Telefon:
+49 (0)241 95 163 153
Fax:
+49 (0)241 95 163 155
E-Mail:
orders@antikoerper-online.de

BCL2L1 Antikörper

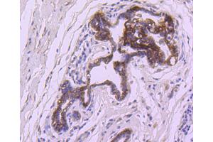
Der Kaninchen Monoklonal anti-BCL2L1 Antikörper (Klon 12C5) (ABIN5557286) detektiert spezifisch BCL2L1 in WB, IHC (p) und IF (cc). Dieser Antikörper reagiert spezifisch mit Proben aus Human.
Produktnummer ABIN5557286
456,42 €
Zzgl. Versandkosten 20,00 € und MwSt
100 μL
Lieferung nach: Deutschland
Lieferung in 12 bis 17 Werktagen

Kurzübersicht für BCL2L1 Antikörper (ABIN5557286)

Target

Alle BCL2L1 Antikörper anzeigen
BCL2L1 (BCL2-Like 1 (BCL2L1))

Reaktivität

  • 231
  • 143
  • 127
  • 50
  • 25
  • 12
  • 10
  • 9
  • 5
  • 5
  • 4
  • 2
  • 2
  • 1
Human

Wirt

  • 164
  • 91
  • 1
Kaninchen

Klonalität

  • 139
  • 117
Monoklonal

Konjugat

  • 126
  • 26
  • 10
  • 5
  • 5
  • 5
  • 5
  • 5
  • 5
  • 5
  • 4
  • 4
  • 4
  • 4
  • 4
  • 4
  • 4
  • 3
  • 2
  • 2
  • 2
  • 2
  • 2
  • 2
  • 2
  • 2
  • 2
  • 2
  • 2
  • 1
  • 1
  • 1
  • 1
  • 1
  • 1
Dieser BCL2L1 Antikörper ist unkonjugiert

Applikation

  • 177
  • 93
  • 64
  • 63
  • 53
  • 35
  • 34
  • 28
  • 27
  • 27
  • 21
  • 11
  • 10
  • 7
  • 4
  • 4
  • 3
  • 3
  • 2
  • 2
Western Blotting (WB), Immunohistochemistry (Paraffin-embedded Sections) (IHC (p)), Immunofluorescence (Cultured Cells) (IF (cc))

Klon

12C5
  • Kreuzreaktivität

    Human

    Aufreinigung

    Purified by Protein A.

    Immunogen

    Recombinant human Bcl-XL protein, around 1-100aa.

    Isotyp

    IgG
  • Applikationshinweise

    WB 1:300-5000
    IHC-P 1:200-400
    IF(ICC) 1:50-200

    Beschränkungen

    Nur für Forschungszwecke einsetzbar
  • Format

    Liquid

    Konzentration

    1 μg/μL

    Buffer

    Aqueous buffered solution containing 1xTBS ( pH 7.4), 1 % BSA, 40 %Glycerol and 0.05 % Sodium Azide.

    Konservierungsmittel

    ProClin

    Vorsichtsmaßnahmen

    This product contains ProClin: a POISONOUS AND HAZARDOUS SUBSTANCE, which should be handled by trained staff only.

    Lagerung

    4 °C,-20 °C

    Informationen zur Lagerung

    Shipped at 4°C. Store at -20°C for one year. Avoid repeated freeze/thaw cycles.

    Haltbarkeit

    12 months
  • Target

    BCL2L1 (BCL2-Like 1 (BCL2L1))

    Andere Bezeichnung

    Bcl-XL

    Hintergrund

    Synonyms: BCL2L1 phospho T47, BCL2L1 phospho Thr47, p-BCL2L1 phospho T47, p-BCL2L1 Thr47, p-BCL2L1Thr115, Apoptosis regulator Bcl X, BclX, Bcl-X, Bcl 2 like 1, Bcl 2 like 1 protein, Bcl xL, BCL X/L, BCL XL/S, Bcl xS, Bcl2 like1, BCL2-related gene, BCL2-related protein, long isoform, included, BCLXL, included, BCL2-related protein, short isoform, included, BCLXS, included, BCL2L, BCL2L1, Bclx, DKFZp781P2092, MGC113803, MGC99998, B2CL1_HUMAN.

    Background: The protein encoded by this gene belongs to the BCL-2 protein family. BCL-2 family members form hetero- or homodimers and act as anti- or pro-apoptotic regulators that are involved in a wide variety of cellular activities. The proteins encoded by this gene are located at the outer mitochondrial membrane, and have been shown to regulate outer mitochondrial membrane channel (VDAC) opening. VDAC regulates mitochondrial membrane potential, and thus controls the production of reactive oxygen species and release of cytochrome C by mitochondria, both of which are the potent inducers of cell apoptosis. Two alternatively spliced transcript variants, which encode distinct isoforms, have been reported. The longer isoform acts as an apoptotic inhibitor and the shorter form acts as an apoptotic activator. [provided by RefSeq, Jul 2008].

    Gen-ID

    598

    UniProt

    Q07817

    Pathways

    Apoptose, Negative Regulation of intrinsic apoptotic Signaling
Sie sind hier:
Chat with us!