Telefon:
+49 (0)241 95 163 153
Fax:
+49 (0)241 95 163 155
E-Mail:
orders@antikoerper-online.de

Histone 3 Antikörper (H3K4me, pThr3)

Der Kaninchen Polyklonal anti-Histone 3 Antikörper wird verwendet zum Nachweis von Histone 3 in Proben von Human, Maus und C. elegans. Er wurde validiert für WB, IHC, IF, ChIP, DB, FM und MA.
Rockland
Produktnummer ABIN5706875
Hersteller Produkt- Nr.: 600-401-i54
653,08 €
Zzgl. Versandkosten 20,00 €, Trockeneispauschale 20,00 € sowie MwSt
50 μg
Lieferung nach: Deutschland
Lieferung in 5 bis 8 Werktagen

Kurzübersicht für Histone 3 Antikörper (H3K4me, pThr3) (ABIN5706875)

Target

Alle Histone 3 (H3) Antikörper anzeigen
Histone 3 (H3) (Histone H3 (H3))

Reaktivität

  • 1703
  • 1139
  • 1010
  • 47
  • 40
  • 37
  • 35
  • 33
  • 25
  • 23
  • 21
  • 20
  • 11
  • 7
  • 6
  • 5
  • 5
  • 4
  • 4
  • 4
  • 3
  • 3
  • 2
  • 2
  • 2
  • 2
  • 2
  • 1
  • 1
  • 1
  • 1
  • 1
  • 1
  • 1
  • 1
  • 1
  • 1
  • 1
  • 1
  • 1
  • 1
  • 1
  • 1
  • 1
  • 1
  • 1
  • 1
  • 1
  • 1
  • 1
Human, Maus, C. elegans

Wirt

  • 1473
  • 258
  • 12
  • 5
  • 1
Kaninchen

Klonalität

  • 1114
  • 634
  • 1
Polyklonal

Konjugat

  • 919
  • 103
  • 70
  • 69
  • 67
  • 67
  • 67
  • 67
  • 29
  • 28
  • 24
  • 24
  • 18
  • 18
  • 18
  • 17
  • 17
  • 17
  • 17
  • 17
  • 17
  • 17
  • 17
  • 17
  • 7
  • 1
Dieser Histone 3 Antikörper ist unkonjugiert

Applikation

  • 1353
  • 570
  • 482
  • 413
  • 335
  • 307
  • 207
  • 204
  • 204
  • 188
  • 177
  • 125
  • 114
  • 48
  • 47
  • 37
  • 25
  • 25
  • 19
  • 15
  • 14
  • 7
  • 7
  • 7
  • 4
  • 3
  • 2
  • 1
  • 1
  • 1
  • 1
  • 1
  • 1
  • 1
Western Blotting (WB), Immunohistochemistry (IHC), Immunofluorescence (IF), Chromatin Immunoprecipitation (ChIP), Dot Blot (DB), Fluorescence Microscopy (FM), Multiplex Assay (MA)
  • Bindungsspezifität

    • 74
    • 51
    • 50
    • 49
    • 46
    • 46
    • 46
    • 45
    • 43
    • 43
    • 38
    • 36
    • 33
    • 32
    • 32
    • 29
    • 29
    • 28
    • 27
    • 25
    • 25
    • 25
    • 24
    • 24
    • 24
    • 23
    • 22
    • 22
    • 19
    • 18
    • 18
    • 18
    • 16
    • 15
    • 15
    • 14
    • 14
    • 14
    • 13
    • 12
    • 11
    • 11
    • 11
    • 11
    • 11
    • 10
    • 10
    • 10
    • 10
    • 10
    H3K4me, pThr3

    Hersteller Produkt- Nr.

    600-401-i54

    Hersteller

    Rockland

    Verwendungszweck

    Histone H3 K4me1/phospho T3 Antibody

    Kreuzreaktivität (Details)

    This antibody reacts with human Histone H3.

    Produktmerkmale

    Synonyms: rabbit anti-Histone H3 pT3 monomethyl Lys4 antibody, H3.3B, H3.3AH3F3H3F3B, H3 histone, family 3A, histone H3.3, MGC87782, MGC87783,H3pT3/K4me1

    Aufreinigung

    Anti-Histone H3 [p Thr3, Monomethyl Lys4] was affinity purified from monospecific antiserum by immunoaffinity chromatography.

    Sterilität

    Sterile filtered

    Immunogen

    Immunogen: Histone H3 [p Thr3, Monomethyl Lys4] affinity purified antibody was prepared from whole rabbit serum produced by repeated immunizations with a synthetic monomethylated/phosphorylated peptides surrounding Lysine 4 and Threonine 3 of human Histone H3.2.

