Telefon:
+49 (0)241 95 163 153
Fax:
+49 (0)241 95 163 155
E-Mail:
orders@antikoerper-online.de

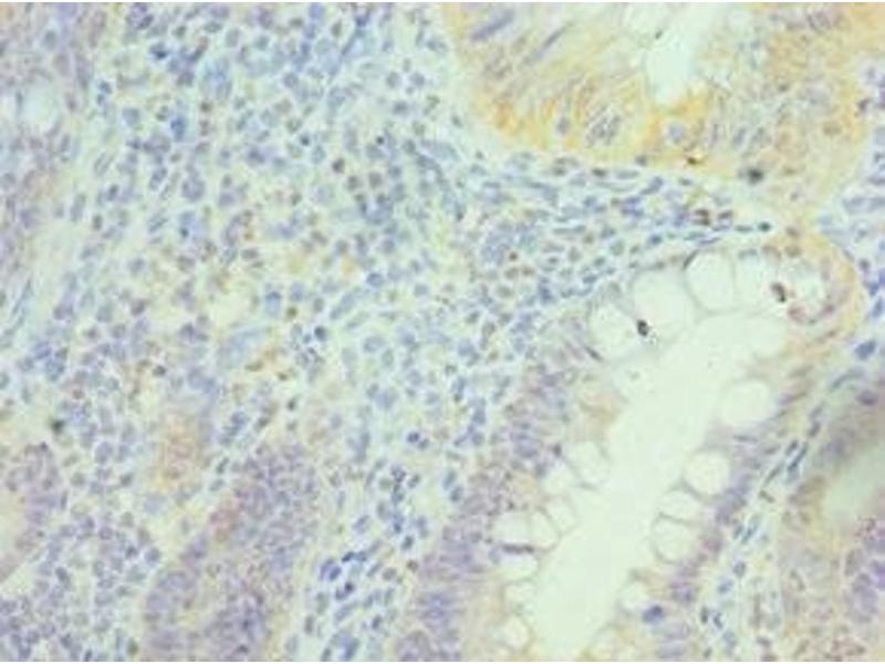
Peroxiredoxin 5 Antikörper (AA 53-214)

Der Kaninchen Polyklonal anti-Peroxiredoxin 5 Antikörper wird verwendet zum Nachweis von Peroxiredoxin 5 in Proben von Human. Er wurde validiert für WB, IHC, ELISA und IF.
Produktnummer ABIN7162944
328,90 €
Zzgl. Versandkosten 20,00 € und MwSt
Lieferung nach: Deutschland
Lieferung in 11 bis 15 Werktagen

Kurzübersicht für Peroxiredoxin 5 Antikörper (AA 53-214) (ABIN7162944)

Target

Alle Peroxiredoxin 5 (PRDX5) Antikörper anzeigen
Peroxiredoxin 5 (PRDX5)

Reaktivität

  • 58
  • 29
  • 28
  • 4
  • 3
  • 2
  • 2
  • 2
  • 2
  • 2
  • 1
  • 1
  • 1
Human

Wirt

  • 64
  • 10
  • 2
  • 1
Kaninchen

Klonalität

  • 56
  • 20
Polyklonal

Konjugat

  • 42
  • 12
  • 4
  • 2
  • 2
  • 2
  • 2
  • 2
  • 2
  • 2
  • 1
  • 1
  • 1
  • 1
  • 1
Dieser Peroxiredoxin 5 Antikörper ist unkonjugiert

Applikation

  • 55
  • 33
  • 20
  • 18
  • 17
  • 17
  • 10
  • 6
  • 4
  • 2
  • 1
  • 1
  • 1
  • 1
Western Blotting (WB), Immunohistochemistry (IHC), ELISA, Immunofluorescence (IF)
  • Bindungsspezifität

    • 9
    • 4
    • 4
    • 4
    • 4
    • 2
    • 2
    • 2
    • 2
    • 1
    • 1
    • 1
    • 1
    • 1
    • 1
    AA 53-214

    Verwendungszweck

    PRDX5 Antibody

    Kreuzreaktivität

    Maus

    Aufreinigung

    Antigen Affinity Purified

    Immunogen

    Recombinant Human Peroxiredoxin-5, mitochondrial protein (53-214AA)

    Isotyp

    IgG
  • Applikationshinweise

    Optimal working dilution should be determined by the investigator.

    Beschränkungen

    Nur für Forschungszwecke einsetzbar
  • Format

    Liquid

    Buffer

    PBS with 0.02 % sodium azide, 50 % glycerol, pH 7.3.

    Konservierungsmittel

    Sodium azide

    Vorsichtsmaßnahmen

    This product contains Sodium azide: a POISONOUS AND HAZARDOUS SUBSTANCE which should be handled by trained staff only.

    Lagerung

    -20 °C,-80 °C

    Informationen zur Lagerung

    Upon receipt, store at -20°C or -80°C. Avoid repeated freeze.
  • Target

    Peroxiredoxin 5 (PRDX5)

    Andere Bezeichnung

    PRDX5

    Hintergrund

    Background: Reduces hydrogen peroxide and alkyl hydroperoxides with reducing equivalents provided through the thioredoxin system. Involved in intracellular redox signaling.

    Aliases: ACR1 antibody, Alu co repressor 1 antibody, Alu corepressor 1 antibody, Antioxidant enzyme B166 antibody, AOEB166 antibody, B166 antibody, epididymis secretory protein Li 55 antibody, HEL-S-55 antibody, Liver tissue 2D-page spot 71B antibody, mitochondrial antibody, Peroxiredoxin 5, mitochondrial antibody, Peroxiredoxin V antibody, Peroxiredoxin-5 antibody, Peroxisomal antioxidant enzyme antibody, PLP antibody, PMP20 antibody, PRDX 5 antibody, PRDX5 antibody, PRDX5_HUMAN antibody, PRDX6 antibody, Prx-V antibody, PRXV antibody, SBBI10 antibody, Thioredoxin peroxidase PMP20 antibody, Thioredoxin reductase antibody, TPx type VI antibody

    UniProt

    P30044

    Pathways

    Cell RedoxHomeostasis
Sie sind hier:
Chat with us!