Telefon:
+49 (0)241 95 163 153
Fax:
+49 (0)241 95 163 155
E-Mail:
orders@antikoerper-online.de

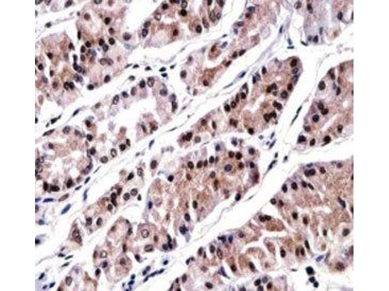
RUNX3 Antikörper (AA 168-197)

Der Kaninchen Polyklonal anti-RUNX3 Antikörper (ABIN3032505) detektiert spezifisch RUNX3 in WB, ELISA, IHC und IF. Dieser Antikörper reagiert spezifisch mit Proben aus Human.
Produktnummer ABIN3032505
631,13 €
Zzgl. Versandkosten 20,00 € und MwSt
Lieferung nach: Deutschland
Lieferung in 6 bis 9 Werktagen

Kurzübersicht für RUNX3 Antikörper (AA 168-197) (ABIN3032505)

Target

Alle RUNX3 Antikörper anzeigen
RUNX3 (Runt-Related Transcription Factor 3 (RUNX3))

Reaktivität

  • 101
  • 34
  • 24
  • 16
  • 14
  • 13
  • 2
  • 2
  • 1
Human

Wirt

  • 87
  • 16
Kaninchen

Klonalität

  • 89
  • 14
Polyklonal

Konjugat

  • 41
  • 8
  • 7
  • 5
  • 3
  • 3
  • 3
  • 3
  • 3
  • 3
  • 3
  • 3
  • 3
  • 3
  • 2
  • 2
  • 2
  • 1
  • 1
  • 1
  • 1
  • 1
  • 1
Dieser RUNX3 Antikörper ist unkonjugiert

Applikation

  • 88
  • 37
  • 34
  • 26
  • 24
  • 20
  • 14
  • 10
  • 10
  • 8
  • 6
  • 2
  • 2
  • 1
  • 1
Western Blotting (WB), ELISA, Immunohistochemistry (IHC), Immunofluorescence (IF)
  • Bindungsspezifität

    • 16
    • 16
    • 8
    • 6
    • 5
    • 4
    • 3
    • 3
    • 3
    • 3
    • 2
    • 2
    • 2
    • 2
    • 2
    • 2
    • 1
    • 1
    • 1
    • 1
    • 1
    • 1
    • 1
    • 1
    AA 168-197

    Aufreinigung

    Antigen affinity purified

    Immunogen

    A portion of amino acids 168-197 from the human protein was used as the immunogen for this RUNX3 antibody.

    Isotyp

    Ig Fraction
  • Applikationshinweise

    Titration of the RUNX3 antibody may be required due to differences in protocols and secondary/substrate sensitivity.\. Western blot: 1:1000,IHC (Paraffin): 1:10-1:50,Immunofluorescence: 1:10-1:50

    Beschränkungen

    Nur für Forschungszwecke einsetzbar
  • Format

    Liquid

    Buffer

    In 1X PBS, pH 7.4, with 0.09 % sodium azide

    Konservierungsmittel

    Sodium azide

    Vorsichtsmaßnahmen

    This product contains Sodium azide: a POISONOUS AND HAZARDOUS SUBSTANCE which should be handled by trained staff only.

    Lagerung

    -20 °C

    Informationen zur Lagerung

    Aliquot the RUNX3 antibody and store frozen at -20°C or colder. Avoid repeated freeze-thaw cycles.
  • Target

    RUNX3 (Runt-Related Transcription Factor 3 (RUNX3))

    Andere Bezeichnung

    RUNX3

    Hintergrund

    This gene encodes a member of the runt domain-containing family of transcription factors. A heterodimer of this protein and a beta subunit forms a complex that binds to the core DNA sequence 5'-PYGPYGGT-3' found in a number of enhancers and promoters, and can either activate or suppress transcription. It also interacts with other transcription factors. It functions as a tumor suppressor, and the gene is frequently deleted or transcriptionally silenced in cancer. Multiple transcript variants encoding different isoforms have been found for this gene.

    UniProt

    Q13761
Sie sind hier:
Chat with us!