    Immunogen Type: Conjugated Peptide

    Isotyp

    IgG
  • Applikationshinweise

    Immunohistochemistry Dilution: 1:100

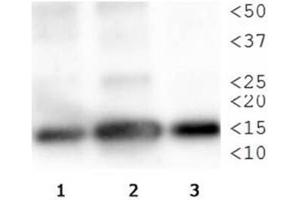
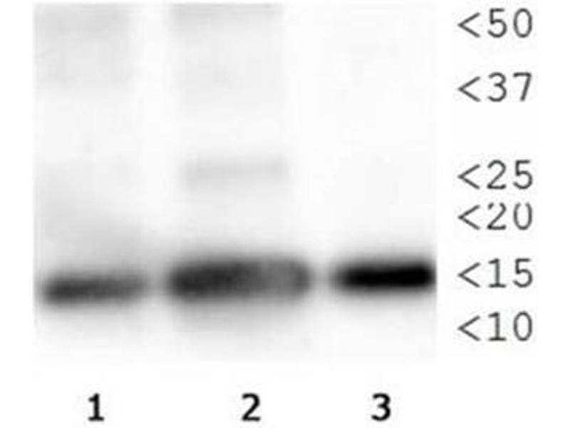
    Application Note: Anti-Histone H3 K4me1/pT3 Antibody is tested for Western Blot, Dot Blot, and Immunocytochemistry/Immunofluorescence. This antibody is suitable for Chromatin Immunoprecipitation. Specific conditions for reactivity should be optimized by the end user. Expect a band approximately ~15.4 kDa corresponding to Histone H3 protein by Western Blotting in HeLa histone prep lysate or the appropriate cell lysate or extract. Epi-Plus™ antibody production in collaboration with Novus Biologicals.

    Western Blot Dilution: 1:1000

    IF Microscopy Dilution: 1:100

    Other: Dot Blot 1:1000

    Beschränkungen

    Nur für Forschungszwecke einsetzbar
  • Format

    Liquid

    Konzentration

    0.98 mg/mL

    Buffer

    Buffer: 0.02 M Potassium Phosphate, 0.15 M Sodium Chloride, pH 7.2

    Stabilizer: 30 % Glycerol

    Preservative: 0.01 % (w/v) Sodium Azide

    Konservierungsmittel

    Sodium azide

    Vorsichtsmaßnahmen

    This product contains Sodium azide: a POISONOUS AND HAZARDOUS SUBSTANCE which should be handled by trained staff only.

    Lagerung

    4 °C,-20 °C

    Informationen zur Lagerung

    Store vial at -20° C prior to opening. Aliquot contents and freeze at -20° C or below for extended storage. Avoid cycles of freezing and thawing. Centrifuge product if not completely clear after standing at room temperature. This product is stable for several weeks at 4° C as an undiluted liquid. Dilute only prior to immediate use.

    Haltbarkeit

    12 months
  • Target

    Histone 3 (H3) (Histone H3 (H3))

    Andere Bezeichnung

    Histone H3

    Hintergrund

    Background: Chromatin is the arrangement of DNA and proteins in which chromosomes are formed. Correspondingly, chromatin is formed from nucleosomes, which are comprised of a set of four histone proteins (H2A, H2B, H3, H4) wrapped with DNA. Chromatin is a very dynamic structure in which numerous post-translational modifications work together to activate or repress the availability of DNA to be copied, transcribed, or repaired. These marks decide which DNA will be open and commonly active (euchromatin) or tightly wound to prevent access and activation (heterochromatin). Common histone modifications include methylation of lysine and arginine, acetylation of lysine, phosphorylation of threonine and serine, and sumoylation, biotinylation, and ubiquitylation of lysine. In particular, methylation of lysine 4 on H3 (H3 K4Me) and phosphorylation of threonine 3 (H3 pT3) are known marks of transcriptional activation and mitosis, respectively. While H3K4 has many known modifying enzymes (Set1, Set7/9, MLL, ASH1), Haspin is the only known modifier for H3T3. Recent findings also demonstrate that pT3 can promote binding of survivin in the nucleosome. Anti-Histone H3 are ideal for researchers interested in Chromatin Research, Epigenetics, Chromatin Modifiers, Histones and Modified Histones.

    Gen-ID

    126961

    NCBI Accession

    NP_001005464

    UniProt

    Q71DI3
Sie sind hier:
Chat with us!