PTBP1 Antikörper (AA 45-145)
Kurzübersicht für PTBP1 Antikörper (AA 45-145) (ABIN574324)
Target
Alle PTBP1 Antikörper anzeigenReaktivität
Wirt
Klonalität
Konjugat
Applikation
Klon
-
-
Bindungsspezifität
- AA 45-145
-
Aufreinigung
- Purified from ascites by Protein A
-
Immunogen
-
PTBP1 (NP_002810, 45 a.a. ~ 145 a.a) partial recombinant protein with GST tag. MW of the GST tag alone is 26 KDa.
Type of Immunogen: Recombinant protein -
Isotyp
- IgG1 kappa
-
-
-
-
Applikationshinweise
-
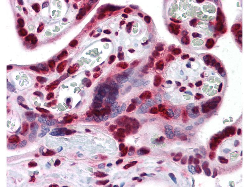
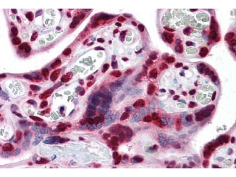
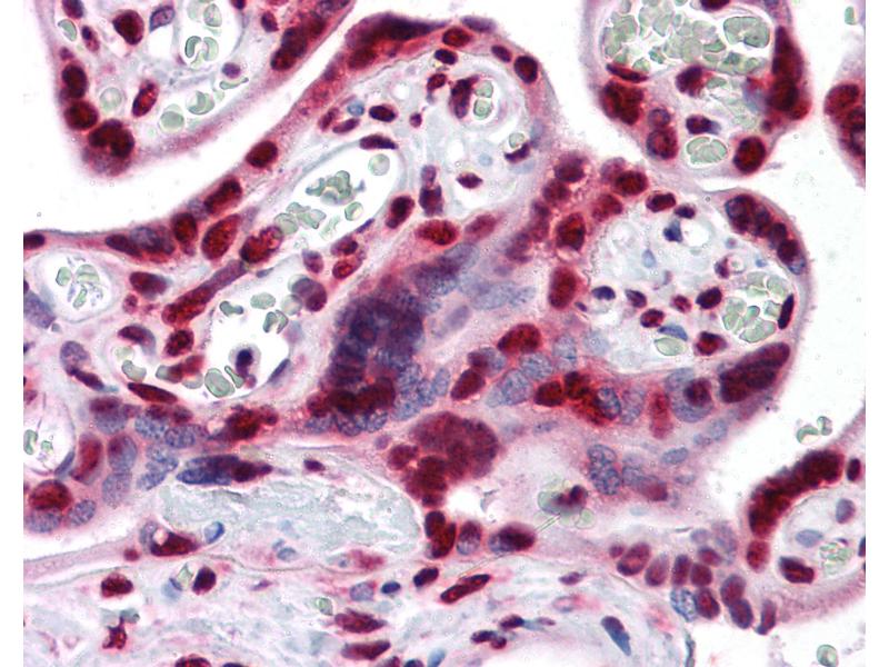
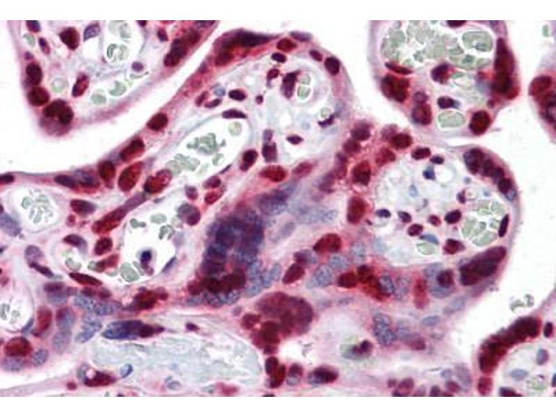
Approved: ELISA, IF (10 μg/mL), IHC, IHC-P (5 μg/mL), WB
Usage: Western Blot (Cell lysate) - positive control A-431. Western Blot (Transfected lysate) - positive control transfected 293T cell line. Immunofluorescence (10 μg/mL) - positive control HeLa cells. Sandwich ELISA (Recombinant protein). -
Kommentare
-
Target Species of Antibody: Human
-
Beschränkungen
- Nur für Forschungszwecke einsetzbar
-
-
-
Format
- Liquid
-
Konzentration
- Lot specific
-
Buffer
- PBS, pH 7.4. Sourced in Ascites.
-
Handhabung
- Aliquot to Avoid freeze/thaw cycles.
-
Lagerung
- -20 °C
-
Informationen zur Lagerung
- Store at -20°C. Aliquot to avoid freeze/thaw cycles.
-
-
- PTBP1 (Polypyrimidine Tract Binding Protein 1 (PTBP1))
-
Andere Bezeichnung
- PTBP1
-
Hintergrund
-
Name/Gene ID: PTBP1
Synonyms: PTBP1, HnRNP I, HNRNPI, HNRPI, PTB, PPTB, PTB2, PTB4, RNA-binding protein, HNRNP-I, PTB-1, PTB-T, PTB3 -
Gen-ID
- 5725
-
NCBI Accession
- NP_002810
-
UniProt
- P26599
-
Pathways
- Regulation of Muscle Cell Differentiation
Target
-