Telefon:
+49 (0)241 95 163 153
Fax:
+49 (0)241 95 163 155
E-Mail:
orders@antikoerper-online.de

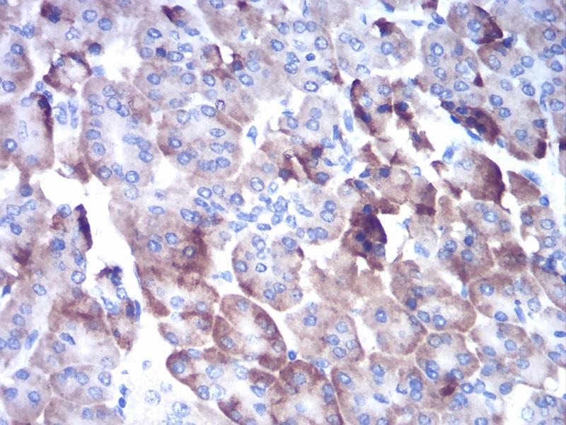
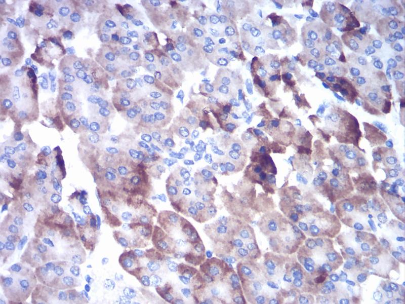
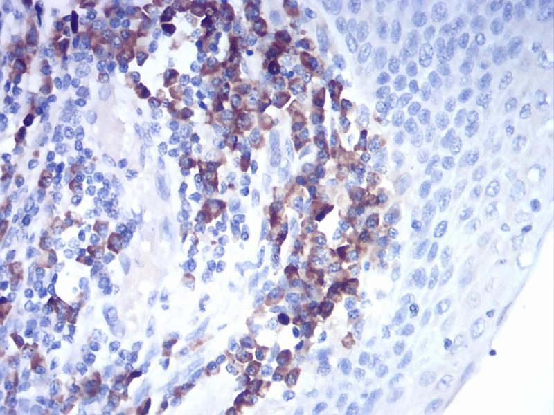
Cathepsin D Antikörper (AA 1-100)

Der Maus Monoklonal anti-Cathepsin D Antikörper (Klon 2H4H5) (ABIN5542294) detektiert spezifisch Cathepsin D in IHC und ELISA. Dieser Antikörper reagiert spezifisch mit Proben aus Human.
Produktnummer ABIN5542294
657,84 €
Zzgl. Versandkosten 20,00 € und MwSt
100 μL
Lieferung nach: Deutschland
Lieferung in 7 bis 10 Werktagen

Kurzübersicht für Cathepsin D Antikörper (AA 1-100) (ABIN5542294)

Target

Alle Cathepsin D (CTSD) Antikörper anzeigen
Cathepsin D (CTSD)

Reaktivität

  • 148
  • 55
  • 35
  • 6
  • 6
  • 4
  • 3
  • 3
  • 3
  • 3
  • 2
  • 2
  • 1
  • 1
  • 1
  • 1
  • 1
  • 1
  • 1
  • 1
Human

Wirt

  • 112
  • 54
  • 2
  • 1
Maus

Klonalität

  • 94
  • 73
Monoklonal

Konjugat

  • 93
  • 14
  • 7
  • 4
  • 3
  • 3
  • 3
  • 3
  • 3
  • 3
  • 3
  • 2
  • 2
  • 2
  • 2
  • 2
  • 2
  • 2
  • 2
  • 1
  • 1
  • 1
  • 1
  • 1
  • 1
  • 1
  • 1
  • 1
  • 1
  • 1
  • 1
  • 1
  • 1
Dieser Cathepsin D Antikörper ist unkonjugiert

Applikation

  • 137
  • 77
  • 43
  • 35
  • 29
  • 26
  • 20
  • 13
  • 13
  • 13
  • 6
  • 5
  • 3
  • 3
  • 2
  • 1
  • 1
  • 1
  • 1
Immunohistochemistry (IHC), ELISA

Klon

2H4H5
  • Bindungsspezifität

    • 35
    • 15
    • 8
    • 8
    • 5
    • 4
    • 4
    • 4
    • 4
    • 4
    • 3
    • 3
    • 3
    • 3
    • 3
    • 3
    • 2
    • 2
    • 2
    • 2
    • 1
    • 1
    • 1
    • 1
    • 1
    • 1
    • 1
    • 1
    • 1
    • 1
    • 1
    • 1
    • 1
    • 1
    • 1
    • 1
    • 1
    • 1
    • 1
    • 1
    AA 1-100

    Verwendungszweck

    CTSD Antibody

    Aufreinigung

    Purified antibody

    Immunogen

    Purified recombinant fragment of human CTSD (AA: 1-100) expressed in E. Coli.

    Isotyp

    IgG1
  • Applikationshinweise

    ELISA: 1/10000

    Beschränkungen

    Nur für Forschungszwecke einsetzbar
  • Format

    Liquid

    Buffer

    Purified antibody in PBS with 0.05 % sodium azide.

    Konservierungsmittel

    Sodium azide

    Vorsichtsmaßnahmen

    This product contains Sodium azide: a POISONOUS AND HAZARDOUS SUBSTANCE which should be handled by trained staff only.

    Lagerung

    4 °C,-20 °C

    Informationen zur Lagerung

    Store at 4°C short term. Aliquot and store at -20°C long term. Avoid freeze/thaw cycles.
  • Target

    Cathepsin D (CTSD)

    Andere Bezeichnung

    CTSD

    Hintergrund

    This gene encodes a lysosomal aspartyl protease composed of a dimer of disulfide-linked heavy and light chains, both produced from a single protein precursor. This proteinase, which is a member of the peptidase C1 family, has a specificity similar to but narrower than that of pepsin A. Transcription of this gene is initiated from several sites, including one which is a start site for an estrogen-regulated transcript. Mutations in this gene are involved in the pathogenesis of several diseases, including breast cancer and possibly Alzheimer disease.

    Molekulargewicht

    44.6 kDa

    UniProt

    P07339

    Pathways

    Peptide Hormone Metabolism
Sie sind hier:
Chat with us!