Telefon:
+49 (0)241 95 163 153
Fax:
+49 (0)241 95 163 155
E-Mail:
orders@antikoerper-online.de

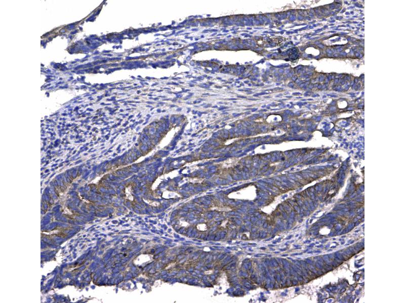
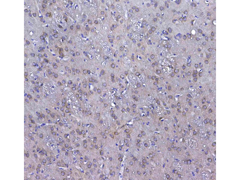
GSTM3 Antikörper (AA 93-206)

Der Kaninchen Polyklonal anti-GSTM3 Antikörper (ABIN5693252) detektiert spezifisch GSTM3 in WB, IHC und ELISA. Dieser Antikörper reagiert spezifisch mit Proben aus Human, Maus und Ratte.
Produktnummer ABIN5693252
500,50 €
Zzgl. Versandkosten 20,00 € und MwSt
100 μg
Lieferung nach: Deutschland
Lieferung in 8 bis 12 Werktagen

Kurzübersicht für GSTM3 Antikörper (AA 93-206) (ABIN5693252)

Target

Alle GSTM3 Antikörper anzeigen
GSTM3 (Glutathione S-Transferase mu 3 (Brain) (GSTM3))

Reaktivität

  • 39
  • 10
  • 6
  • 4
  • 4
  • 3
  • 3
  • 2
  • 2
  • 1
  • 1
Human, Maus, Ratte

Wirt

  • 21
  • 19
  • 2
Kaninchen

Klonalität

  • 25
  • 17
Polyklonal

Konjugat

  • 30
  • 2
  • 2
  • 1
  • 1
  • 1
  • 1
  • 1
  • 1
  • 1
  • 1
Dieser GSTM3 Antikörper ist unkonjugiert

Applikation

  • 23
  • 23
  • 13
  • 10
  • 5
  • 5
  • 3
  • 2
  • 2
  • 1
  • 1
Western Blotting (WB), Immunohistochemistry (IHC), ELISA
  • Bindungsspezifität

    • 11
    • 2
    • 2
    • 1
    • 1
    • 1
    • 1
    • 1
    • 1
    AA 93-206

    Verwendungszweck

    Anti-GSTM3 Antibody

    Kreuzreaktivität (Details)

    No cross-reactivity with other proteins.

    Produktmerkmale

    Anti-GSTM3 Antibody (ABIN5693252). Tested in ELISA, IHC, WB applications. This antibody reacts with Human, Mouse, Rat. This is a premium antibody that guarantees superior quality, high affinity, and strong signals with minimal background in Western blot applications.

    Aufreinigung

    Immunogen affinity purified.

    Immunogen

    E. coli-derived human GSTM3 recombinant protein (Position: E93-Q206).

    Isotyp

    IgG
  • Applikationshinweise

    Western blot, 0.1-0.5 μg/mL
    Immunohistochemistry (Paraffin-embedded Section), 0.5-1 μg/mL
    ELISA, 0.1-0.5 μg/mL

    Beschränkungen

    Nur für Forschungszwecke einsetzbar
  • Format

    Lyophilized

    Rekonstitution

    Add 0.2 mL of distilled water will yield a concentration of 500 μg/mL.

    Konzentration

    500 μg/mL

    Buffer

    Each vial contains 4 mg Trehalose, 0.9 mg NaCl, 0.2 mg Na2HPO4, 0.05 mg NaN3.

    Konservierungsmittel

    Sodium azide

    Vorsichtsmaßnahmen

    This product contains Sodium azide: a POISONOUS AND HAZARDOUS SUBSTANCE which should be handled by trained staff only.

    Lagerung

    4 °C,-20 °C

    Informationen zur Lagerung

    Store at -20°C for one year from date of receipt. After reconstitution, at 4°C for one month.
    It can also be aliquotted and stored frozen at -20°C for six months. Avoid repeated freeze-thaw cycles.
  • Target

    GSTM3 (Glutathione S-Transferase mu 3 (Brain) (GSTM3))

    Andere Bezeichnung

    GSTM3

    Hintergrund

    Synonyms: Glutathione S-transferase Mu 3, GST class-mu 3, GSTM3-3, hGSTM3-3, GSTM3, GST5,

    Tissue Specificity: Testis and brain.

    Background: Glutathione S-transferase M3 (brain), also known as GSTM3, is an enzyme which in humans is encoded by theGSTM3 gene. Cytosolic and membrane-bound forms of glutathione S-transferase are encoded by two distinct supergene families. At present, eight distinct classes of the soluble cytoplasmic mammalian glutathione S-transferases have been identified: alpha, kappa, mu, omega, pi, sigma, theta and zeta. This gene encodes a glutathione S-transferase that belongs to the mu class. The mu class of enzymes functions in the detoxification of electrophilic compounds, including carcinogens, therapeutic drugs, environmental toxins and products of oxidative stress, by conjugation with glutathione. The genes encoding the mu class of enzymes are organized in a gene cluster on chromosome 1p13.3 and are known to be highly polymorphic. These genetic variations can change an individual's susceptibility to carcinogens and toxins as well as affect the toxicity and efficacy of certain drugs. Mutations of this class mu gene have been linked with a slight increase in a number of cancers, likely due to exposure with environmental toxins.

    Molekulargewicht

    26 kDa

    Gen-ID

    2947

    UniProt

    P21266
Sie sind hier:
Chat with us!