Telefon:
+49 (0)241 95 163 153
Fax:
+49 (0)241 95 163 155
E-Mail:
orders@antikoerper-online.de

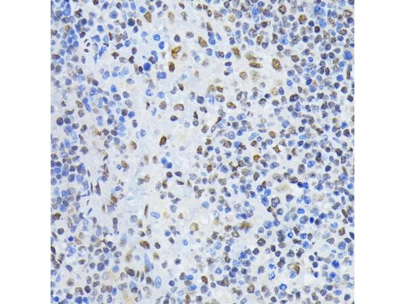
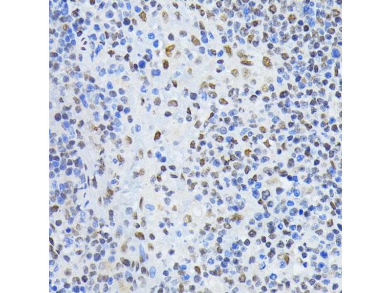
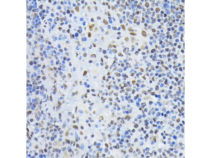
PTBP1 Antikörper (AA 1-290)

Zitiert in 1 Publikation. Der Kaninchen Polyklonal anti-PTBP1 Antikörper (ABIN3022618) detektiert spezifisch PTBP1 in WB, IHC und IF. Dieser Antikörper reagiert spezifisch mit Proben aus Human.
Produktnummer ABIN3022618
385,00 €
Zzgl. Versandkosten 20,00 € und MwSt
Lieferung nach: Deutschland
Lieferung in 7 bis 9 Werktagen

Kurzübersicht für PTBP1 Antikörper (AA 1-290) (ABIN3022618)

Target

Alle PTBP1 Antikörper anzeigen
PTBP1 (Polypyrimidine Tract Binding Protein 1 (PTBP1))

Reaktivität

  • 78
  • 41
  • 38
  • 4
  • 4
  • 4
  • 3
  • 3
  • 3
  • 2
  • 2
  • 2
  • 2
  • 1
  • 1
  • 1
Human

Wirt

  • 69
  • 8
  • 1
Kaninchen

Klonalität

  • 40
  • 38
Polyklonal

Konjugat

  • 38
  • 5
  • 4
  • 4
  • 4
  • 4
  • 4
  • 4
  • 3
  • 2
  • 2
  • 2
  • 1
  • 1
Dieser PTBP1 Antikörper ist unkonjugiert

Applikation

  • 58
  • 36
  • 21
  • 20
  • 16
  • 6
  • 5
  • 4
  • 2
  • 1
  • 1
Western Blotting (WB), Immunohistochemistry (IHC), Immunofluorescence (IF)
  • Bindungsspezifität

    • 8
    • 5
    • 5
    • 3
    • 2
    • 2
    • 2
    • 2
    • 1
    • 1
    • 1
    • 1
    AA 1-290

    Sequenz

    MDGIVPDIAV GTKRGSDELF STCVTNGPFI MSSNSASAAN GNDSKKFKGD SRSAGVPSRV IHIRKLPIDV TEGEVISLGL PFGKVTNLLM LKGKNQAFIE MNTEEAANTM VNYYTSVTPV LRGQPIYIQF SNHKELKTDS SPNQARAQAA LQAVNSVQSG NLALAASAAA VDAGMAMAGQ SPVLRIIVEN LFYPVTLDVL HQIFSKFGTV LKIITFTKNN QFQALLQYAD PVSAQHAKLS LDGQNIYNAC CTLRIDFSKL TSLNVKYNND KSRDYTRPDL PSGDSQPSLD

    Kreuzreaktivität

    Human, Maus, Ratte

    Produktmerkmale

    Polyclonal Antibodies

    Immunogen

    Recombinant fusion protein containing a sequence corresponding to amino acids 1-290 of human PTBP1 (NP_114368.1).

    Isotyp

    IgG
  • Applikationshinweise

    WB,1:500 - 1:2000,IHC,1:50 - 1:100,IF,1:50 - 1:100

    Beschränkungen

    Nur für Forschungszwecke einsetzbar
  • Buffer

    PBS with 0.02 % sodium azide,50 % glycerol, pH 7.3.

    Konservierungsmittel

    Sodium azide

    Vorsichtsmaßnahmen

    This product contains Sodium azide: a POISONOUS AND HAZARDOUS SUBSTANCE which should be handled by trained staff only.

    Lagerung

    -20 °C

    Informationen zur Lagerung

    Store at -20°C. Avoid freeze / thaw cycles.
  • Wei, Dai, Zhou, He, Yao, Zhao, Guo, Yang: "Oroxylin A activates PKM1/HNF4 alpha to induce hepatoma differentiation and block cancer progression." in: Cell death & disease, Vol. 8, Issue 7, pp. e2944, (2018) (PubMed).

  • Target

    PTBP1 (Polypyrimidine Tract Binding Protein 1 (PTBP1))

    Andere Bezeichnung

    PTBP1

    Hintergrund

    This gene belongs to the subfamily of ubiquitously expressed heterogeneous nuclear ribonucleoproteins (hnRNPs). The hnRNPs are RNA-binding proteins and they complex with heterogeneous nuclear RNA (hnRNA). These proteins are associated with pre-mRNAs in the nucleus and appear to influence pre-mRNA processing and other aspects of mRNA metabolism and transport. While all of the hnRNPs are present in the nucleus, some seem to shuttle between the nucleus and the cytoplasm. The hnRNP proteins have distinct nucleic acid binding properties. The protein encoded by this gene has four repeats of quasi-RNA recognition motif (RRM) domains that bind RNAs. This protein binds to the intronic polypyrimidine tracts that requires pre-mRNA splicing and acts via the protein degradation ubiquitin-proteasome pathway. It may also promote the binding of U2 snRNP to pre-mRNAs. This protein is localized in the nucleoplasm and it is also detected in the perinucleolar structure. Alternatively spliced transcript variants encoding different isoforms have been described.,PTBP1,HNRNP-I,HNRNPI,HNRPI,PTB,PTB-1,PTB-T,PTB2,PTB3,PTB4,pPTB,Epigenetics & Nuclear Signaling,RNA Binding,PTBP1

    Molekulargewicht

    57 kDa/59 kDa

    Gen-ID

    5725

    UniProt

    P26599

    Pathways

    Regulation of Muscle Cell Differentiation
Sie sind hier:
Chat with us!