Telefon:
+49 (0)241 95 163 153
Fax:
+49 (0)241 95 163 155
E-Mail:
orders@antikoerper-online.de

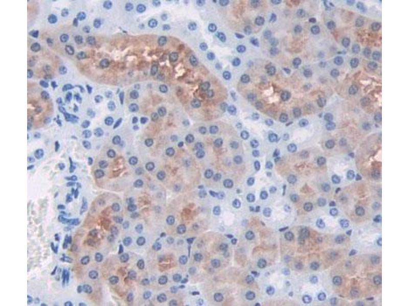
FARS2 Antikörper (AA 1-451)

Dieser Kaninchen Polyklonal Antikörper detektiert spezifisch FARS2 in WB, IHC, IP und ICC. Es zeigt Reaktivität gegenüber Proben von Maus.
Produktnummer ABIN5014085
252,00 €
Zzgl. Versandkosten 20,00 € und MwSt
100 μL
Lieferung nach: Deutschland
Lieferung in 13 bis 17 Werktagen

Kurzübersicht für FARS2 Antikörper (AA 1-451) (ABIN5014085)

Target

Alle FARS2 Antikörper anzeigen
FARS2 (Phenylalanine-tRNA Synthetase 2 (Mitochondrial) (FARS2))

Reaktivität

  • 17
  • 7
  • 6
  • 2
  • 2
  • 1
  • 1
  • 1
  • 1
Maus

Wirt

  • 17
  • 3
Kaninchen

Klonalität

  • 18
  • 1
Polyklonal

Konjugat

  • 20
Dieser FARS2 Antikörper ist unkonjugiert

Applikation

  • 19
  • 10
  • 7
  • 5
  • 3
  • 3
  • 1
Western Blotting (WB), Immunohistochemistry (IHC), Immunoprecipitation (IP), Immunocytochemistry (ICC)
  • Bindungsspezifität

    • 5
    • 2
    • 1
    • 1
    • 1
    • 1
    • 1
    • 1
    AA 1-451

    Verwendungszweck

    Polyclonal Antibody to Phenylalanyl tRNA Synthetase 2, Mitochondrial (FARS2)

    Spezifität

    The antibody is a rabbit polyclonal antibody raised against FARS2. It has been selected for its ability to recognize FARS2 in immunohistochemical staining and western blotting.

    Kreuzreaktivität

    Human, Ratte

    Aufreinigung

    Antigen-specific affinity chromatography followed by Protein A affinity chromatography

    Immunogen

    FARS2 (Met1-Phe451)

    Isotyp

    IgG
  • Applikationshinweise

    Western blotting: 0.2-2 μg/mL,1:250-2500 Immunohistochemistry: 5-20 μg/mL,1:25-100 Immunocytochemistry: 5-20 μg/mL,1:25-100 Optimal working dilutions must be determined by end user.

    Kommentare

    The thermal stability is described by the loss rate. The loss rate was determined by accelerated thermal degradation test, that is, incubate the protein at 37°C for 48h, and no obvious degradation and precipitation were observed. The loss rate is less than 5% within the expiration date under appropriate storage condition.

    Beschränkungen

    Nur für Forschungszwecke einsetzbar
  • Format

    Liquid

    Konzentration

    500 μg/mL

    Buffer

    PBS, pH 7.4, containing 0.01 % SKL, 1 mM DTT, 5 % Trehalose and Proclin300.

    Konservierungsmittel

    Dithiothreitol (DTT), ProClin

    Lagerung

    4 °C,-20 °C

    Informationen zur Lagerung

    Store at 4°C for frequent use. Stored at -20°C in a manual defrost freezer for two year without detectable loss of activity. Avoid repeated freeze-thaw cycles.
  • Target

    FARS2 (Phenylalanine-tRNA Synthetase 2 (Mitochondrial) (FARS2))

    Andere Bezeichnung

    FARS2

    Hintergrund

    FARSL, FRS, HSPC173, PheH, PheRS, FARS1, Phenylalanine-tRNA Synthetase 1, Phenylalanine tRNA Ligase 2
Sie sind hier:
Chat with us!