Telefon:
+49 (0)241 95 163 153
Fax:
+49 (0)241 95 163 155
E-Mail:
orders@antikoerper-online.de

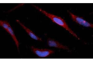
Peroxiredoxin 5 Antikörper (AA 53-214) (APC)

Dieser Kaninchen Polyklonal Antikörper detektiert spezifisch Peroxiredoxin 5 in IHC, ICC, IF und FACS. Es zeigt Reaktivität gegenüber Proben von Human.
Produktnummer ABIN5565989
533,97 €
Zzgl. Versandkosten 20,00 € und MwSt
150 μg
Lieferung nach: Deutschland
Lieferung in 6 bis 9 Werktagen

Kurzübersicht für Peroxiredoxin 5 Antikörper (AA 53-214) (APC) (ABIN5565989)

Target

Alle Peroxiredoxin 5 (PRDX5) Antikörper anzeigen
Peroxiredoxin 5 (PRDX5)

Reaktivität

  • 58
  • 29
  • 28
  • 4
  • 3
  • 2
  • 2
  • 2
  • 2
  • 2
  • 1
  • 1
  • 1
Human

Wirt

  • 64
  • 10
  • 2
  • 1
Kaninchen

Klonalität

  • 56
  • 20
Polyklonal

Konjugat

  • 43
  • 12
  • 4
  • 2
  • 2
  • 2
  • 2
  • 2
  • 2
  • 2
  • 1
  • 1
  • 1
  • 1
Dieser Peroxiredoxin 5 Antikörper ist konjugiert mit APC

Applikation

  • 56
  • 33
  • 19
  • 18
  • 18
  • 16
  • 10
  • 6
  • 4
  • 2
  • 1
  • 1
  • 1
  • 1
Immunohistochemistry (IHC), Immunocytochemistry (ICC), Immunofluorescence (IF), Flow Cytometry (FACS)
  • Bindungsspezifität

    • 9
    • 4
    • 4
    • 4
    • 4
    • 2
    • 2
    • 2
    • 2
    • 1
    • 1
    • 1
    • 1
    • 1
    • 1
    AA 53-214

    Produktmerkmale

    Purified antibody validated for specificity and sensitivity.

    Aufreinigung

    Affinity Purified

    Immunogen

    Human Peroxiredoxin 5 (53-214 aa) expressed in E. Coli.
  • Applikationshinweise

    Optimal working dilution should be determined by the investigator.

    Beschränkungen

    Nur für Forschungszwecke einsetzbar
  • Format

    Lyophilized

    Buffer

    Lyophilized from PBS pH 7.4, 20 mg/mL BSA, and 0.02 % Sodium Azide

    Konservierungsmittel

    Sodium azide

    Vorsichtsmaßnahmen

    This product contains Sodium azide: a POISONOUS AND HAZARDOUS SUBSTANCE which should be handled by trained staff only.
  • Target

    Peroxiredoxin 5 (PRDX5)

    Andere Bezeichnung

    Peroxiredoxin-5 (PRDX5)

    Gen-ID

    25824

    UniProt

    P30044

    Pathways

    Cell RedoxHomeostasis
Sie sind hier:
Chat with us!