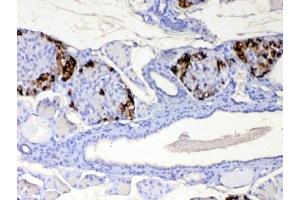
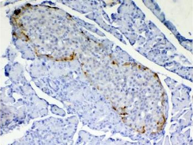
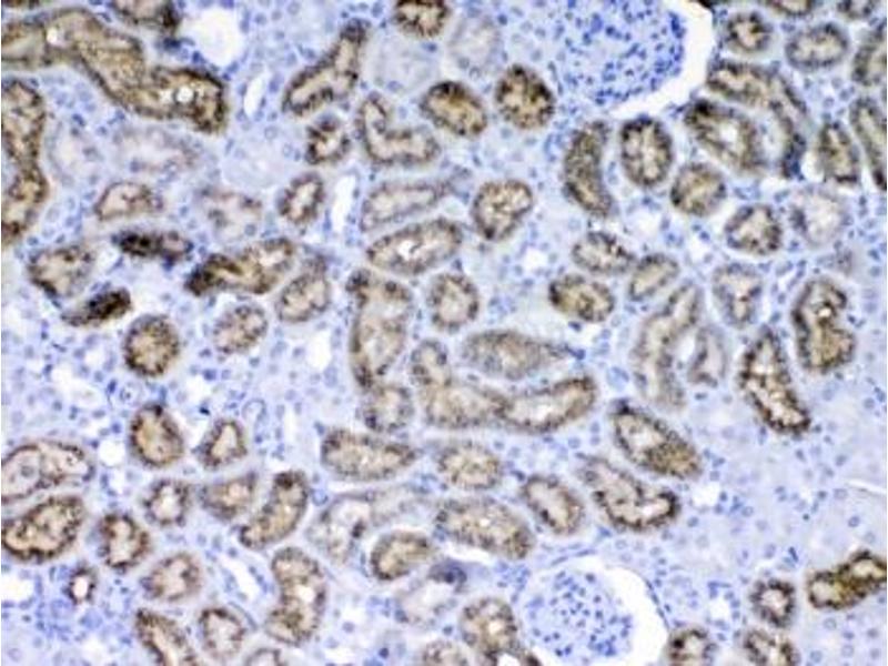
Dieser Kaninchen Polyklonal Antikörper detektiert spezifisch RBP4 in WB, IHC (p) und ELISA (Capture). Es zeigt Reaktivität gegenüber Proben von Human, Maus und Ratte.
Optimal dilution of the RBP4 antibody should be determined by the researcher.\. Western Blot: 0.5-1 μg/mL,IHC (FFPE): 1-2 μg/mL,ELISA (Capture, recombinant mouse protein): 0.1-0.5 μg/mL (BSA-free format available)
Beschränkungen
Nur für Forschungszwecke einsetzbar
Buffer
0.5 mg/mL if reconstituted with 0.2 mL sterile DI water
Lagerung
-20 °C
Informationen zur Lagerung
After reconstitution, the RBP4 antibody can be stored for up to one month at 4°C. For long-term, aliquot and store at -20°C. Avoid repeated freezing and thawing.
Target
RBP4
(Retinol Binding Protein 4, Plasma (RBP4))
Andere Bezeichnung
RBP4 / Retinol Binding Protein 4
Hintergrund
RBP4 is also known as RDCCAS. This protein belongs to the lipocalin family and is the specific carrier for retinol (vitamin A alcohol) in the blood. It delivers retinol from the liver stores to the peripheral tissues. In plasma, the RBP-retinol complex interacts with transthyretin which prevents its loss by filtration through the kidney glomeruli. A deficiency of vitamin A blocks secretion of the binding protein posttranslationally and results in defective delivery and supply to the epidermal cells.