Telefon:
+49 (0)241 95 163 153
Fax:
+49 (0)241 95 163 155
E-Mail:
orders@antikoerper-online.de

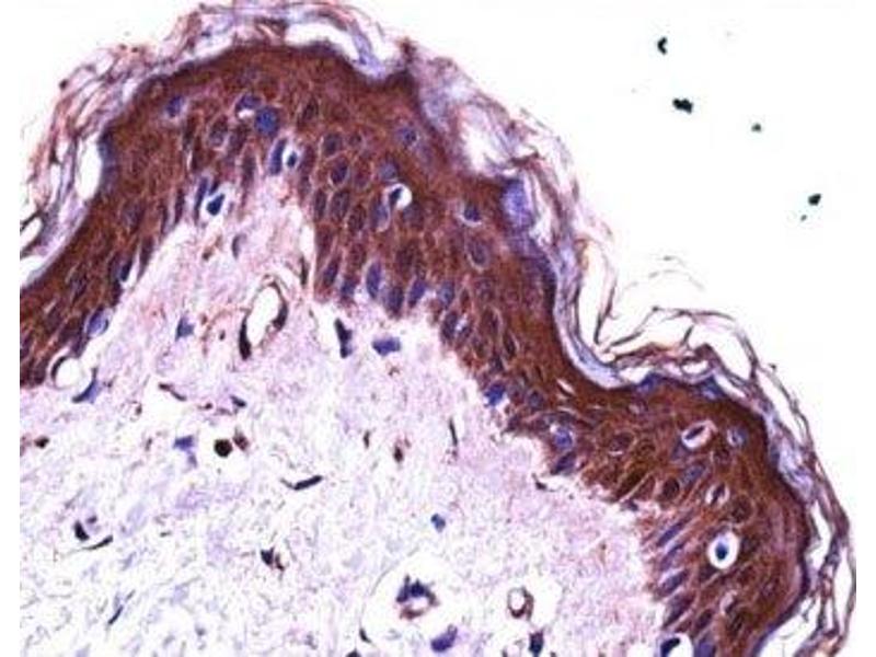
S100A7 Antikörper (AA 2-31)

Der Kaninchen Polyklonal anti-S100A7 Antikörper (ABIN3032514) detektiert spezifisch S100A7 in WB, IHC und ELISA. Dieser Antikörper reagiert spezifisch mit Proben aus Human.
Produktnummer ABIN3032514
631,13 €
Zzgl. Versandkosten 20,00 € und MwSt
Lieferung nach: Deutschland
Lieferung in 6 bis 9 Werktagen

Kurzübersicht für S100A7 Antikörper (AA 2-31) (ABIN3032514)

Target

Alle S100A7 Antikörper anzeigen
S100A7 (S100 Calcium Binding Protein A7 (S100A7))

Reaktivität

  • 55
  • 9
  • 3
  • 1
Human

Wirt

  • 44
  • 16
  • 2
Kaninchen

Klonalität

  • 49
  • 13
Polyklonal

Konjugat

  • 34
  • 8
  • 3
  • 3
  • 2
  • 1
  • 1
  • 1
  • 1
  • 1
  • 1
  • 1
  • 1
  • 1
  • 1
  • 1
  • 1
Dieser S100A7 Antikörper ist unkonjugiert

Applikation

  • 40
  • 26
  • 22
  • 15
  • 13
  • 13
  • 8
  • 8
  • 7
  • 5
  • 4
  • 3
  • 3
  • 1
Western Blotting (WB), Immunohistochemistry (IHC), ELISA
  • Bindungsspezifität

    • 16
    • 12
    • 7
    • 5
    • 2
    • 2
    • 1
    • 1
    • 1
    • 1
    • 1
    AA 2-31

    Aufreinigung

    Antigen affinity purified

    Immunogen

    A portion of amino acids 2-31 from the human protein was used as the immunogen for this S100A7 antibody.

    Isotyp

    Ig Fraction
  • Applikationshinweise

    Titration of the S100A7 antibody may be required due to differences in protocols and secondary/substrate sensitivity.\. Western blot: 1:1000,IHC (Paraffin): 1:10-1:50

    Beschränkungen

    Nur für Forschungszwecke einsetzbar
  • Format

    Liquid

    Buffer

    In 1X PBS, pH 7.4, with 0.09 % sodium azide

    Konservierungsmittel

    Sodium azide

    Vorsichtsmaßnahmen

    This product contains Sodium azide: a POISONOUS AND HAZARDOUS SUBSTANCE which should be handled by trained staff only.

    Lagerung

    -20 °C

    Informationen zur Lagerung

    Aliquot the S100A7 antibody and store frozen at -20°C or colder. Avoid repeated freeze-thaw cycles.
  • Target

    S100A7 (S100 Calcium Binding Protein A7 (S100A7))

    Andere Bezeichnung

    S100A7

    Hintergrund

    The protein encoded by this gene is a member of the S100 family of proteins containing 2 EF-hand calcium-binding motifs. S100 proteins are localized in the cytoplasm and/or nucleus of a wide range of cells, and involved in the regulation of a number of cellular processes such as cell cycle progression and differentiation. S100 genes include at least 13 members which are located as a cluster on chromosome 1q21. This protein differs from the other S100 proteins of known structure in its lack of calcium binding ability in one EF-hand at the N-terminus. This protein is markedly over-expressed in the skin lesions of psoriatic patients, but is excluded as a candidate gene for familial psoriasis susceptibility. The exact function of this protein is not known.

    UniProt

    P31151

    Pathways

    S100 Proteine
Sie sind hier:
Chat with us!