Telefon:
+49 (0)241 95 163 153
Fax:
+49 (0)241 95 163 155
E-Mail:
orders@antikoerper-online.de

S100A7 Antikörper

Der Maus Monoklonal anti-S100A7 Antikörper wird verwendet zum Nachweis von S100A7 in Proben von Human. Er wurde validiert für WB, IHC und IHC (p).
Produktnummer ABIN291761
512,07 €
Zzgl. Versandkosten 20,00 € und MwSt
50 μg
Lieferung nach: Deutschland
Lieferung in 15 bis 20 Werktagen

Kurzübersicht für S100A7 Antikörper (ABIN291761)

Target

Alle S100A7 Antikörper anzeigen
S100A7 (S100 Calcium Binding Protein A7 (S100A7))

Reaktivität

  • 55
  • 9
  • 3
  • 1
Human

Wirt

  • 45
  • 15
  • 2
Maus

Klonalität

  • 50
  • 12
Monoklonal

Konjugat

  • 34
  • 8
  • 3
  • 3
  • 2
  • 1
  • 1
  • 1
  • 1
  • 1
  • 1
  • 1
  • 1
  • 1
  • 1
  • 1
  • 1
Dieser S100A7 Antikörper ist unkonjugiert

Applikation

  • 39
  • 25
  • 23
  • 15
  • 13
  • 13
  • 8
  • 7
  • 7
  • 4
  • 4
  • 3
  • 3
  • 1
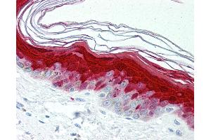
Western Blotting (WB), Immunohistochemistry (IHC), Immunohistochemistry (Paraffin-embedded Sections) (IHC (p))

Klon

47C1068
  • Spezifität

    In confluent MCF10A cells, an 11 kD band is observed.

    Aufreinigung

    Protein G purified

    Immunogen



    Type of Immunogen: Native protein
  • Applikationshinweise

    Approved: IHC, IHC-P (10 μg/mL), WB (1 μg/mL)

    Usage: Immunohistochemistry: This antibody was validated for use in immunohistochemistry on a panel of 21 formalin-fixed, paraffin-embedded (FFPE) human tissues after heat induced antigen retrieval in  pH 6.0 citrate buffer. After incubation with the primary antibody, slides were incubated with biotinylated secondary antibody, followed by alkaline phosphatase-streptavidin and chromogen. The stained slides were evaluated by a pathologist to confirm staining specificity. The optimal working concentration for this antibody was determined to be 10 μg/mL. The applications listed have been tested for the unmodified form of this product. Other forms have not been tested.

    Kommentare

    Target Species of Antibody: Human

    Beschränkungen

    Nur für Forschungszwecke einsetzbar
  • Format

    Liquid

    Konzentration

    Lot specific

    Buffer

    PBS. Filter sterilized. Sodium azide free.

    Konservierungsmittel

    Azide free

    Handhabung

    avoid freeze thaw cycles.

    Lagerung

    4 °C,-20 °C

    Informationen zur Lagerung

    Short term 4°C, long term aliquot and store at -20°C, avoid freeze-thaw cycles.
  • Target

    S100A7 (S100 Calcium Binding Protein A7 (S100A7))

    Andere Bezeichnung

    S100A7 / Psoriasin

    Hintergrund

    Name/Gene ID: S100A7

    Synonyms: S100A7, PSOR1, Psoriasin, Protein S100-A7, Psoriasin 1, S100A7c

    Gen-ID

    6278

    UniProt

    P31151

    Pathways

    S100 Proteine
Sie sind hier:
Chat with us!