Telefon:
+49 (0)241 95 163 153
Fax:
+49 (0)241 95 163 155
E-Mail:
orders@antikoerper-online.de

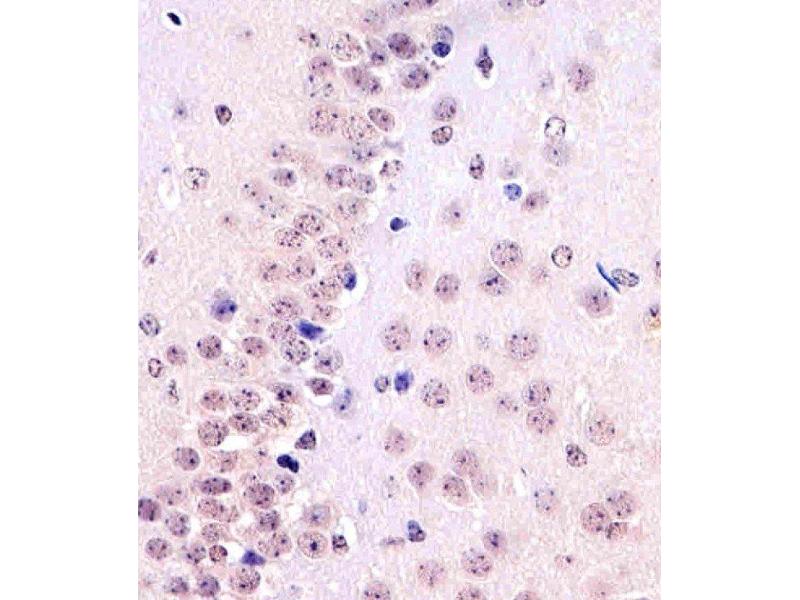
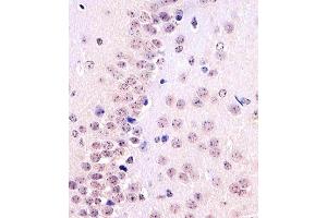
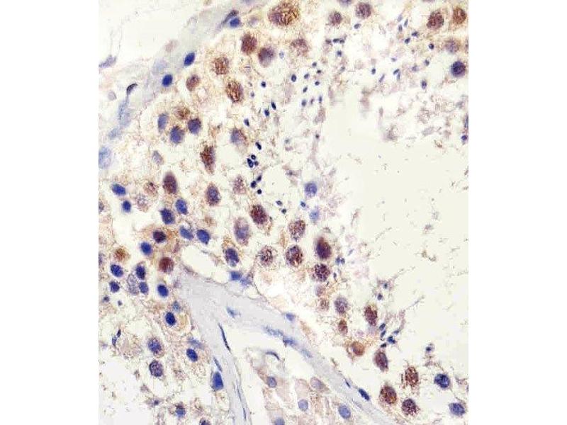
TBP Antikörper

Dieser Maus Monoklonal Antikörper detektiert spezifisch TBP in WB, IHC (p) und IF (cc). Es zeigt Reaktivität gegenüber Proben von Human, Maus, Ratte und Cynomolgus.
Produktnummer ABIN4914538
422,08 €
Zzgl. Versandkosten 20,00 € und MwSt
100 μL
Lieferung nach: Deutschland
Lieferung in 12 bis 17 Werktagen

Kurzübersicht für TBP Antikörper (ABIN4914538)

Target

Alle TBP Antikörper anzeigen
TBP (TATA Box Binding Protein (TBP))

Reaktivität

  • 86
  • 48
  • 46
  • 6
  • 6
  • 5
  • 5
  • 5
  • 4
  • 4
  • 3
  • 3
  • 3
  • 2
  • 2
  • 1
Human, Maus, Ratte, Cynomolgus

Wirt

  • 62
  • 25
  • 2
Maus

Klonalität

  • 61
  • 28
Monoklonal

Konjugat

  • 57
  • 3
  • 3
  • 3
  • 2
  • 2
  • 2
  • 2
  • 2
  • 2
  • 1
  • 1
  • 1
  • 1
  • 1
  • 1
  • 1
  • 1
  • 1
  • 1
  • 1
Dieser TBP Antikörper ist unkonjugiert

Applikation

  • 69
  • 28
  • 18
  • 14
  • 13
  • 13
  • 11
  • 10
  • 10
  • 8
  • 4
  • 2
  • 2
  • 1
  • 1
  • 1
  • 1
  • 1
Western Blotting (WB), Immunohistochemistry (Paraffin-embedded Sections) (IHC (p)), Immunofluorescence (Cultured Cells) (IF (cc))

Klon

8C4
  • Kreuzreaktivität

    Human, Maus, Ratte

    Kreuzreaktivität (Details)

    Cynomolgus Monkey

    Aufreinigung

    Purified monoclonal antibody supplied in PBS with 0.09% (W/V) sodium azide. This antibody is purified through a protein G column, eluted with high and low pH buffers and neutralized immediately, followed by dialysis against PBS.

    Immunogen

    Purified His-tagged TBP protein was used to produced this monoclonal antibody.

    Isotyp

    IgG1
  • Applikationshinweise

    WB 1:300-5000
    IHC-P 1:200-400
    IF(ICC) 1:50-200

    Beschränkungen

    Nur für Forschungszwecke einsetzbar
  • Format

    Liquid

    Konzentration

    0.5 μg/μL

    Buffer

    0.01M TBS( pH 7.4) with 1 % BSA, 0.02 % Proclin300 and 50 % Glycerol.

    Konservierungsmittel

    ProClin

    Vorsichtsmaßnahmen

    This product contains ProClin: a POISONOUS AND HAZARDOUS SUBSTANCE, which should be handled by trained staff only.

    Lagerung

    -20 °C

    Informationen zur Lagerung

    Store at -20°C for 12 months.

    Haltbarkeit

    12 months
  • Target

    TBP (TATA Box Binding Protein (TBP))

    Andere Bezeichnung

    TBP

    Hintergrund

    Synonyms: HDL4, GTF2D, SCA17, TFIID, GTF2D1, TATA-box-binding protein, TATA sequence-binding protein, TATA-binding factor, TATA-box factor, Transcription initiation factor TFIID TBP subunit, TBP, TF2D

    Background: General transcription factor that functions at the core of the DNA-binding multiprotein factor TFIID. Binding of TFIID to the TATA box is the initial transcriptional step of the pre-initiation complex (PIC), playing a role in the activation of eukaryotic genes transcribed by RNA polymerase II. Component of the transcription factor SL1/TIF-IB complex, which is involved in the assembly of the PIC (preinitiation complex) during RNA polymerase I-dependent transcription. The rate of PIC formation probably is primarily dependent on the rate of association of SL1 with the rDNA promoter. SL1 is involved in stabilization of nucleolar transcription factor 1/UBTF on rDNA.

    Gen-ID

    6908

    UniProt

    P20226

    Pathways

    WNT Signalweg
Sie sind hier:
Chat with us!