Telefon:
+49 (0)241 95 163 153
Fax:
+49 (0)241 95 163 155
E-Mail:
orders@antikoerper-online.de

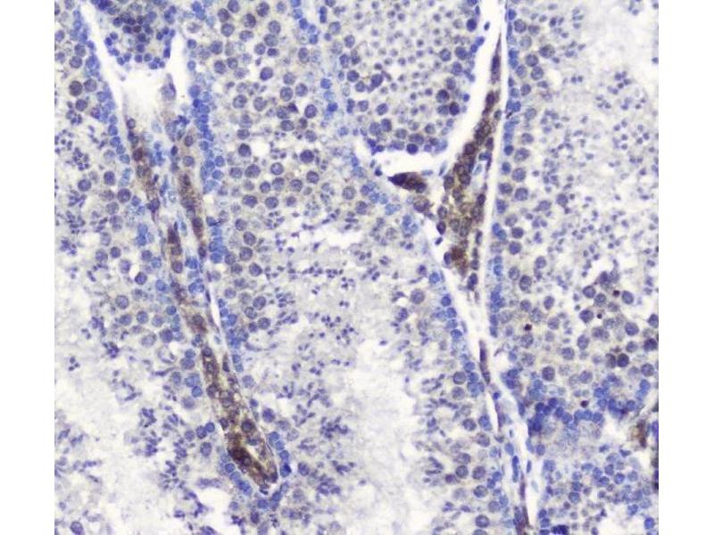
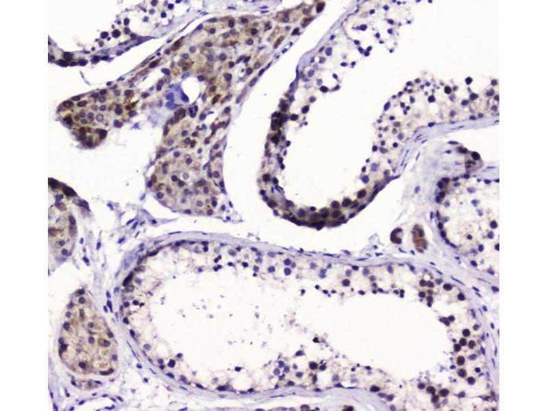
SMC6 Antikörper (AA 205-443)

Dieser Kaninchen Polyklonal Antikörper detektiert spezifisch SMC6 in WB, ELISA, IHC, IF, FACS, IHC (fro) und ICC. Es zeigt Reaktivität gegenüber Proben von Human, Ratte und Maus.
Produktnummer ABIN5693133
500,50 €
Zzgl. Versandkosten 20,00 € und MwSt
100 μg
Lieferung nach: Deutschland
Lieferung in 8 bis 12 Werktagen

Kurzübersicht für SMC6 Antikörper (AA 205-443) (ABIN5693133)

Target

Alle SMC6 Antikörper anzeigen
SMC6 (SMC6 Structural Maintenance of Chromosomes 6-Like 1 (SMC6))

Reaktivität

  • 26
  • 19
  • 5
  • 2
  • 2
  • 2
  • 1
  • 1
  • 1
  • 1
  • 1
Human, Ratte, Maus

Wirt

  • 36
  • 5
Kaninchen

Klonalität

  • 36
  • 5
Polyklonal

Konjugat

  • 15
  • 3
  • 2
  • 2
  • 1
  • 1
  • 1
  • 1
  • 1
  • 1
  • 1
  • 1
  • 1
  • 1
  • 1
  • 1
  • 1
  • 1
  • 1
  • 1
  • 1
  • 1
  • 1
Dieser SMC6 Antikörper ist unkonjugiert

Applikation

  • 29
  • 13
  • 13
  • 10
  • 6
  • 5
  • 5
  • 4
  • 3
  • 2
  • 1
  • 1
Western Blotting (WB), ELISA, Immunohistochemistry (IHC), Immunofluorescence (IF), Flow Cytometry (FACS), Immunohistochemistry (Frozen Sections) (IHC (fro)), Immunocytochemistry (ICC)
  • Bindungsspezifität

    • 15
    • 5
    • 5
    • 4
    • 2
    • 1
    • 1
    AA 205-443

    Verwendungszweck

    Anti-SMC6L1 Antibody

    Kreuzreaktivität (Details)

    No cross-reactivity with other proteins.

    Produktmerkmale

    Anti-SMC6L1 Antibody (ABIN5693133). Tested in ELISA, Flow Cytometry, IF, IHC, IHC-F, ICC, WB applications. This antibody reacts with Human, Mouse, Rat. This is a premium antibody that guarantees superior quality, high affinity, and strong signals with minimal background in Western blot applications.

    Immunogen

    E. coli-derived human SMC6L1 recombinant protein (Position: D205-E443).

    Isotyp

    IgG
  • Applikationshinweise

    Western blot, 0.1-0.5 μg/mL
    Immunohistochemistry (Paraffin-embedded Section), 0.5-1 μg/mL
    Immunohistochemistry (Frozen Section), 0.5-1 μg/mL
    Immunocytochemistry/Immunofluorescence, 2 μg/mL
    Flow Cytometry (Fixed), 1-3 μg/1x106 cells
    ELISA, 0.1-0.5 μg/mL

    Beschränkungen

    Nur für Forschungszwecke einsetzbar
  • Format

    Lyophilized

    Rekonstitution

    Add 0.2 mL of distilled water will yield a concentration of 500 μg/mL.

    Konzentration

    500 μg/mL

    Buffer

    Each vial contains 4 mg Trehalose, 0.9 mg NaCl, 0.2 mg Na2HPO4, 0.05 mg NaN3.

    Konservierungsmittel

    Sodium azide

    Vorsichtsmaßnahmen

    This product contains Sodium azide: a POISONOUS AND HAZARDOUS SUBSTANCE which should be handled by trained staff only.

    Lagerung

    4 °C,-20 °C

    Informationen zur Lagerung

    Store at -20°C for one year from date of receipt. After reconstitution, at 4°C for one month.
    It can also be aliquotted and stored frozen at -20°C for six months. Avoid repeated freeze-thaw cycles.
  • Target

    SMC6 (SMC6 Structural Maintenance of Chromosomes 6-Like 1 (SMC6))

    Andere Bezeichnung

    SMC6

    Hintergrund

    Synonyms: Structural maintenance of chromosomes protein 6, SMC protein 6, SMC-6, hSMC6, SMC6, SMC6L1

    Tissue Specificity: Widely expressed (PubMed:11408570). Strongly expressed in testis (PubMed:11408570).

    Background: Structural maintenance of chromosomes protein 6, also knowns SMC6L1, is a protein that in humans is encoded by the SMC6 gene. It is involved in the Alternative lengthening of telomeres cancer mechanism. The International Radiation Hybrid Mapping Consortium mapped the SMC6L1 gene to chromosome 2.

    Molekulargewicht

    126 kDa

    Gen-ID

    79677
Sie sind hier:
Chat with us!