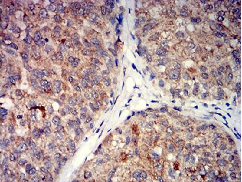
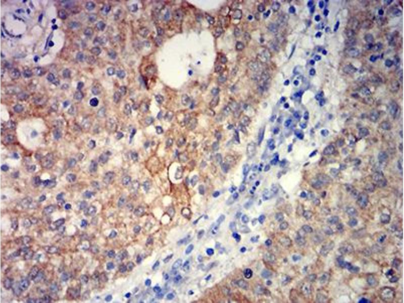
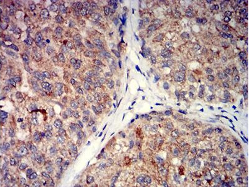
Metabotropic Glutamate Receptor 5 Antikörper (AA 458-580)
Kurzübersicht für Metabotropic Glutamate Receptor 5 Antikörper (AA 458-580) (ABIN5611178)
Target
Alle Metabotropic Glutamate Receptor 5 (GRM5) Antikörper anzeigenReaktivität
Wirt
Klonalität
Konjugat
Applikation
Klon
-
-
Bindungsspezifität
- AA 458-580
-
Verwendungszweck
- GRM5 Antibody
-
Aufreinigung
- Purified antibody
-
Immunogen
- Purified recombinant fragment of human GRM5 (AA: 458-580) expressed in E. Coli.
-
Isotyp
- IgG1
-
-
-
-
Applikationshinweise
-
ELISA: 1/10000
ICC: 1/200 - 1/1000
-
Beschränkungen
- Nur für Forschungszwecke einsetzbar
-
-
-
Format
- Liquid
-
Buffer
- Purified antibody in PBS with 0.05 % sodium azide.
-
Konservierungsmittel
- Sodium azide
-
Vorsichtsmaßnahmen
- This product contains Sodium azide: a POISONOUS AND HAZARDOUS SUBSTANCE which should be handled by trained staff only.
-
Lagerung
- 4 °C,-20 °C
-
Informationen zur Lagerung
- Store at 4°C short term. Aliquot and store at -20°C long term. Avoid freeze/thaw cycles.
-
-
- Metabotropic Glutamate Receptor 5 (GRM5) (Glutamate Receptor, Metabotropic 5 (GRM5))
-
Andere Bezeichnung
- GRM5
-
Hintergrund
-
This gene encodes a member of the G-protein coupled receptor 3 protein family. The encoded protein is a metabatropic glutamate receptor, whose signaling activates a phosphatidylinositol-calcium second messenger system. This protein may be involved in the regulation of neural network activity and synaptic plasticity. Glutamatergic neurotransmission is involved in most aspects of normal brain function and can be perturbed in many neuropathologic conditions. A pseudogene of this gene has been defined on chromosome 11. Alternative splicing results in multiple transcript variants.
-
Molekulargewicht
- 132.5 kDa
-
Gen-ID
- 2915
-
UniProt
- P41594
-
Pathways
- Regulation of G-Protein Coupled Receptor Protein Signaling, Regulation of long-term Neuronal Synaptic Plasticity
Target
-