Telefon:
+49 (0)241 95 163 153
Fax:
+49 (0)241 95 163 155
E-Mail:
orders@antikoerper-online.de

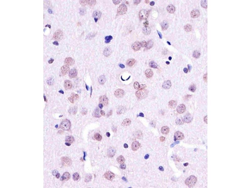
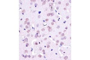
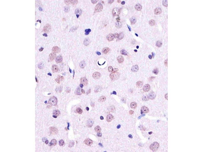
YY1 Antikörper

Dieser Maus Monoklonal Antikörper detektiert spezifisch YY1 in WB, IHC (p) und FACS. Es zeigt Reaktivität gegenüber Proben von Human, Ratte und Affe.
Produktnummer ABIN4915222
422,08 €
Zzgl. Versandkosten 20,00 € und MwSt
100 μL
Lieferung nach: Deutschland
Lieferung in 12 bis 17 Werktagen

Kurzübersicht für YY1 Antikörper (ABIN4915222)

Target

Alle YY1 Antikörper anzeigen
YY1 (YY1 Transcription Factor (YY1))

Reaktivität

  • 102
  • 57
  • 40
  • 7
  • 7
  • 6
  • 4
  • 4
  • 4
  • 3
  • 2
  • 2
  • 2
  • 1
  • 1
  • 1
Human, Ratte, Affe

Wirt

  • 87
  • 15
  • 1
Maus

Klonalität

  • 66
  • 37
Monoklonal

Konjugat

  • 65
  • 6
  • 3
  • 3
  • 3
  • 3
  • 3
  • 3
  • 3
  • 3
  • 3
  • 3
  • 1
  • 1
Dieser YY1 Antikörper ist unkonjugiert

Applikation

  • 86
  • 38
  • 33
  • 22
  • 20
  • 15
  • 12
  • 7
  • 3
  • 2
  • 1
  • 1
  • 1
  • 1
  • 1
  • 1
  • 1
  • 1
  • 1
Western Blotting (WB), Immunohistochemistry (Paraffin-embedded Sections) (IHC (p)), Flow Cytometry (FACS)

Klon

3C6
  • Kreuzreaktivität

    Human, Affe, Ratte

    Aufreinigung

    Purified monoclonal antibody supplied in PBS with 0.09% (W/V) sodium azide. This antibody is purified through a protein G column, followed by dialysis against PBS.

    Immunogen

    Purified His-tagged YY1 protein was used to produced this monoclonal antibody.

    Isotyp

    IgG2a
  • Applikationshinweise

    WB 1:300-5000
    FCM 1:20-100
    IHC-P 1:200-400

    Beschränkungen

    Nur für Forschungszwecke einsetzbar
  • Format

    Liquid

    Konzentration

    0.5 μg/μL

    Buffer

    0.01M TBS( pH 7.4) with 1 % BSA, 0.02 % Proclin300 and 50 % Glycerol.

    Konservierungsmittel

    ProClin

    Vorsichtsmaßnahmen

    This product contains ProClin: a POISONOUS AND HAZARDOUS SUBSTANCE, which should be handled by trained staff only.

    Lagerung

    -20 °C

    Informationen zur Lagerung

    Store at -20°C for 12 months.

    Haltbarkeit

    12 months
  • Target

    YY1 (YY1 Transcription Factor (YY1))

    Andere Bezeichnung

    YY1

    Hintergrund

    Synonyms: DELTA, NF-E1, UCRBP, INO80S, YIN-YANG-1, Transcriptional repressor protein YY1, Delta transcription factor, INO80 complex subunit S, Yin and yang 1, YY-1, YY1

    Background: Multifunctional transcription factor that exhibits positive and negative control on a large number of cellular and viral genes by binding to sites overlapping the transcription start site. Binds to the consensus sequence 5'-CCGCCATNTT-3', some genes have been shown to contain a longer binding motif allowing enhanced binding, the initial CG dinucleotide can be methylated greatly reducing the binding affinity. The effect on transcription regulation is depending upon the context in which it binds and diverse mechanisms of action include direct activation or repression, indirect activation or repression via cofactor recruitment, or activation or repression by disruption of binding sites or conformational DNA changes. Its activity is regulated by transcription factors and cytoplasmic proteins that have been shown to abrogate or completely inhibit YY1-mediated activation or repression. For example, it acts as a repressor in absence of adenovirus E1A protein but as an activator in its presence. Acts synergistically with the SMAD1 and SMAD4 in bone morphogenetic protein (BMP)-mediated cardiac-specific gene expression (PubMed:15329343). Binds to SMAD binding elements (SBEs) (5'-GTCT/AGAC-3') within BMP response element (BMPRE) of cardiac activating regions. May play an important role in development and differentiation. Proposed to recruit the PRC2/EED-EZH2 complex to target genes that are transcriptional repressed. Involved in DNA repair. In vitro, binds to DNA recombination intermediate structures (Holliday junctions). Proposed core component of the chromatin remodeling INO80 complex which is involved in transcriptional regulation, DNA replication and probably DNA repair, proposed to target the INO80 complex to YY1-responsive elements.

    Gen-ID

    7528

    UniProt

    P25490
Sie sind hier:
Chat with us!