Telefon:
+49 (0)241 95 163 153
Fax:
+49 (0)241 95 163 155
E-Mail:
orders@antikoerper-online.de

Complement C3c Antikörper (AA 1521-1649)

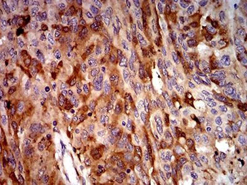
Zitiert in 1 Publikation. Der Maus Monoklonal anti-Complement C3c Antikörper (Klon 8B5H2) (ABIN5542705) detektiert spezifisch Complement C3c in ELISA und IHC. Dieser Antikörper reagiert spezifisch mit Proben aus Human.
Produktnummer ABIN5542705
657,84 €
Zzgl. Versandkosten 20,00 € und MwSt
100 μL
Lieferung nach: Deutschland
Lieferung in 7 bis 10 Werktagen

Kurzübersicht für Complement C3c Antikörper (AA 1521-1649) (ABIN5542705)

Target

Complement C3c (C3C) (Complement Component C3c (C3C))

Reaktivität

  • 58
  • 25
  • 17
  • 12
  • 11
  • 10
  • 4
  • 4
  • 3
  • 1
Human

Wirt

  • 59
  • 30
  • 7
  • 4
  • 3
  • 3
Maus

Klonalität

  • 100
  • 6
Monoklonal

Konjugat

  • 32
  • 31
  • 12
  • 11
  • 4
  • 2
  • 1
  • 1
  • 1
  • 1
  • 1
  • 1
  • 1
  • 1
  • 1
  • 1
  • 1
  • 1
  • 1
  • 1
Dieser Complement C3c Antikörper ist unkonjugiert

Applikation

  • 56
  • 42
  • 34
  • 26
  • 26
  • 14
  • 13
  • 13
  • 7
  • 7
  • 6
  • 6
  • 5
  • 4
  • 2
  • 2
  • 2
  • 2
  • 1
ELISA, Immunohistochemistry (IHC)

Klon

8B5H2
  • Bindungsspezifität

    • 15
    • 5
    • 2
    AA 1521-1649

    Verwendungszweck

    C3C Antibody

    Aufreinigung

    Purified antibody

    Immunogen

    Purified recombinant fragment of human C3C (AA: 1521-1649) expressed in E. Coli.

    Isotyp

    IgG1
  • Applikationshinweise

    ELISA: 1/10000

    Beschränkungen

    Nur für Forschungszwecke einsetzbar
  • Format

    Liquid

    Buffer

    Purified antibody in PBS with 0.05 % sodium azide.

    Konservierungsmittel

    Sodium azide

    Vorsichtsmaßnahmen

    This product contains Sodium azide: a POISONOUS AND HAZARDOUS SUBSTANCE which should be handled by trained staff only.

    Lagerung

    4 °C,-20 °C

    Informationen zur Lagerung

    Store at 4°C short term. Aliquot and store at -20°C long term. Avoid freeze/thaw cycles.
  • Helsby, Leader, Fenn, Gulsen, Bryant, Doughton, Sharpe, Whitley, Caunt, James, Pope, Kelly, Chalmers: "CiteAb: a searchable antibody database that ranks antibodies by the number of times they have been cited." in: BMC cell biology, Vol. 15, pp. 6, (2014) (PubMed).

  • Target

    Complement C3c (C3C) (Complement Component C3c (C3C))

    Andere Bezeichnung

    C3C

    Hintergrund

    Complement component C3 plays a central role in the activation of complement system. Its activation is required for both classical and alternative complement activation pathways. The encoded preproprotein is proteolytically processed to generate alpha and beta subunits that form the mature protein, which is then further processed to generate numerous peptide products. The C3a peptide, also known as the C3a anaphylatoxin, modulates inflammation and possesses antimicrobial activity. Mutations in this gene are associated with atypical hemolytic uremic syndrome and age-related macular degeneration in human patients.

    Molekulargewicht

    187.1 kDa

    Gen-ID

    718

    UniProt

    P01024
Sie sind hier:
Chat with us!