Telefon:
+49 (0)241 95 163 153
Fax:
+49 (0)241 95 163 155
E-Mail:
orders@antikoerper-online.de

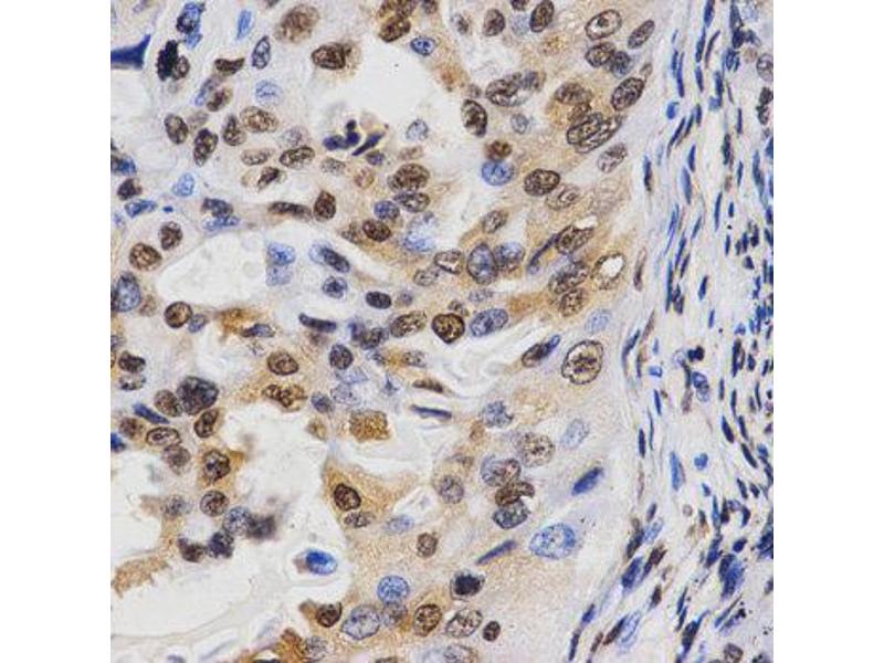
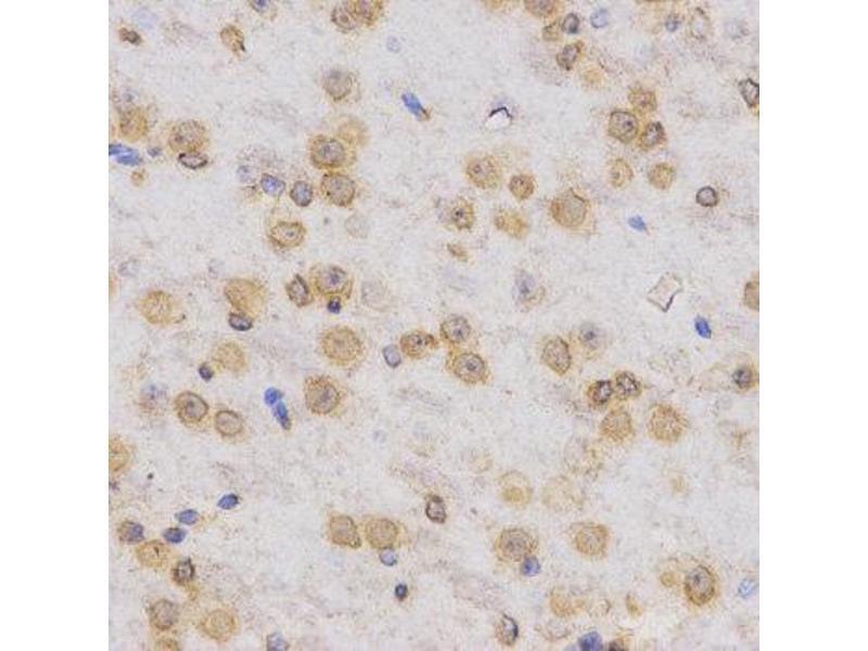
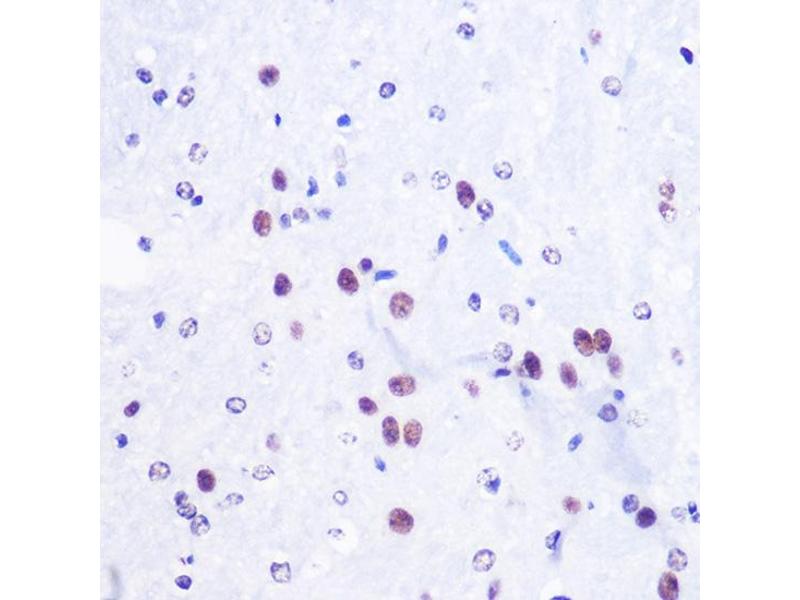
Histone 3 Antikörper (H3K36me3)

