Telefon:
+49 (0)241 95 163 153
Fax:
+49 (0)241 95 163 155
E-Mail:
orders@antikoerper-online.de

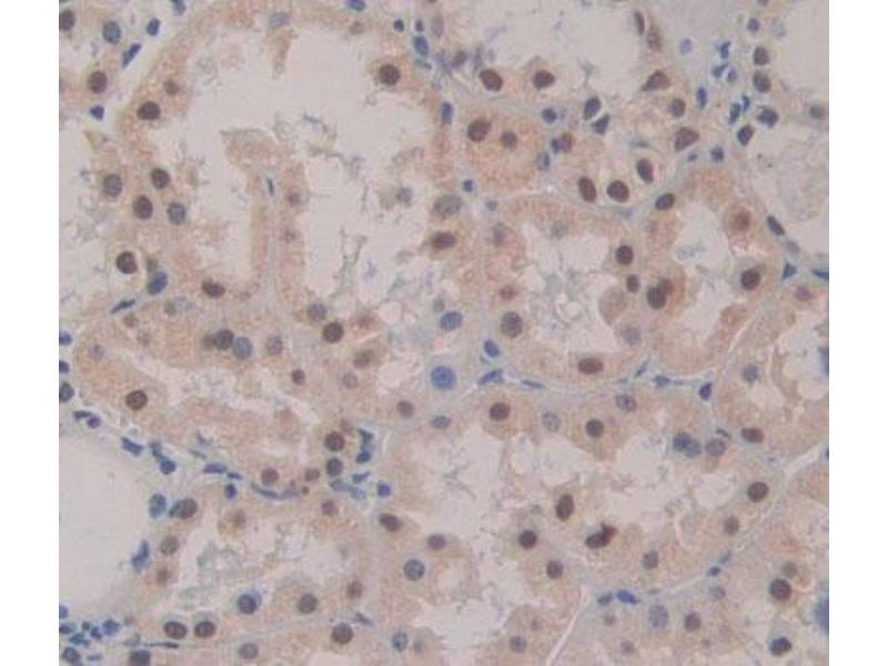
POLA1 Antikörper (AA 1240-1462)

Dieser Kaninchen Polyklonal Antikörper detektiert spezifisch POLA1 in WB, IP, IHC und ICC. Es zeigt Reaktivität gegenüber Proben von Human.
Produktnummer ABIN5014136
245,00 €
Zzgl. Versandkosten 20,00 € und MwSt
100 μL
Lieferung nach: Deutschland
Lieferung in 13 bis 17 Werktagen

Kurzübersicht für POLA1 Antikörper (AA 1240-1462) (ABIN5014136)

Target

Alle POLA1 Antikörper anzeigen
POLA1 (DNA Polymerase alpha (POLA1))

Reaktivität

  • 35
  • 14
  • 11
  • 9
  • 2
  • 2
  • 2
  • 2
  • 1
  • 1
Human

Wirt

  • 44
  • 5
Kaninchen

Klonalität

  • 45
  • 4
Polyklonal

Konjugat

  • 25
  • 3
  • 3
  • 3
  • 3
  • 3
  • 3
  • 3
  • 2
  • 1
Dieser POLA1 Antikörper ist unkonjugiert

Applikation

  • 23
  • 14
  • 8
  • 8
  • 6
  • 4
  • 4
  • 3
  • 1
  • 1
  • 1
  • 1
Western Blotting (WB), Immunoprecipitation (IP), Immunohistochemistry (IHC), Immunocytochemistry (ICC)
  • Bindungsspezifität

    • 5
    • 4
    • 2
    • 2
    • 2
    • 1
    • 1
    • 1
    • 1
    • 1
    • 1
    • 1
    • 1
    • 1
    AA 1240-1462

    Verwendungszweck

    Polyclonal Antibody to Polymerase DNA Directed Alpha 1 (POLa1)

    Spezifität

    The antibody is a rabbit polyclonal antibody raised against POLa1. It has been selected for its ability to recognize POLa1 in immunohistochemical staining and western blotting.

    Kreuzreaktivität

    Maus, Ratte

    Aufreinigung

    Antigen-specific affinity chromatography followed by Protein A affinity chromatography

    Immunogen

    RPC713Hu01Recombinant Polymerase DNA Directed Alpha 1 (POLa1)

    Isotyp

    IgG
  • Applikationshinweise

    Western blotting: 0.5-2 μg/mL,Immunohistochemistry: 5-20 μg/mL,Immunocytochemistry: 5-20 μg/mL,Optimal working dilutions must be determined by end user.

    Kommentare

    The thermal stability is described by the loss rate. The loss rate was determined by accelerated thermal degradation test, that is, incubate the protein at 37°C for 48h, and no obvious degradation and precipitation were observed. The loss rate is less than 5% within the expiration date under appropriate storage condition.

    Beschränkungen

    Nur für Forschungszwecke einsetzbar
  • Format

    Liquid

    Konzentration

    1 mg/mL

    Buffer

    PBS, pH 7.4, containing 0.02 % Sodium azide, 50 % glycerol.

    Konservierungsmittel

    Sodium azide

    Lagerung

    4 °C,-20 °C

    Informationen zur Lagerung

    Store at 4°C for frequent use. Stored at -20°C in a manual defrost freezer for two year without detectable loss of activity. Avoid repeated freeze-thaw cycles.
  • Target

    POLA1 (DNA Polymerase alpha (POLA1))

    Andere Bezeichnung

    POLa1

    Hintergrund

    POLA, p180, DNA polymerase alpha catalytic subunit p180

    Pathways

    SARS-CoV-2 Protein Interaktom
Sie sind hier:
Chat with us!