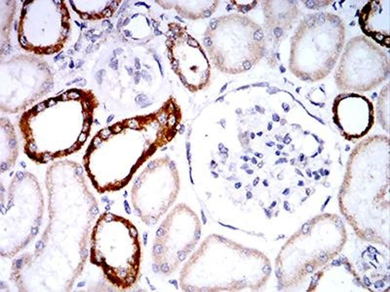
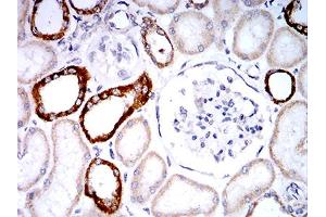
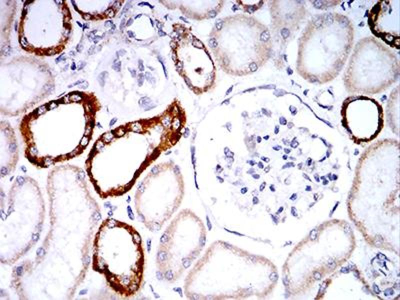
Phospholipase D2 Antikörper (AA 834-933)
Kurzübersicht für Phospholipase D2 Antikörper (AA 834-933) (ABIN5881791)
Target
Alle Phospholipase D2 (PLD2) Antikörper anzeigenReaktivität
Wirt
Klonalität
Konjugat
Applikation
-
-
Bindungsspezifität
- AA 834-933
-
Produktmerkmale
- Isotype: Mouse IgG1
-
Immunogen
- Purified recombinant fragment of human PLD2 (AA: 834-933) expressed in E. Coli.
-
Isotyp
- IgG1
-
-
-
-
Beschränkungen
- Nur für Forschungszwecke einsetzbar
-
-
-
Format
- Liquid
-
Buffer
- Purified antibody in PBS with 0.05 % sodium azide.
-
Konservierungsmittel
- Sodium azide
-
Vorsichtsmaßnahmen
- This product contains Sodium azide: a POISONOUS AND HAZARDOUS SUBSTANCE which should be handled by trained staff only.
-
Lagerung
- -20 °C
-
Informationen zur Lagerung
- Aliquot and store at -20 °C. Avoid repeated freeze/thaw cycles.
-
-
- Phospholipase D2 (PLD2)
-
Andere Bezeichnung
- PLD2
-
Molekulargewicht
- 106 kDa
-
Gen-ID
- 5338
-
UniProt
- O14939
-
Pathways
- RTK Signalweg, Regulation of Leukocyte Mediated Immunity, Positive Regulation of Immune Effector Process, Regulation of G-Protein Coupled Receptor Protein Signaling
Target
-