Telefon:
+49 (0)241 95 163 153
Fax:
+49 (0)241 95 163 155
E-Mail:
orders@antikoerper-online.de

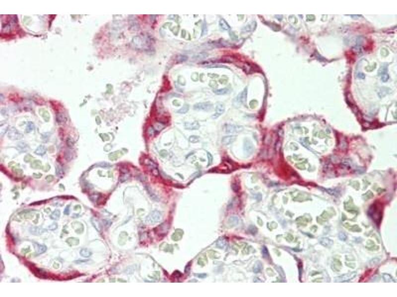
AMFR Antikörper (AA 371-400)

Der Kaninchen Polyklonal anti-AMFR Antikörper (ABIN1899405) detektiert spezifisch AMFR in WB, IHC und IHC (p). Dieser Antikörper reagiert spezifisch mit Proben aus Human.
Produktnummer ABIN1899405
512,07 €
Zzgl. Versandkosten 20,00 € und MwSt
200 μL
Lieferung nach: Deutschland
Lieferung in 15 bis 20 Werktagen

Kurzübersicht für AMFR Antikörper (AA 371-400) (ABIN1899405)

Target

Alle AMFR Antikörper anzeigen
AMFR (Autocrine Motility Factor Receptor (AMFR))

Reaktivität

  • 30
  • 9
  • 7
  • 4
  • 2
  • 2
  • 2
  • 2
  • 1
  • 1
  • 1
  • 1
  • 1
Human

Wirt

  • 31
  • 1
Kaninchen

Klonalität

  • 31
  • 1
Polyklonal

Konjugat

  • 23
  • 3
  • 2
  • 2
  • 1
  • 1
Dieser AMFR Antikörper ist unkonjugiert

Applikation

  • 28
  • 19
  • 9
  • 4
  • 3
  • 3
  • 3
  • 3
  • 2
  • 1
  • 1
  • 1
Western Blotting (WB), Immunohistochemistry (IHC), Immunohistochemistry (Paraffin-embedded Sections) (IHC (p))
  • Bindungsspezifität

    • 6
    • 5
    • 3
    • 2
    • 2
    • 2
    • 1
    • 1
    • 1
    • 1
    • 1
    • 1
    • 1
    • 1
    • 1
    • 1
    • 1
    AA 371-400

    Spezifität

    This AMFR antibody is generated from rabbits immunized with a KLH conjugated synthetic peptide between 371-400 amino acids from the Central region of human AMFR.

    Aufreinigung

    Protein A purified
  • Applikationshinweise

    Approved: IHC, IHC-P (1:50), WB (1:1000)

    Kommentare

    Target Species of Antibody: Human

    Beschränkungen

    Nur für Forschungszwecke einsetzbar
  • Format

    Liquid

    Konzentration

    Lot specific

    Buffer

    PBS, 0.09 % sodium azide

    Konservierungsmittel

    Sodium azide

    Vorsichtsmaßnahmen

    This product contains Sodium azide: a POISONOUS AND HAZARDOUS SUBSTANCE which should be handled by trained staff only.

    Lagerung

    4 °C,-20 °C

    Informationen zur Lagerung

    Maintain refrigerated at 2-8°C for up to 6 months. For long term storage store at -20°C.

    Haltbarkeit

    6 months
  • Target

    AMFR (Autocrine Motility Factor Receptor (AMFR))

    Andere Bezeichnung

    GP78 / AMFR

    Hintergrund

    Name/Gene ID: AMFR

    Synonyms: AMFR, AMF receptor, isoform 1, AMF receptor, isoform 2, gp78, RNF45, RING finger protein 45

    Gen-ID

    267

    Pathways

    ER-Nucleus Signaling
Sie sind hier:
Chat with us!