Dieser Kaninchen Polyklonal Antikörper detektiert spezifisch Histone 3 in WB, IHC, IF, ChIP, IP und ChIP-seq. Es zeigt Reaktivität gegenüber Proben von Human. Es wurde in 4+ Publikationen zitiert.
Produktnummer ABIN3016039
385,00 €
Zzgl. Versandkosten 20,00 € und MwSt
Lieferung nach: Deutschland
Lieferung in 7 bis 9 Werktagen

Kurzübersicht für Histone 3 Antikörper (H3K36me3) (ABIN3016039)

Target

Alle Histone 3 (H3) Antikörper anzeigen
Histone 3 (H3) (Histone H3 (H3))

Reaktivität

  • 1733
  • 1170
  • 1040
  • 48
  • 40
  • 37
  • 35
  • 33
  • 25
  • 23
  • 21
  • 20
  • 11
  • 7
  • 6
  • 6
  • 5
  • 4
  • 4
  • 4
  • 3
  • 3
  • 2
  • 2
  • 2
  • 2
  • 2
  • 1
  • 1
  • 1
  • 1
  • 1
  • 1
  • 1
  • 1
  • 1
  • 1
  • 1
  • 1
  • 1
  • 1
  • 1
  • 1
  • 1
  • 1
  • 1
  • 1
  • 1
  • 1
  • 1
Human

Wirt

  • 1503
  • 258
  • 12
  • 5
  • 1
Kaninchen

Klonalität

  • 1144
  • 634
  • 1
Polyklonal

Konjugat

  • 949
  • 103
  • 70
  • 69
  • 67
  • 67
  • 67
  • 67
  • 29
  • 28
  • 24
  • 24
  • 18
  • 18
  • 18
  • 17
  • 17
  • 17
  • 17
  • 17
  • 17
  • 17
  • 17
  • 17
  • 7
  • 1
Dieser Histone 3 Antikörper ist unkonjugiert

Applikation

  • 1380
  • 600
  • 502
  • 413
  • 335
  • 307
  • 207
  • 205
  • 203
  • 188
  • 177
  • 125
  • 113
  • 48
  • 48
  • 37
  • 26
  • 25
  • 19
  • 15
  • 14
  • 7
  • 7
  • 7
  • 4
  • 3
  • 2
  • 1
  • 1
  • 1
  • 1
  • 1
  • 1
  • 1
Western Blotting (WB), Immunohistochemistry (IHC), Immunofluorescence (IF), Chromatin Immunoprecipitation (ChIP), Immunoprecipitation (IP), ChIP DNA-Sequencing (ChIP-seq)
  • Bindungsspezifität

