Telefon:
+49 (0)241 95 163 153
Fax:
+49 (0)241 95 163 155
E-Mail:
orders@antikoerper-online.de

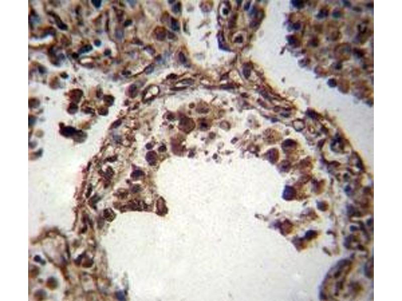
TUBA1C Antikörper (AA 414-441)

Der Kaninchen Polyklonal anti-TUBA1C Antikörper (ABIN3029334) detektiert spezifisch TUBA1C in WB, ELISA und IHC. Dieser Antikörper reagiert spezifisch mit Proben aus Human, Maus und Ratte.
Produktnummer ABIN3029334
631,13 €
Zzgl. Versandkosten 20,00 € und MwSt
Lieferung nach: Deutschland
Lieferung in 6 bis 9 Werktagen

Kurzübersicht für TUBA1C Antikörper (AA 414-441) (ABIN3029334)

Target

Alle TUBA1C Antikörper anzeigen
TUBA1C (Tubulin, alpha 1c (TUBA1C))

Reaktivität

  • 37
  • 16
  • 8
  • 2
  • 2
  • 2
  • 2
  • 2
  • 1
  • 1
  • 1
  • 1
  • 1
  • 1
  • 1
Human, Maus, Ratte

Wirt

  • 32
  • 7
Kaninchen

Klonalität

  • 32
  • 5
Polyklonal

Konjugat

  • 23
  • 3
  • 3
  • 2
  • 1
  • 1
  • 1
  • 1
  • 1
  • 1
  • 1
  • 1
Dieser TUBA1C Antikörper ist unkonjugiert

Applikation

  • 27
  • 20
  • 12
  • 3
  • 2
  • 2
  • 1
  • 1
Western Blotting (WB), ELISA, Immunohistochemistry (IHC)
  • Bindungsspezifität

    • 8
    • 7
    • 6
    • 3
    • 2
    • 1
    • 1
    AA 414-441

    Kreuzreaktivität (Details)

    Expected species reactivity: Xenopus

    Aufreinigung

    Antigen affinity purified

    Immunogen

    A portion of amino acids 414-441 from the human protein was used as the immunogen for this TUBA6 / TUBA1C antibody.

    Isotyp

    Ig Fraction
  • Applikationshinweise

    Titration of the TUBA1C antibody may be required due to differences in protocols and secondary/substrate sensitivity.\. Western blot: 1:1000,IHC (Paraffin): 1:10-1:50

    Beschränkungen

    Nur für Forschungszwecke einsetzbar
  • Format

    Liquid

    Buffer

    In 1X PBS pH 7.4 with 0.09 % sodium azide

    Konservierungsmittel

    Sodium azide

    Vorsichtsmaßnahmen

    This product contains Sodium azide: a POISONOUS AND HAZARDOUS SUBSTANCE which should be handled by trained staff only.

    Lagerung

    -20 °C

    Informationen zur Lagerung

    Aliquot the TUBA1C antibody and store frozen at -20°C or colder. Avoid repeated freeze-thaw cycles.
  • Target

    TUBA1C (Tubulin, alpha 1c (TUBA1C))

    Andere Bezeichnung

    TUBA1C (Tubulin alpha 1C)

    Hintergrund

    Tubulin is the major constituent of microtubules. It binds two moles of GTP, one at an exchangeable site on the beta chain and one at a non-exchangeable site on the alpha-chain.

    UniProt

    Q9BQE3

    Pathways

    Microtubule Dynamics, M Phase
Sie sind hier:
Chat with us!