Telefon:
+49 (0)241 95 163 153
Fax:
+49 (0)241 95 163 155
E-Mail:
orders@antikoerper-online.de

COL6 Antikörper

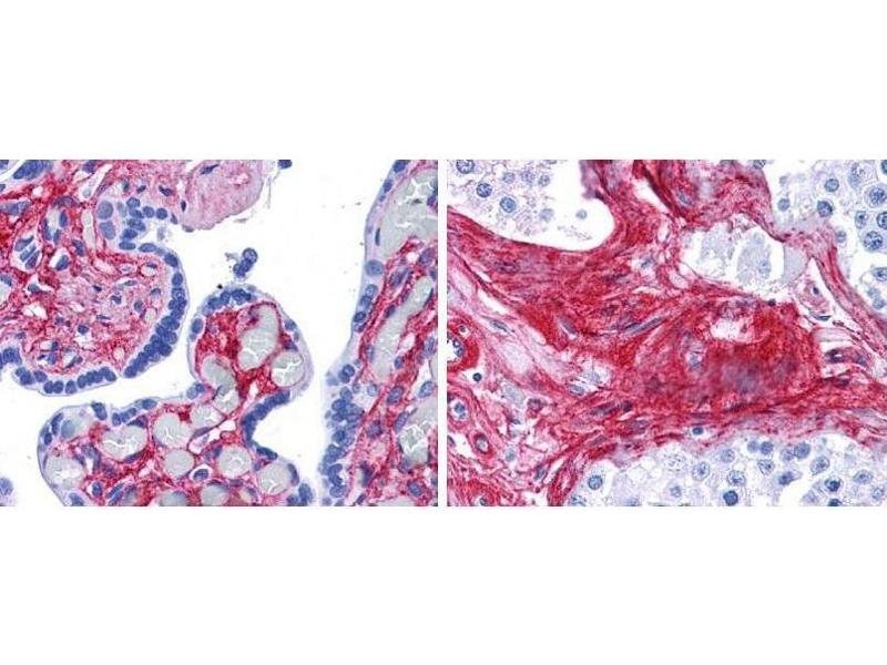
Dieser Kaninchen Polyklonal Antikörper detektiert spezifisch COL6 in WB, IHC, ELISA, IP und DB. Es zeigt Reaktivität gegenüber Proben von Human und Rind (Kuh).Es wurde in 1 Publikation zitiert.
Rockland
Produktnummer ABIN5596844
Hersteller Produkt- Nr.: 600-401-108-0.1
640,81 €
Zzgl. Versandkosten 20,00 € und MwSt
100 μg
Lieferung nach: Deutschland
Lieferung in 5 bis 8 Werktagen

Kurzübersicht für COL6 Antikörper (ABIN5596844)

Target

Alle COL6 Antikörper anzeigen
COL6 (Collagen, Type VI (COL6))

Reaktivität

  • 41
  • 17
  • 17
  • 7
  • 3
  • 1
  • 1
  • 1
Human, Rind (Kuh)

Wirt

  • 32
  • 9
  • 1
Kaninchen

Klonalität

  • 25
  • 17
Polyklonal

Konjugat

  • 19
  • 7
  • 2
  • 2
  • 2
  • 2
  • 2
  • 2
  • 1
  • 1
  • 1
  • 1
Dieser COL6 Antikörper ist unkonjugiert

Applikation

  • 30
  • 25
  • 19
  • 16
  • 14
  • 10
  • 6
  • 5
  • 4
  • 3
  • 3
  • 2
  • 1
Western Blotting (WB), Immunohistochemistry (IHC), ELISA, Immunoprecipitation (IP), Dot Blot (DB)
  • Hersteller Produkt- Nr.

    600-401-108-0.1

    Hersteller

    Rockland

    Verwendungszweck

    Collagen Type VI Antibody

    Kreuzreaktivität (Details)

    Some class specific anti-collagens may be specific for three-dimensional epitopes which may result in diminished reactivity with denatured collagen or formalin-fixed, paraffin embedded tissues.

    Produktmerkmale

    Synonyms: rabbit anti-Collagen Type VI antibody, Collagen alpha-1 (VI) chain, Collagen VI antibody, Human mRNA for collagen VI alpha 1 C terminal globular domain antibody

    Aufreinigung

    Anti-Collagen Type VI has been prepared by immunoaffinity chromatography using immobilized antigens followed by extensive cross-adsorption against other collagens, human serum proteins and non-collagen extracellular matrix proteins to remove any unwanted specificities.

    Sterilität

    Sterile filtered

    Immunogen

    Immunogen: Collagen Type VI from human and bovine placenta

    Immunogen Type: Native Protein

    Isotyp

    IgG
  • Applikationshinweise

    Immunohistochemistry Dilution: 1:50 - 1:200

    Application Note: Anti-Collagen Type VI has been tested by dot blot and IHC and is suitable for indirect trapping ELISA for quantitation of antigen in serum using a standard curve, immunoprecipitation, native (non-denaturing, non-dissociating) PAGE, immunohistochemistry, and western blotting for highly sensitive qualitative analysis.

    Western Blot Dilution: 1:500 - 1:5,000

    Immunoprecipitation Dilution: 1:100

    ELISA Dilution: 1:5,000 - 1:20,000

    Other: User Optimized

    Beschränkungen

    Nur für Forschungszwecke einsetzbar
  • Format

    Liquid

    Konzentration

    1.0 mg/mL

    Buffer

    Buffer: 0.02 M Potassium Phosphate, 0.15 M Sodium Chloride, pH 7.2

    Stabilizer: None

    Preservative: 0.01 % (w/v) Sodium Azide

    Konservierungsmittel

    Sodium azide

    Vorsichtsmaßnahmen

    This product contains Sodium azide: a POISONOUS AND HAZARDOUS SUBSTANCE which should be handled by trained staff only.

    Lagerung

    4 °C,-20 °C

    Informationen zur Lagerung

    Store vial at 4° C prior to opening.  This product is stable at 4° C as an undiluted liquid.  Dilute only prior to immediate use.  For extended storage, mix with an equal volume of glycerol, aliquot contents and freeze at -20° C or below.  Avoid cycles of freezing and thawing. 

    Haltbarkeit

    12 months
  • Ida, Hikage, Itoh, Ida, Ohguro: "Prostaglandin F2α agonist-induced suppression of 3T3-L1 cell adipogenesis affects spatial formation of extra-cellular matrix." in: Scientific reports, Vol. 10, Issue 1, pp. 7958, (2020) (PubMed).

  • Target

    COL6 (Collagen, Type VI (COL6))

    Andere Bezeichnung

    Collagen Type VI

    Hintergrund

    Background: Collagens are highly conserved throughout evolution and are characterized by an uninterrupted ''Glycine-X-Y'' triplet repeat that is a necessary part of the triple helical structure. For these reasons, it is often extremely difficult to generate antibodies with specificities to collagens. The development of 'type' specific antibodies is dependent on NON-DENATURED three-dimensional epitopes. Rockland extensively purifies collagens for immunization from human and bovine placenta and cartilage by limited pepsin digestion and selective salt precipitation. This preparation results in a native conformation of the protein. Antibodies are isolated from rabbit antiserum and are extensively cross-adsorbed by immunoaffinity purification to produce 'type' specific antibodies. Greatly diminished reactivity and selectivity of these antibodies will result if denaturing and reducing conditions are used for SDS-PAGE and immunoblotting.

    Gen-ID

    1291

    UniProt

    P12109
Sie sind hier:
Chat with us!