Telefon:
+49 (0)241 95 163 153
Fax:
+49 (0)241 95 163 155
E-Mail:
orders@antikoerper-online.de

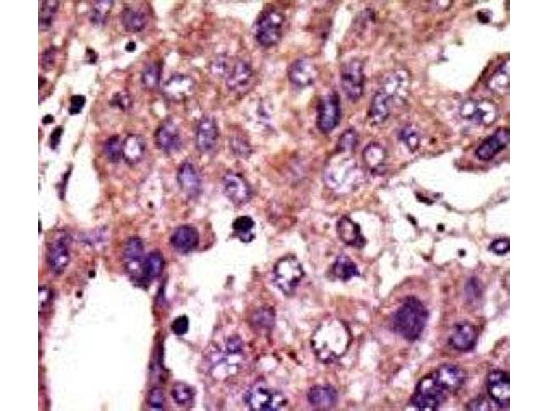
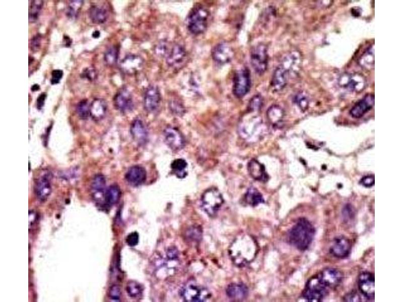
AMFR Antikörper (AA 571-601)

Der Kaninchen Polyklonal anti-AMFR Antikörper wird verwendet zum Nachweis von AMFR in Proben von Human. Er wurde validiert für WB, ELISA, IHC und FACS.
Produktnummer ABIN3030083
631,13 €
Zzgl. Versandkosten 20,00 € und MwSt
Lieferung nach: Deutschland
Lieferung in 6 bis 9 Werktagen

Kurzübersicht für AMFR Antikörper (AA 571-601) (ABIN3030083)

Target

Alle AMFR Antikörper anzeigen
AMFR (Autocrine Motility Factor Receptor (AMFR))

Reaktivität

  • 30
  • 9
  • 7
  • 4
  • 2
  • 2
  • 2
  • 2
  • 1
  • 1
  • 1
  • 1
  • 1
Human

Wirt

  • 31
  • 1
Kaninchen

Klonalität

  • 31
  • 1
Polyklonal

Konjugat

  • 23
  • 3
  • 2
  • 2
  • 1
  • 1
Dieser AMFR Antikörper ist unkonjugiert

Applikation

  • 28
  • 18
  • 9
  • 4
  • 4
  • 3
  • 3
  • 2
  • 2
  • 1
  • 1
  • 1
Western Blotting (WB), ELISA, Immunohistochemistry (IHC), Flow Cytometry (FACS)
  • Bindungsspezifität

    • 7
    • 5
    • 3
    • 2
    • 2
    • 1
    • 1
    • 1
    • 1
    • 1
    • 1
    • 1
    • 1
    • 1
    • 1
    • 1
    • 1
    AA 571-601

    Aufreinigung

    Purified

    Immunogen

    A portion of amino acids 571-601 from the human protein was used as the immunogen for this AMFR antibody.

    Isotyp

    Ig Fraction
  • Applikationshinweise

    Titration of the AMFR antibody may be required due to differences in protocols and secondary/substrate sensitivity.\. Western blot: 1:1000,IHC (Paraffin): 1:50-1:100,Flow Cytometry: 1:10-1:50

    Beschränkungen

    Nur für Forschungszwecke einsetzbar
  • Format

    Liquid

    Buffer

    In 1X PBS pH 7.4 with 0.09 % sodium azide

    Konservierungsmittel

    Sodium azide

    Vorsichtsmaßnahmen

    This product contains Sodium azide: a POISONOUS AND HAZARDOUS SUBSTANCE which should be handled by trained staff only.

    Lagerung

    -20 °C

    Informationen zur Lagerung

    Aliquot the AMFR antibody and store frozen at -20°C or colder. Avoid repeated freeze-thaw cycles.
  • Target

    AMFR (Autocrine Motility Factor Receptor (AMFR))

    Andere Bezeichnung

    AMFR

    Hintergrund

    Autocrine motility factor receptor is involved in cell motility via its binding to AMF.

    UniProt

    Q9UKV5

    Pathways

    ER-Nucleus Signaling
Sie sind hier:
Chat with us!