Telefon:
+49 (0)241 95 163 153
Fax:
+49 (0)241 95 163 155
E-Mail:
orders@antikoerper-online.de

UMPS Antikörper (AA 205-480)

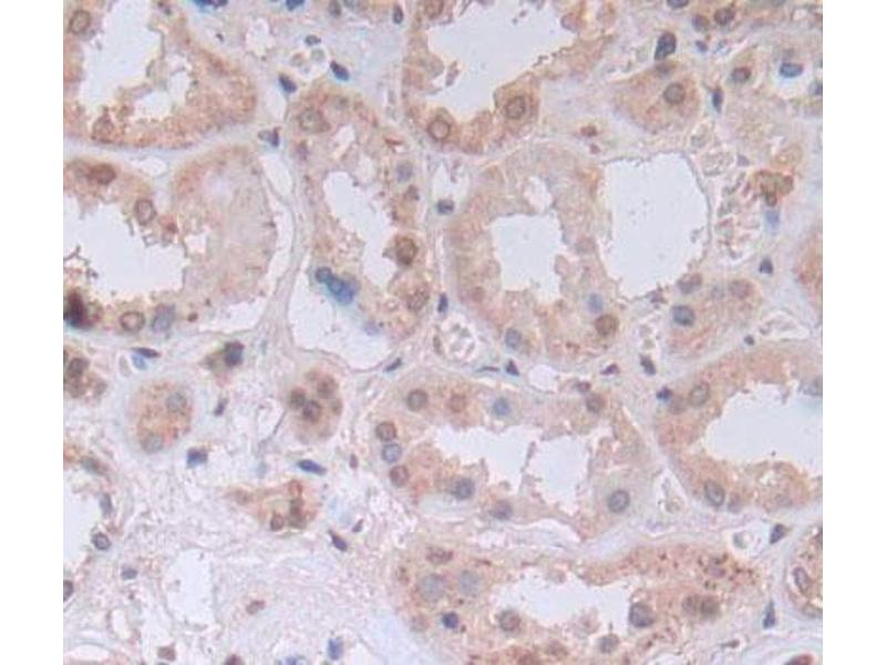
Dieser Kaninchen Polyklonal Antikörper detektiert spezifisch UMPS in WB, IHC, IP und ICC. Es zeigt Reaktivität gegenüber Proben von Human.
Produktnummer ABIN5014508
245,00 €
Zzgl. Versandkosten 20,00 € und MwSt
100 μL
Lieferung nach: Deutschland
Lieferung in 13 bis 17 Werktagen

Kurzübersicht für UMPS Antikörper (AA 205-480) (ABIN5014508)

Target

Alle UMPS Antikörper anzeigen
UMPS (Uridine Monophosphate Synthetase (UMPS))

Reaktivität

  • 58
  • 21
  • 15
  • 15
  • 14
  • 3
  • 2
  • 2
  • 2
  • 1
  • 1
  • 1
  • 1
Human

Wirt

  • 56
  • 4
Kaninchen

Klonalität

  • 59
  • 1
Polyklonal

Konjugat

  • 29
  • 3
  • 3
  • 2
  • 2
  • 2
  • 2
  • 2
  • 2
  • 2
  • 1
  • 1
  • 1
  • 1
  • 1
  • 1
  • 1
  • 1
  • 1
  • 1
  • 1
Dieser UMPS Antikörper ist unkonjugiert

Applikation

  • 38
  • 13
  • 13
  • 13
  • 10
  • 8
  • 7
  • 5
  • 3
  • 3
  • 1
Western Blotting (WB), Immunohistochemistry (IHC), Immunoprecipitation (IP), Immunocytochemistry (ICC)
  • Bindungsspezifität

    • 15
    • 5
    • 4
    • 3
    • 2
    • 2
    • 2
    • 1
    • 1
    • 1
    • 1
    • 1
    • 1
    AA 205-480

    Verwendungszweck

    Polyclonal Antibody to Uridine Monophosphate Synthetase (UMPS)

    Spezifität

    The antibody is a rabbit polyclonal antibody raised against UMPS. It has been selected for its ability to recognize UMPS in immunohistochemical staining and western blotting.

    Kreuzreaktivität

    Maus, Schwein, Ratte

    Aufreinigung

    Antigen-specific affinity chromatography followed by Protein A affinity chromatography

    Immunogen

    RPC593Hu01Recombinant Uridine Monophosphate Synthetase (UMPS)

    Isotyp

    IgG
  • Applikationshinweise

    Western blotting: 0.2-2 μg/mL,1:250-2500 Immunohistochemistry: 5-20 μg/mL,1:25-100 Immunocytochemistry: 5-20 μg/mL,1:25-100 Optimal working dilutions must be determined by end user.

    Kommentare

    The thermal stability is described by the loss rate. The loss rate was determined by accelerated thermal degradation test, that is, incubate the protein at 37°C for 48h, and no obvious degradation and precipitation were observed. The loss rate is less than 5% within the expiration date under appropriate storage condition.

    Beschränkungen

    Nur für Forschungszwecke einsetzbar
  • Format

    Liquid

    Konzentration

    500 μg/mL

    Buffer

    PBS, pH 7.4, containing 0.01 % SKL, 1 mM DTT, 5 % Trehalose and Proclin300.

    Konservierungsmittel

    Dithiothreitol (DTT), ProClin

    Lagerung

    4 °C,-20 °C

    Informationen zur Lagerung

    Store at 4°C for frequent use. Stored at -20°C in a manual defrost freezer for two year without detectable loss of activity. Avoid repeated freeze-thaw cycles.
  • Target

    UMPS (Uridine Monophosphate Synthetase (UMPS))

    Andere Bezeichnung

    UMPS

    Hintergrund

    OPRT, Orotate Phosphoribosyl Transferase, Orotidine-5'-Decarboxylase, Orotate phosphoribosyltransferase, Orotidine 5'-phosphate decarboxylase

    Pathways

    Ribonucleoside Biosynthetic Process
Sie sind hier:
Chat with us!