Telefon:
+49 (0)241 95 163 153
Fax:
+49 (0)241 95 163 155
E-Mail:
orders@antikoerper-online.de

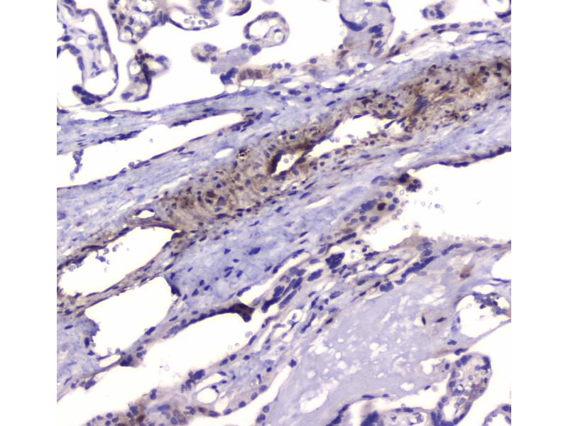
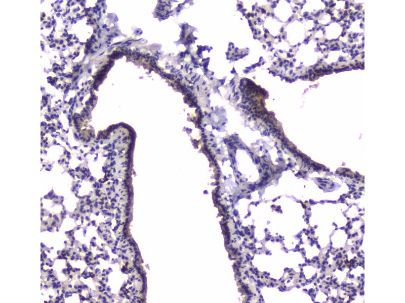
PDE4D Antikörper (AA 466-709)

Der Kaninchen Polyklonal anti-PDE4D Antikörper wird verwendet zum Nachweis von PDE4D in Proben von Human, Maus und Ratte. Er wurde validiert für WB, ELISA, IHC, FACS und ICC.
Produktnummer ABIN5693278
500,50 €
Zzgl. Versandkosten 20,00 € und MwSt
100 μg
Lieferung nach: Deutschland
Lieferung in 8 bis 12 Werktagen

Kurzübersicht für PDE4D Antikörper (AA 466-709) (ABIN5693278)

Target

Alle PDE4D Antikörper anzeigen
PDE4D (phosphodiesterase 4D, cAMP-Specific (PDE4D))

Reaktivität

  • 54
  • 41
  • 41
  • 6
  • 4
  • 3
  • 3
  • 3
  • 3
  • 2
  • 2
  • 1
  • 1
Human, Maus, Ratte

Wirt

  • 56
  • 1
  • 1
Kaninchen

Klonalität

  • 54
  • 4
Polyklonal

Konjugat

  • 31
  • 5
  • 3
  • 1
  • 1
  • 1
  • 1
  • 1
  • 1
  • 1
  • 1
  • 1
  • 1
  • 1
  • 1
  • 1
  • 1
  • 1
  • 1
  • 1
  • 1
  • 1
Dieser PDE4D Antikörper ist unkonjugiert

Applikation

  • 49
  • 21
  • 18
  • 15
  • 11
  • 10
  • 9
  • 6
  • 5
  • 1
  • 1
Western Blotting (WB), ELISA, Immunohistochemistry (IHC), Flow Cytometry (FACS), Immunocytochemistry (ICC)
  • Bindungsspezifität

    • 16
    • 7
    • 4
    • 3
    • 3
    • 1
    • 1
    • 1
    • 1
    • 1
    • 1
    • 1
    • 1
    • 1
    • 1
    • 1
    • 1
    • 1
    • 1
    AA 466-709

    Verwendungszweck

    Anti-PDE4D Antibody

    Kreuzreaktivität (Details)

    No cross-reactivity with other proteins.

    Produktmerkmale

    Anti-PDE4D Antibody (ABIN5693278). Tested in ELISA, Flow Cytometry, IHC, ICC, WB applications. This antibody reacts with Human, Mouse, Rat. This is a premium antibody that guarantees superior quality, high affinity, and strong signals with minimal background in Western blot applications.

    Aufreinigung

    Immunogen affinity purified.

    Immunogen

    E. coli-derived human PDE4D recombinant protein (Position: H466-Q709).

    Isotyp

    IgG
  • Applikationshinweise

    Western blot, 0.1-0.5 μg/mL
    Immunohistochemistry (Paraffin-embedded Section), 0.5-1 μg/mL
    Immunohistochemistry (Frozen Section), 0.5-1 μg/mL
    Immunocytochemistry, 0.5-1 μg/mL
    Flow Cytometry (Fixed), 1-3 μg/1x106 cells
    ELISA, 0.1-0.5 μg/mL

    Beschränkungen

    Nur für Forschungszwecke einsetzbar
  • Format

    Lyophilized

    Rekonstitution

    Add 0.2 mL of distilled water will yield a concentration of 500 μg/mL.

    Konzentration

    500 μg/mL

    Buffer

    Each vial contains 4 mg Trehalose, 0.9 mg NaCl, 0.2 mg Na2HPO4, 0.05 mg NaN3.

    Konservierungsmittel

    Sodium azide

    Vorsichtsmaßnahmen

    This product contains Sodium azide: a POISONOUS AND HAZARDOUS SUBSTANCE which should be handled by trained staff only.

    Lagerung

    4 °C,-20 °C

    Informationen zur Lagerung

    Store at -20°C for one year from date of receipt. After reconstitution, at 4°C for one month.
    It can also be aliquotted and stored frozen at -20°C for six months. Avoid repeated freeze-thaw cycles.
  • Target

    PDE4D (phosphodiesterase 4D, cAMP-Specific (PDE4D))

    Andere Bezeichnung

    PDE4D

    Hintergrund

    Synonyms: cAMP-specific 3',5'-cyclic phosphodiesterase 4D, DPDE3, PDE43, PDE4D, DPDE3

    Tissue Specificity: Expressed in colonic epithelial cells (at protein level). Widespread, most abundant in skeletal muscle. Isoform 6 is detected in brain. Isoform 8 is detected in brain, placenta, lung and kidney. Isoform 7 is detected in heart and skeletal muscle.

    Background: cAMP-specific 3',5'-cyclic phosphodiesterase 4D is an enzyme that in humans is encoded by the PDE4D gene. This gene encodes one of four mammalian counterparts to the fruit fly 'dunce' gene. The encoded protein has 3',5'-cyclic-AMP phosphodiesterase activity and degrades cAMP, which acts as a signal transduction molecule in multiple cell types. This gene uses different promoters to generate multiple alternatively spliced transcript variants that encode functional proteins.

    Molekulargewicht

    91 kDa

    Gen-ID

    5144

    UniProt

    Q08499

    Pathways

    Cellular Response to Molecule of Bacterial Origin, cAMP Metabolic Process, Myometrial Relaxation and Contraction, Regulation of G-Protein Coupled Receptor Protein Signaling
Sie sind hier:
Chat with us!