Telefon:
+49 (0)241 95 163 153
Fax:
+49 (0)241 95 163 155
E-Mail:
orders@antikoerper-online.de

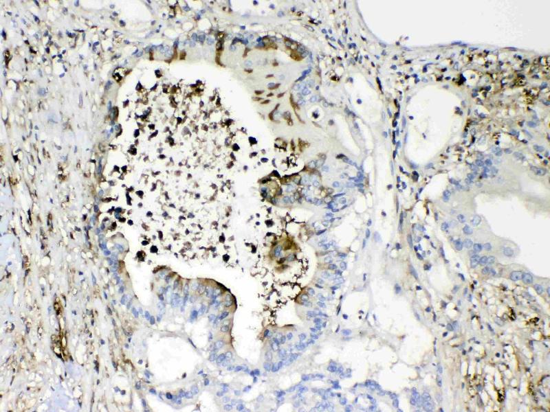
TMEM107 Antikörper (N-Term)

Dieser Kaninchen Polyklonal Antikörper detektiert spezifisch TMEM107 in WB, IHC und FACS. Es zeigt Reaktivität gegenüber Proben von Human.
Produktnummer ABIN5518881
500,50 €
Zzgl. Versandkosten 20,00 € und MwSt
100 μg
Lieferung nach: Deutschland
Lieferung in 8 bis 12 Werktagen

Kurzübersicht für TMEM107 Antikörper (N-Term) (ABIN5518881)

Target

TMEM107 (Transmembrane Protein 107 (TMEM107))

Reaktivität

  • 13
  • 2
  • 2
  • 2
  • 2
  • 2
  • 1
Human

Wirt

  • 13
Kaninchen

Klonalität

  • 13
Polyklonal

Konjugat

  • 6
  • 1
  • 1
  • 1
  • 1
  • 1
  • 1
  • 1
Dieser TMEM107 Antikörper ist unkonjugiert

Applikation

  • 5
  • 3
  • 3
  • 2
Western Blotting (WB), Immunohistochemistry (IHC), Flow Cytometry (FACS)
  • Bindungsspezifität

    • 2
    • 2
    • 1
    • 1
    AA 22-57, N-Term

    Verwendungszweck

    Anti-TMEM107 Antibody

    Sequenz

    VITLFWSRDS NIQACLPLTF TPEEYDKQDI QLVAAL

    Kreuzreaktivität (Details)

    No cross-reactivity with other proteins.

    Produktmerkmale

    Anti-TM Antibody (ABIN5518881). Tested in Flow Cytometry, IHC, WB applications. This antibody reacts with Human. This is a premium antibody that guarantees superior quality, high affinity, and strong signals with minimal background in Western blot applications.

    Aufreinigung

    Immunogen affinity purified.

    Immunogen

    A synthetic peptide corresponding to a sequence at the N-terminus of human TMEM107, different from the related mouse and rat sequences by four amino acids.

    Isotyp

    IgG
  • Applikationshinweise

    Western blot, 0.1-0.5 μg/mL, Human
    Immunohistochemistry (Paraffin-embedded Section), 0.5-1 μg/mL, Human
    Flow Cytometry (Fixed), 1-3 μg/1x106 cells, Human

    Kommentare

    Antibody can be supported by chemiluminescence kit ABIN921124 in WB, supported by ABIN921231 in IHC(P).

    Beschränkungen

    Nur für Forschungszwecke einsetzbar
  • Format

    Lyophilized

    Rekonstitution

    Add 0.2 mL of distilled water will yield a concentration of 500 μg/mL.

    Konzentration

    500 μg/mL

    Buffer

    Each vial contains 5 mg BSA, 0.9 mg NaCl, 0.2 mg Na2HPO4, 0.05 mg Sodium azide.

    Konservierungsmittel

    Sodium azide

    Vorsichtsmaßnahmen

    This product contains Sodium azide: a POISONOUS AND HAZARDOUS SUBSTANCE which should be handled by trained staff only.

    Lagerung

    4 °C,-20 °C

    Informationen zur Lagerung

    Store at -20°C for one year from date of receipt. After reconstitution, at 4°C for one month.
    It can also be aliquotted and stored frozen at -20°C for six months. Avoid repeated freeze-thaw cycles.
  • Target

    TMEM107 (Transmembrane Protein 107 (TMEM107))

    Andere Bezeichnung

    TMEM107

    Hintergrund

    Synonyms: Transmembrane protein 107,TMEM107,DC20, UNQ638/PRO1268,

    Tissue Specificity: Ubiquitous. .

    Background: Cilia are dynamic signaling organelles essential for developmental patterning, including left-right specification, skeletal formation, neural development, and organogenesis. TMEM107 is predicted to be critical for cilia formation and signaling in a subset of embryonic tissues. Based on an alignment of theTMEM107 sequence with the genomic sequence (GRCh38), the TMEM107 gene was mapped to chromosome 17p13.1.

    Molekulargewicht

    22 kDa

    Gen-ID

    84314
Sie sind hier:
Chat with us!