Telefon:
+49 (0)241 95 163 153
Fax:
+49 (0)241 95 163 155
E-Mail:
orders@antikoerper-online.de

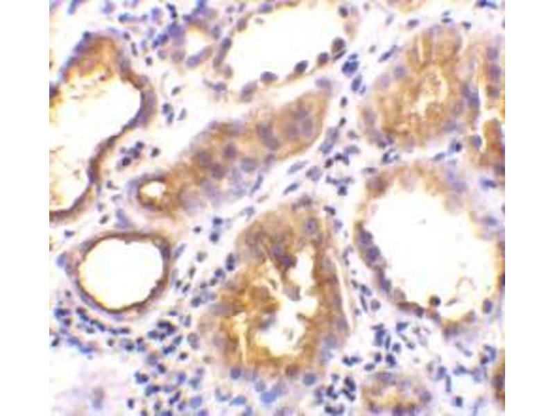
ACE2 Antikörper (Intermediate Domain 1)

Dieser Kaninchen Polyklonal Antikörper detektiert spezifisch ACE2 in WB, IHC (p) und EIA. Es zeigt Reaktivität gegenüber Proben von Human und Maus.
Produktnummer ABIN499189
852,31 €
Zzgl. Versandkosten 20,00 € und MwSt
0.1 mg
Lieferung nach: Deutschland
Lieferung in 16 Werktagen

Kurzübersicht für ACE2 Antikörper (Intermediate Domain 1) (ABIN499189)

Target

Alle ACE2 Antikörper anzeigen
ACE2 (Angiotensin I Converting Enzyme 2 (ACE2))

Reaktivität

  • 167
  • 64
  • 58
  • 5
  • 4
  • 2
  • 1
  • 1
  • 1
  • 1
Human, Maus

Wirt

  • 142
  • 36
  • 6
  • 2
  • 1
Kaninchen

Klonalität

  • 118
  • 69
Polyklonal

Konjugat

  • 97
  • 18
  • 12
  • 8
  • 6
  • 5
  • 3
  • 3
  • 3
  • 3
  • 3
  • 3
  • 3
  • 3
  • 1
  • 1
  • 1
  • 1
  • 1
  • 1
  • 1
  • 1
  • 1
  • 1
  • 1
  • 1
  • 1
  • 1
  • 1
  • 1
  • 1
Dieser ACE2 Antikörper ist unkonjugiert

Applikation

  • 140
  • 73
  • 69
  • 43
  • 29
  • 27
  • 25
  • 20
  • 18
  • 17
  • 10
  • 5
  • 3
  • 2
  • 2
  • 1
  • 1
  • 1
  • 1
  • 1
  • 1
  • 1
Western Blotting (WB), Immunohistochemistry (Paraffin-embedded Sections) (IHC (p)), Enzyme Immunoassay (EIA)
  • Bindungsspezifität

    • 16
    • 15
    • 12
    • 8
    • 8
    • 8
    • 6
    • 5
    • 5
    • 4
    • 4
    • 3
    • 3
    • 3
    • 2
    • 2
    • 2
    • 2
    • 1
    • 1
    • 1
    • 1
    • 1
    • 1
    • 1
    • 1
    • 1
    • 1
    • 1
    • 1
    • 1
    • 1
    • 1
    • 1
    • 1
    • 1
    • 1
    • 1
    • 1
    • 1
    • 1
    • 1
    • 1
    Intermediate Domain 1

    Spezifität

    ACE2 antibody was raised against a synthetic peptide corresponding to amino acids near the center of human ACE2. Anti-ACE2 has no cross response to ACE1.

    Aufreinigung

    Affinity chromatography purified via peptide column

    Immunogen

    Human ACE2 (Intermediate Domain 1) Peptide

    Isotyp

    IgG
  • Applikationshinweise

    ELISA. Western Blot: ACE2 antibody can be used for the detection of ACE2 at 0.5 to 2 μg/mL. A 90 kDa band can be detected. Immunohistochemistry.
    Other applications not tested.
    Optimal dilutions are dependent on conditions and should be determined by the user.

    Beschränkungen

    Nur für Forschungszwecke einsetzbar
  • Buffer

    PBS containing 0.02 % sodium azide.

    Konservierungsmittel

    Sodium azide

    Vorsichtsmaßnahmen

    This product contains sodium azide: a POISONOUS AND HAZARDOUS SUBSTANCE which should be handled by trained staff only.

    Lagerung

    4 °C

    Informationen zur Lagerung

    Store the antibody undiluted at 2-8 °C.
  • Target

    ACE2 (Angiotensin I Converting Enzyme 2 (ACE2))

    Andere Bezeichnung

    ACE2

    Hintergrund

    Angiotensin-converting enzyme 2 (ACE2) plays a central role in vascular, renal, and myocardial physiology (1-2). In contrast to its homolog ACE, ACE2 expression is restricted to heart, kidney, and testis. Recently. ACE2 has also been shown to be a functional receptor of the SARS coronavirus (3). The normal function of ACE2 is to convert the inactive vasoconstrictor angiotensin I (AngI) to Ang1-9 and the active form AngII to Ang1-7, unlike ACE, which converts AngI to AngII. While the role of these vasoactive peptides is not well understood, lack of ACE2 expression in ace2-/ace2- mice leads to severely reduced cardiac contractility, indicating its importance in regulating heart function (4).Synonyms: ACE-related carboxypeptidase, Angiotensin-converting enzyme 2, Angiotensin-converting enzyme homolog

    Gen-ID

    59272

    NCBI Accession

    NP_068576

    UniProt

    Q9BYF1

    Pathways

    ACE Inhibitor Pathway, Peptide Hormone Metabolism, Regulation of Systemic Arterial Blood Pressure by Hormones, Feeding Behaviour
Sie sind hier:
Chat with us!