Telefon:
+49 (0)241 95 163 153
Fax:
+49 (0)241 95 163 155
E-Mail:
orders@antikoerper-online.de

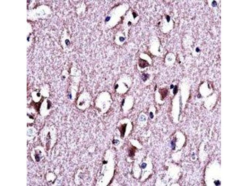
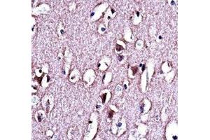
LMO2 Antikörper (AA 1-30)

Dieser Kaninchen Polyklonal Antikörper detektiert spezifisch LMO2 in WB, IHC und ELISA. Es zeigt Reaktivität gegenüber Proben von Human.
Produktnummer ABIN3031621
631,13 €
Zzgl. Versandkosten 20,00 € und MwSt
Lieferung nach: Deutschland
Lieferung in 6 bis 9 Werktagen

Kurzübersicht für LMO2 Antikörper (AA 1-30) (ABIN3031621)

Target

Alle LMO2 Antikörper anzeigen
LMO2 (LIM Domain Only 2 (Rhombotin-Like 1) (LMO2))

Reaktivität

  • 90
  • 24
  • 20
  • 6
  • 6
  • 6
  • 5
  • 5
  • 4
  • 3
  • 3
  • 3
  • 2
  • 1
  • 1
Human

Wirt

  • 59
  • 30
  • 2
  • 2
Kaninchen

Klonalität

  • 59
  • 34
Polyklonal

Konjugat

  • 51
  • 6
  • 3
  • 3
  • 3
  • 3
  • 3
  • 3
  • 3
  • 3
  • 2
  • 1
  • 1
  • 1
  • 1
  • 1
  • 1
  • 1
  • 1
  • 1
  • 1
Dieser LMO2 Antikörper ist unkonjugiert

Applikation

  • 61
  • 40
  • 35
  • 24
  • 20
  • 16
  • 11
  • 2
  • 2
  • 2
  • 2
Western Blotting (WB), Immunohistochemistry (IHC), ELISA
  • Bindungsspezifität

    • 34
    • 8
    • 6
    • 4
    • 4
    • 2
    • 2
    • 1
    • 1
    • 1
    • 1
    • 1
    • 1
    • 1
    • 1
    AA 1-30

    Kreuzreaktivität (Details)

    Expected species reactivity: Mouse

    Aufreinigung

    Antigen affinity purified

    Immunogen

    A portion of amino acids 1-30 from the human protein was used as the immunogen for this LMO2 antibody.

    Isotyp

    Ig Fraction
  • Applikationshinweise

    Titration of the LMO2 antibody may be required due to differences in protocols and secondary/substrate sensitivity.\. Western blot: 1:1000,IHC (Paraffin): 1:10-1:50

    Beschränkungen

    Nur für Forschungszwecke einsetzbar
  • Format

    Liquid

    Buffer

    In 1X PBS, pH 7.4, with 0.09 % sodium azide

    Konservierungsmittel

    Sodium azide

    Vorsichtsmaßnahmen

    This product contains Sodium azide: a POISONOUS AND HAZARDOUS SUBSTANCE which should be handled by trained staff only.

    Lagerung

    -20 °C

    Informationen zur Lagerung

    Aliquot the LMO2 antibody and store frozen at -20°C or colder. Avoid repeated freeze-thaw cycles.
  • Target

    LMO2 (LIM Domain Only 2 (Rhombotin-Like 1) (LMO2))

    Andere Bezeichnung

    LMO2

    Hintergrund

    LMO2 encodes a cysteine-rich, two LIM-domain protein that is required for yolk sac erythropoiesis. The LMO2 protein has a central and crucial role in hematopoietic development and is highly conserved. The LMO2 transcription start site is located approximately 25 kb downstream from the 11p13 T-cell translocation cluster (11p13 ttc), where a number T-cell acute lymphoblastic leukemia-specific translocations occur. Alternative splicing results in multiple transcript variants encoding different isoforms.

    UniProt

    P25791

    Pathways

    Chromatin Binding
Sie sind hier:
Chat with us!