Telefon:
+49 (0)241 95 163 153
Fax:
+49 (0)241 95 163 155
E-Mail:
orders@antikoerper-online.de

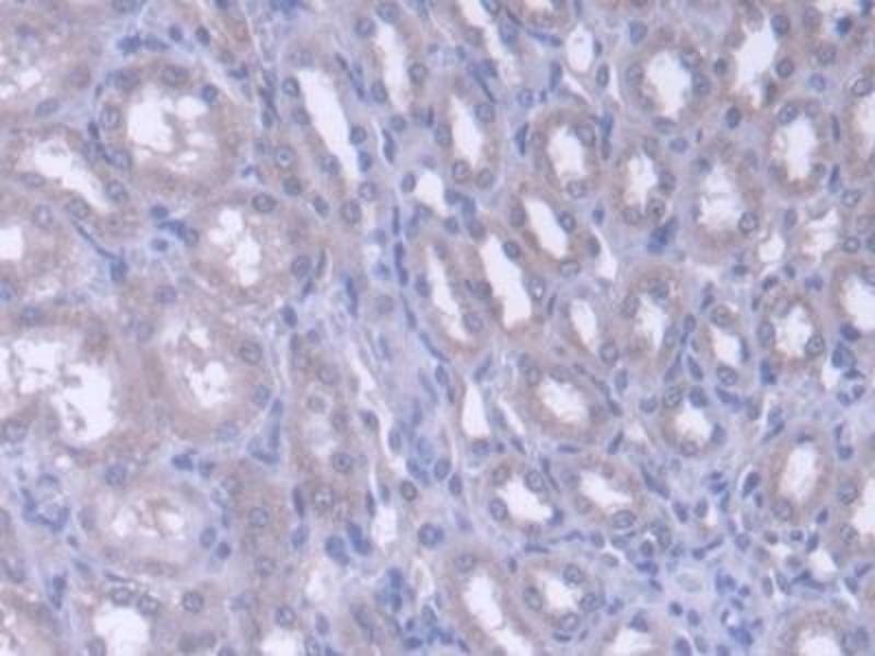
FARS2 Antikörper (AA 1-472)

Der Kaninchen Polyklonal anti-FARS2 Antikörper (ABIN5014084) detektiert spezifisch FARS2 in WB, IHC, ICC und IF. Dieser Antikörper reagiert spezifisch mit Proben aus Ratte.
Produktnummer ABIN5014084
266,00 €
Zzgl. Versandkosten 20,00 € und MwSt
100 μL
Lieferung nach: Deutschland
Lieferung in 13 bis 17 Werktagen

Kurzübersicht für FARS2 Antikörper (AA 1-472) (ABIN5014084)

Target

Alle FARS2 Antikörper anzeigen
FARS2 (Phenylalanine-tRNA Synthetase 2 (Mitochondrial) (FARS2))

Reaktivität

  • 17
  • 7
  • 6
  • 2
  • 2
  • 1
  • 1
  • 1
  • 1
Ratte

Wirt

  • 17
  • 3
Kaninchen

Klonalität

  • 18
  • 1
Polyklonal

Konjugat

  • 20
Dieser FARS2 Antikörper ist unkonjugiert

Applikation

  • 19
  • 10
  • 7
  • 5
  • 4
  • 2
  • 1
Western Blotting (WB), Immunohistochemistry (IHC), Immunocytochemistry (ICC), Immunofluorescence (IF)
  • Bindungsspezifität

    • 6
    • 2
    • 1
    • 1
    • 1
    • 1
    • 1
    AA 1-472

    Verwendungszweck

    Polyclonal Antibody to Phenylalanyl tRNA Synthetase 2, Mitochondrial (FARS2)

    Spezifität

    The antibody is a rabbit polyclonal antibody raised against FARS2. It has been selected for its ability to recognize FARS2 in immunohistochemical staining and western blotting.

    Kreuzreaktivität

    Human

    Aufreinigung

    Antigen-specific affinity chromatography followed by Protein A affinity chromatography

    Immunogen

    Recombinant Phenylalanyl tRNA Synthetase 2, Mitochondrial (FARS2)

    Isotyp

    IgG
  • Applikationshinweise

    Western blotting: 0.01-3 μg/mL,Immunohistochemistry: 5-20 μg/mL,Immunofluorescence:5-20 μg/mL,Optimal working dilutions must be determined by end user.

    Kommentare

    The thermal stability is described by the loss rate. The loss rate was determined by accelerated thermal degradation test, that is, incubate the protein at 37°C for 48h, and no obvious degradation and precipitation were observed. The loss rate is less than 5% within the expiration date under appropriate storage condition.

    Beschränkungen

    Nur für Forschungszwecke einsetzbar
  • Format

    Liquid

    Konzentration

    0.5 mg/mL

    Buffer

    0.01M PBS, pH 7.4, containing 0.05 % Proclin-300, 50 % glycerol.

    Konservierungsmittel

    ProClin

    Lagerung

    4 °C,-20 °C

    Informationen zur Lagerung

    Store at 4°C for frequent use. Stored at -20°C in a manual defrost freezer for two year without detectable loss of activity. Avoid repeated freeze-thaw cycles.

    Haltbarkeit

    24 months
  • Target

    FARS2 (Phenylalanine-tRNA Synthetase 2 (Mitochondrial) (FARS2))

    Andere Bezeichnung

    FARS2

    Hintergrund

    FARSL, FRS, HSPC173, PheH, PheRS, FARS1, Phenylalanine-tRNA Synthetase 1, Phenylalanine tRNA Ligase 2
Sie sind hier:
Chat with us!