Telefon:
+49 (0)241 95 163 153
Fax:
+49 (0)241 95 163 155
E-Mail:
orders@antikoerper-online.de

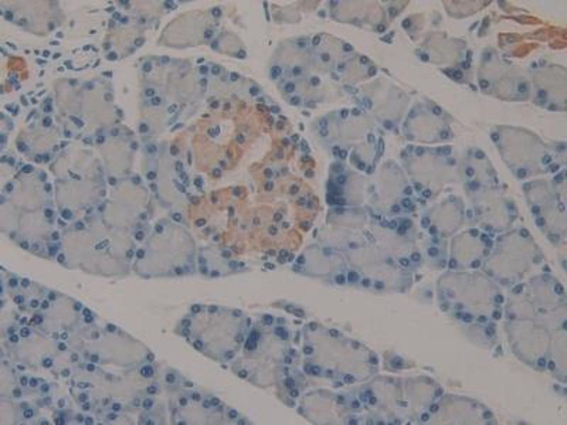
IFNA2 Antikörper (AA 24-192)

Der Kaninchen Polyklonal anti-IFNA2 Antikörper (ABIN5013763) detektiert spezifisch IFNA2 in WB, IHC, IP und ICC. Dieser Antikörper reagiert spezifisch mit Proben aus Ratte.
Produktnummer ABIN5013763
239,00 €
Zzgl. Versandkosten 20,00 € und MwSt
100 μL
Lieferung nach: Deutschland
Lieferung in 13 bis 17 Werktagen

Kurzübersicht für IFNA2 Antikörper (AA 24-192) (ABIN5013763)

Target

Alle IFNA2 Antikörper anzeigen
IFNA2 (Interferon, alpha 2 (IFNA2))

Reaktivität

  • 83
  • 5
  • 2
  • 1
Ratte

Wirt

  • 48
  • 37
  • 4
Kaninchen

Klonalität

  • 46
  • 39
  • 2
Polyklonal

Konjugat

  • 39
  • 10
  • 4
  • 3
  • 2
  • 2
  • 2
  • 2
  • 2
  • 2
  • 1
  • 1
  • 1
  • 1
  • 1
  • 1
  • 1
  • 1
  • 1
  • 1
  • 1
  • 1
  • 1
  • 1
  • 1
  • 1
  • 1
  • 1
  • 1
Dieser IFNA2 Antikörper ist unkonjugiert

Applikation

  • 45
  • 36
  • 16
  • 16
  • 15
  • 8
  • 7
  • 7
  • 7
  • 5
  • 4
  • 4
  • 3
  • 3
  • 2
  • 2
  • 1
  • 1
  • 1
  • 1
  • 1
  • 1
Western Blotting (WB), Immunohistochemistry (IHC), Immunoprecipitation (IP), Immunocytochemistry (ICC)
  • Bindungsspezifität

    • 18
    • 2
    • 2
    • 1
    • 1
    AA 24-192

    Verwendungszweck

    Polyclonal Antibody to Interferon Alpha 2 (IFNa2)

    Spezifität

    The antibody is a rabbit polyclonal antibody raised against IFNa2. It has been selected for its ability to recognize IFNa2 in immunohistochemical staining and western blotting.

    Aufreinigung

    Antigen-specific affinity chromatography followed by Protein A affinity chromatography

    Immunogen

    RPA179Ra01Recombinant Interferon Alpha 2 (IFNa2)

    Isotyp

    IgG
  • Applikationshinweise

    Western blotting: 0.2-2 μg/mL,1:250-2500 Immunohistochemistry: 5-20 μg/mL,1:25-100 Immunocytochemistry: 5-20 μg/mL,1:25-100 Optimal working dilutions must be determined by end user.

    Kommentare

    The thermal stability is described by the loss rate. The loss rate was determined by accelerated thermal degradation test, that is, incubate the protein at 37°C for 48h, and no obvious degradation and precipitation were observed. The loss rate is less than 5% within the expiration date under appropriate storage condition.

    Beschränkungen

    Nur für Forschungszwecke einsetzbar
  • Format

    Liquid

    Konzentration

    0.5 mg/mL

    Buffer

    PBS, pH 7.4, containing 0.02 % Sodium azide, 50 % glycerol.

    Konservierungsmittel

    ProClin, Sodium azide

    Lagerung

    4 °C,-20 °C

    Informationen zur Lagerung

    Store at 4°C for frequent use. Stored at -20°C in a manual defrost freezer for two year without detectable loss of activity. Avoid repeated freeze-thaw cycles.
  • Target

    IFNA2 (Interferon, alpha 2 (IFNA2))

    Andere Bezeichnung

    IFNa2

    Hintergrund

    IFNA2A, IFNA2B, IFNA2C, LeIF A, Alpha-2a Interferon, Interferon Alpha 2b, Interferon Alpha A

    Pathways

    JAK-STAT Signalweg, Regulation of Leukocyte Mediated Immunity, Production of Molecular Mediator of Immune Response, Hepatitis C
Sie sind hier:
Chat with us!