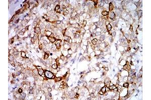
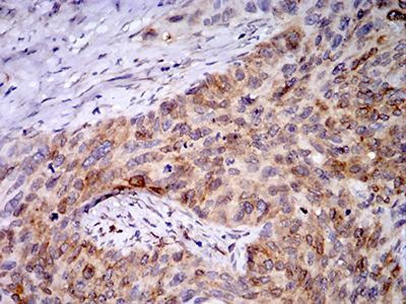
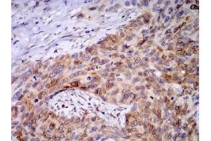
PGRMC1 Antikörper (AA 1-195)
Kurzübersicht für PGRMC1 Antikörper (AA 1-195) (ABIN5873919)
Target
Alle PGRMC1 Antikörper anzeigenReaktivität
Wirt
Klonalität
Konjugat
Applikation
-
-
Bindungsspezifität
- AA 1-195
-
Produktmerkmale
- Isotype: Mouse IgG1
-
Immunogen
- Purified recombinant fragment of human PGRMC1 (AA: 1-195) expressed in E. Coli.
-
Isotyp
- IgG1
-
-
-
-
Beschränkungen
- Nur für Forschungszwecke einsetzbar
-
-
-
Format
- Liquid
-
Buffer
- Purified antibody in PBS with 0.05 % sodium azide.
-
Konservierungsmittel
- Sodium azide
-
Vorsichtsmaßnahmen
- This product contains Sodium azide: a POISONOUS AND HAZARDOUS SUBSTANCE which should be handled by trained staff only.
-
Lagerung
- -20 °C
-
Informationen zur Lagerung
- Aliquot and store at -20 °C. Avoid repeated freeze/thaw cycles.
-
-
- PGRMC1 (Progesterone Receptor Membrane Component 1 (PGRMC1))
-
Andere Bezeichnung
- PGRMC1
-
Molekulargewicht
- 21.7 kDa
-
Gen-ID
- 10857
-
UniProt
- O00264
Target
-