    • 75
    • 51
    • 50
    • 49
    • 46
    • 46
    • 46
    • 45
    • 43
    • 43
    • 38
    • 36
    • 33
    • 32
    • 32
    • 29
    • 29
    • 29
    • 28
    • 25
    • 25
    • 25
    • 24
    • 24
    • 24
    • 23
    • 22
    • 22
    • 19
    • 18
    • 18
    • 18
    • 16
    • 15
    • 15
    • 14
    • 14
    • 14
    • 14
    • 12
    • 11
    • 11
    • 11
    • 11
    • 11
    • 11
    • 11
    • 10
    • 10
    • 10
    H3K36me3

    Kreuzreaktivität

    Human, Maus, Ratte

    Produktmerkmale

    Methylated Antibodies

    Aufreinigung

    Affinity purification

    Immunogen

    A synthetic methylated peptide corresponding to residues surrounding K36 of human histone H3

    Isotyp

    IgG
  • Applikationshinweise

    WB,1:500 - 1:2000,IHC,1:50 - 1:200,IF,1:50 - 1:200,IP,1:50 - 1:200,ChIP,1:20 - 1:100,ChIP-seq,1:20 - 1:100

    Beschränkungen

    Nur für Forschungszwecke einsetzbar
  • Buffer

    PBS with 0.02 % sodium azide,50 % glycerol, pH 7.3.

    Konservierungsmittel

    Sodium azide

    Vorsichtsmaßnahmen

    This product contains Sodium azide: a POISONOUS AND HAZARDOUS SUBSTANCE which should be handled by trained staff only.

    Lagerung

    -20 °C

    Informationen zur Lagerung

    Store at -20°C. Avoid freeze / thaw cycles.
  • Jia, Long, Miron, Yin, Wei, Zhang, Wu: "Setd2 is associated with strontium-induced bone regeneration." in: Acta biomaterialia, Vol. 53, pp. 495-505, (2018) (PubMed).

    Yu, Liu, Liu, Wang, Liu, Miao, Du, Yang: "Ascorbic acid induces global epigenetic reprogramming to promote meiotic maturation and developmental competence of porcine oocytes." in: Scientific reports, Vol. 8, Issue 1, pp. 6132, (2018) (PubMed).

    Song, Li, Wang, Du, Yang: "DMBA acts on cumulus cells to desynchronize nuclear and cytoplasmic maturation of pig oocytes." in: Scientific reports, Vol. 7, Issue 1, pp. 1687, (2018) (PubMed).

    Cao, Liu, Yue, Liu, Pei, Gu, Wang, Jia: "Iron chelation inhibits cancer cell growth and modulates global histone methylation status in colorectal cancer." in: Biometals : an international journal on the role of metal ions in biology, biochemistry, and medicine, Vol. 31, Issue 5, pp. 797-805, (2018) (PubMed).

  • Target

    Histone 3 (H3) (Histone H3 (H3))

    Andere Bezeichnung

    Histone H3

    Hintergrund

    Histones are basic nuclear proteins that are responsible for the nucleosome structure of the chromosomal fiber in eukaryotes. Nucleosomes consist of approximately 146 bp of DNA wrapped around a histone octamer composed of pairs of each of the four core histones (H2A, H2B, H3, and H4). The chromatin fiber is further compacted through the interaction of a linker histone, H1, with the DNA between the nucleosomes to form higher order chromatin structures. This gene is intronless and encodes a replication-dependent histone that is a member of the histone H3 family. Transcripts from this gene lack polyA tails, instead, they contain a palindromic termination element. This gene is located separately from the other H3 genes that are in the histone gene cluster on chromosome 6p22-p21.3.,H3.4,H3/g,H3FT,H3t,HIST3H3,Histone H3,HIST1H3A,Signal Transduction,MAPK-Erk Signaling Pathway,MAPK-P38 Signaling Pathway,Epigenetics & Nuclear Signaling,Epigenetic Modifications,Methylation,Histone H3

    Molekulargewicht

    15 kDa

    Gen-ID

    8290

    UniProt

    Q16695
Sie sind hier:
Chat with us!