Der Kaninchen Polyklonal anti-RIPK2 Antikörper (ABIN3032445) detektiert spezifisch RIPK2 in WB, ELISA und IHC.
Dieser Antikörper reagiert spezifisch mit Proben aus Human.
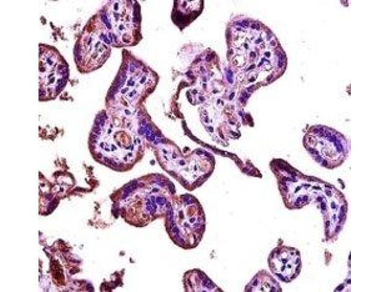
Titration of the RIPK2 antibody may be required due to differences in protocols and secondary/substrate sensitivity.\. Western blot: 1:1000,IHC (Paraffin): 1:10-1:50
Beschränkungen
Nur für Forschungszwecke einsetzbar
Format
Liquid
Buffer
In 1X PBS, pH 7.4, with 0.09 % sodium azide
Konservierungsmittel
Sodium azide
Vorsichtsmaßnahmen
This product contains Sodium azide: a POISONOUS AND HAZARDOUS SUBSTANCE which should be handled by trained staff only.
Lagerung
-20 °C
Informationen zur Lagerung
Aliquot the RIPK2 antibody and store frozen at -20°C or colder. Avoid repeated freeze-thaw cycles.
This gene encodes a member of the receptor-interacting protein (RIP) family of serine/threonine protein kinases. The encoded protein contains a C-terminal caspase activation and recruitment domain (CARD), and is a component of signaling complexes in both the innate and adaptive immune pathways. It is a potent activator of NF-kappaB and inducer of apoptosis in response to various stimuli.