Telefon:
+49 (0)241 95 163 153
Fax:
+49 (0)241 95 163 155
E-Mail:
orders@antikoerper-online.de

CP110 Antikörper (AA 51-284)

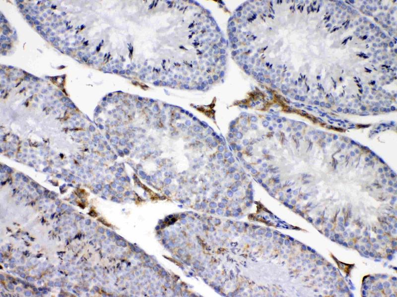
Der Kaninchen Polyklonal anti-CP110 Antikörper (ABIN5693312) detektiert spezifisch CP110 in WB, ELISA, IHC, IF und ICC. Dieser Antikörper reagiert spezifisch mit Proben aus Human, Maus und Ratte.
Produktnummer ABIN5693312
500,50 €
Zzgl. Versandkosten 20,00 € und MwSt
100 μg
Lieferung nach: Deutschland
Lieferung in 8 bis 12 Werktagen

Kurzübersicht für CP110 Antikörper (AA 51-284) (ABIN5693312)

Target

Alle CP110 (CCP110) Antikörper anzeigen
CP110 (CCP110) (Centriolar Coiled Coil Protein 110kDa (CCP110))

Reaktivität

  • 36
  • 18
  • 18
  • 3
  • 2
  • 2
  • 1
  • 1
  • 1
  • 1
Human, Maus, Ratte

Wirt

  • 35
  • 1
Kaninchen

Klonalität

  • 36
Polyklonal

Konjugat

  • 15
  • 1
  • 1
  • 1
  • 1
  • 1
  • 1
  • 1
  • 1
  • 1
  • 1
  • 1
  • 1
  • 1
  • 1
  • 1
  • 1
  • 1
  • 1
  • 1
  • 1
  • 1
Dieser CP110 Antikörper ist unkonjugiert

Applikation

  • 26
  • 13
  • 9
  • 8
  • 5
  • 5
  • 2
  • 1
Western Blotting (WB), ELISA, Immunohistochemistry (IHC), Immunofluorescence (IF), Immunocytochemistry (ICC)
  • Bindungsspezifität

    • 4
    • 3
    • 2
    • 2
    • 1
    • 1
    AA 51-284

    Verwendungszweck

    Anti-CP110/CCP110 Antibody

    Kreuzreaktivität (Details)

    No cross-reactivity with other proteins.

    Produktmerkmale

    Anti-/C Antibody (ABIN5693312). Tested in ELISA, IF, IHC, ICC, WB applications. This antibody reacts with Human, Mouse, Rat. This is a premium antibody that guarantees superior quality, high affinity, and strong signals with minimal background in Western blot applications.

    Aufreinigung

    Immunogen affinity purified.

    Immunogen

    E. coli-derived human CP110 recombinant protein (Position: E51-H284).

    Isotyp

    IgG
  • Applikationshinweise

    Western blot, 0.1-0.5 μg/mL
    Immunohistochemistry (Paraffin-embedded Section), 2-5 μg/mL
    Immunocytochemistry/Immunofluorescence, 5 μg/mL
    ELISA, 0.1-0.5 μg/mL

    Beschränkungen

    Nur für Forschungszwecke einsetzbar
  • Format

    Lyophilized

    Rekonstitution

    Add 0.2 mL of distilled water will yield a concentration of 500 μg/mL.

    Konzentration

    500 μg/mL

    Buffer

    Each vial contains 4 mg Trehalose, 0.9 mg NaCl and 0.2 mg Na2HPO4.

    Lagerung

    4 °C,-20 °C

    Informationen zur Lagerung

    Store at -20°C for one year from date of receipt. After reconstitution, at 4°C for one month.
    It can also be aliquotted and stored frozen at -20°C for six months. Avoid repeated freeze-thaw cycles.
  • Target

    CP110 (CCP110) (Centriolar Coiled Coil Protein 110kDa (CCP110))

    Andere Bezeichnung

    CCP110

    Hintergrund

    Synonyms: Centriolar coiled-coil protein of 110 kDa, Centrosomal protein of 110 kDa, CP110, Cep110, CCP110, CEP110, CP110, KIAA0419

    Tissue Specificity: Highly expressed in testis. Detected at intermediate levels in spleen, thymus, prostate, small intestine, colon and peripheral blood leukocytes.

    Background: Centriolar coiled-coil protein of 110 kDa also known as centrosomal protein of 110 kDa or CP110 is a protein that in humans is encoded by the CCP110 gene. This gene is mapped to chromosome 16p12.3. It is a cell cycle-dependent CDK substrate and regulates centrosome duplication. CP110 suppresses a cilia assembly program. CCP110 functions in a protein complex that participates in the transition of centrioles from basal body function to centrosomal function.

    Molekulargewicht

    110 kDa

    Gen-ID

    9738

    UniProt

    O43303

    Pathways

    M Phase
Sie sind hier:
Chat with us!