Telefon:
+49 (0)241 95 163 153
Fax:
+49 (0)241 95 163 155
E-Mail:
orders@antikoerper-online.de

HNRNPC Antikörper (N-Term)

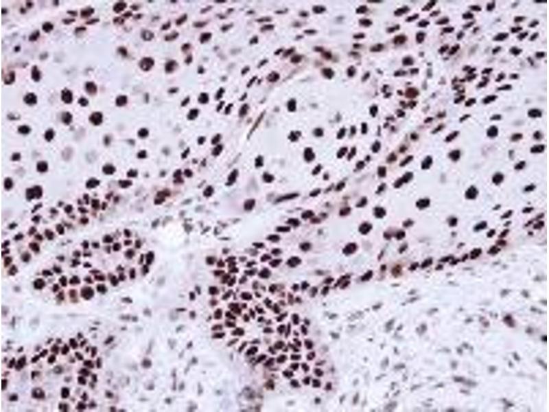
Der Kaninchen Polyklonal anti-HNRNPC Antikörper wird verwendet zum Nachweis von HNRNPC in Proben von Human, Ratte, Maus, Kaninchen und Rind (Kuh). Er wurde validiert für WB, IF und IHC (p).
Produktnummer ABIN497942
895,38 €
Zzgl. Versandkosten 20,00 € und MwSt
0.1 mL
Lieferung nach: Deutschland
Lieferung in 16 Werktagen

Kurzübersicht für HNRNPC Antikörper (N-Term) (ABIN497942)

Target

Alle HNRNPC Antikörper anzeigen
HNRNPC (Heterogeneous Nuclear Ribonucleoprotein C (C1/C2) (HNRNPC))

Reaktivität

  • 72
  • 60
  • 46
  • 9
  • 8
  • 6
  • 6
  • 6
  • 6
  • 4
  • 3
  • 3
  • 2
  • 2
  • 1
  • 1
Human, Ratte, Maus, Kaninchen, Rind (Kuh)

Wirt

  • 85
  • 2
Kaninchen

Klonalität

  • 64
  • 23
Polyklonal

Konjugat

  • 44
  • 5
  • 3
  • 3
  • 3
  • 3
  • 3
  • 3
  • 2
  • 2
  • 2
  • 1
  • 1
  • 1
  • 1
  • 1
  • 1
  • 1
  • 1
  • 1
  • 1
  • 1
  • 1
  • 1
  • 1
Dieser HNRNPC Antikörper ist unkonjugiert

Applikation

  • 56
  • 39
  • 27
  • 26
  • 18
  • 15
  • 14
  • 14
  • 13
  • 13
  • 3
  • 1
  • 1
Western Blotting (WB), Immunofluorescence (IF), Immunohistochemistry (Paraffin-embedded Sections) (IHC (p))
  • Bindungsspezifität

    • 15
    • 11
    • 8
    • 7
    • 1
    • 1
    • 1
    • 1
    • 1
    • 1
    • 1
    • 1
    • 1
    • 1
    • 1
    • 1
    • 1
    • 1
    AA 1-142, N-Term

    Spezifität

    Recognizes hnRNP-C1/C2/HNRNPC (1-152).
    Cellular Localization: Nucleus.

    Kreuzreaktivität (Details)

    Species reactivity (expected):Mouse (100 %), Rat (100 %), Bovine (100 %) and Rabbit (92 %)Species reactivity (tested):Human.

    Aufreinigung

    Antigen-Affinity Chromatography.

    Immunogen

    Recombinant protein fragment contain a sequence corresponding to a region within amino acids 1 and 142 of hnRNP-C1/C2.
  • Applikationshinweise

    Western blotting: 1/500-1/3000. Immunofluorescence: 1/100-1/200. Immunohistochemistry on Paraffin Sections: 1/100-1/250. Positive Controls: 293T, A431, HeLa, HepG2, Molt-4, Raji.
    Other applications not tested.
    Optimal dilutions are dependent on conditions and should be determined by the user.

    Beschränkungen

    Nur für Forschungszwecke einsetzbar
  • Format

    Liquid

    Konzentration

    0.79 mg/mL

    Buffer

    0.1 M Tris, 0.1 M Glycine, 20 % Glycerol ( pH 7) containing 0.01 % Thimerosal as preservative.

    Konservierungsmittel

    Thimerosal (Merthiolate)

    Vorsichtsmaßnahmen

    This product contains thimerosal (merthiolate): a POISONOUS AND HAZARDOUS SUBSTANCE which should be handled by trained staff only.

    Handhabung

    Avoid repeated freezing and thawing.

    Lagerung

    -20 °C

    Informationen zur Lagerung

    Store the antibody undiluted (in aliquots) at -20 °C.
  • Target

    HNRNPC (Heterogeneous Nuclear Ribonucleoprotein C (C1/C2) (HNRNPC))

    Andere Bezeichnung

    HnRNP-C1/C2 / HNRNPC

    Hintergrund

    HnRNP-C1/C2 belongs to the subfamily of ubiquitously expressed heterogeneous nuclear ribonucleoproteins (hnRNPs). The hnRNPs are RNA binding proteins and they complex with heterogeneous nuclear RNA (hnRNA). These proteins are associated with pre-mRNAs in the nucleus and appear to influence pre-mRNA processing and other aspects of mRNA metabolism and transport. While all of the hnRNPs are present in the nucleus, some seem to shuttle between the nucleus and the cytoplasm. The hnRNP proteins have distinct nucleic acid binding properties. The protein encoded by this gene can act as a tetramer and is involved in the assembly of 40S hnRNP particles. Multiple transcript variants encoding at least two different isoforms have been described for this gene.Synonyms: HNRPC, Heterogeneous nuclear ribonucleoproteins C1/C2, hnRNP C1 / hnRNP C2

    Gen-ID

    3183, 9606

    UniProt

    P07910
Sie sind hier:
Chat with us!