Telefon:
+49 (0)241 95 163 153
Fax:
+49 (0)241 95 163 155
E-Mail:
orders@antikoerper-online.de

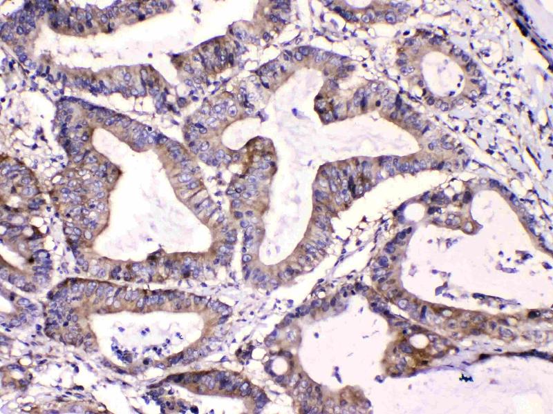
Calpastatin Antikörper (Middle Region)

Dieser Kaninchen Polyklonal Antikörper detektiert spezifisch Calpastatin in WB, IHC, IF, FACS und ICC. Es zeigt Reaktivität gegenüber Proben von Human.
Produktnummer ABIN4886503
500,50 €
Zzgl. Versandkosten 20,00 € und MwSt
100 μg
Lieferung nach: Deutschland
Lieferung in 8 bis 12 Werktagen

Kurzübersicht für Calpastatin Antikörper (Middle Region) (ABIN4886503)

Target

Alle Calpastatin (CAST) Antikörper anzeigen
Calpastatin (CAST)

Reaktivität

  • 60
  • 19
  • 3
  • 2
Human

Wirt

  • 39
  • 23
Kaninchen

Klonalität

  • 41
  • 21
Polyklonal

Konjugat

  • 28
  • 4
  • 3
  • 2
  • 1
  • 1
  • 1
  • 1
  • 1
  • 1
  • 1
  • 1
  • 1
  • 1
  • 1
  • 1
  • 1
  • 1
  • 1
  • 1
  • 1
  • 1
  • 1
  • 1
  • 1
  • 1
  • 1
  • 1
  • 1
Dieser Calpastatin Antikörper ist unkonjugiert

Applikation

  • 38
  • 17
  • 15
  • 13
  • 13
  • 10
  • 7
  • 6
  • 4
  • 3
  • 3
  • 2
  • 2
  • 1
  • 1
Western Blotting (WB), Immunohistochemistry (IHC), Immunofluorescence (IF), Flow Cytometry (FACS), Immunocytochemistry (ICC)
  • Bindungsspezifität

    • 15
    • 7
    • 3
    • 2
    • 1
    • 1
    • 1
    • 1
    • 1
    • 1
    • 1
    • 1
    AA 275-310, Middle Region

    Verwendungszweck

    Anti-Calpastatin/CAST Antibody

    Sequenz

    QEKKRKVEKD TMSDQALEAL SASLGTRQAE PELDLR

    Kreuzreaktivität (Details)

    No cross-reactivity with other proteins

    Produktmerkmale

    Anti-Calpastatin/CAST Antibody (ABIN4886503). Tested in Flow Cytometry, IF, IHC, ICC, WB applications. This antibody reacts with Human. This is a premium antibody that guarantees superior quality, high affinity, and strong signals with minimal background in Western blot applications.

    Aufreinigung

    Immunogen affinity purified.

    Immunogen

    A synthetic peptide corresponding to a sequence in the middle region of human Calpastatin, different from the related mouse sequence by fifteen amino acids, and from the related rat sequence by eleven amino acids.

    Isotyp

    IgG
  • Applikationshinweise

    Western blot, 0.1-0.5 μg/mL, Human
    Immunohistochemistry (Paraffin-embedded Section), 0.5-1 μg/mL, Human
    Immunocytochemistry/Immunofluorescence, 2 μg/mL, Human
    Flow Cytometry (Fixed), 1-3 μg/1x106 cells, Human

    Kommentare

    Antibody can be supported by chemiluminescence kit ABIN921124 in WB, supported by ABIN921231 in IHC(P).

    Beschränkungen

    Nur für Forschungszwecke einsetzbar
  • Format

    Lyophilized

    Rekonstitution

    Add 0.2 mL of distilled water will yield a concentration of 500 μg/mL.

    Konzentration

    500 μg/mL

    Buffer

    Each vial contains 5 mg BSA, 0.9 mg NaCl, 0.2 mg Na2HPO4, 0.05 mg Sodium azide.

    Konservierungsmittel

    Sodium azide

    Vorsichtsmaßnahmen

    This product contains Sodium azide: a POISONOUS AND HAZARDOUS SUBSTANCE which should be handled by trained staff only.

    Handhabung

    Avoid repeated freezing and thawing.

    Lagerung

    4 °C,-20 °C

    Informationen zur Lagerung

    Store at -20°C for one year from date of receipt. After reconstitution, at 4°C for one month.
    It can also be aliquotted and stored frozen at -20°C for six months. Avoid repeated freeze-thaw cycles.
  • Target

    Calpastatin (CAST)

    Andere Bezeichnung

    CAST

    Hintergrund

    Synonyms: Calpastatin,Calpain inhibitor,Sperm BS-17 component,CAST,

    Tissue Specificity: Expressed in the islets of Langerhans (at protein level).

    Background: Calpastatin is a protein that in humans is encoded by the CAST gene. It is mapped to 5q15. The protein encoded by this gene is an endogenous calpain (calcium-dependent cysteine protease) inhibitor. It consists of an N-terminal domain L and four repetitive calpain-inhibition domains (domains 1-4), and it is involved in the proteolysis of amyloid precursor protein. The calpain/calpastatin system is involved in numerous membrane fusion events, such as neural vesicle exocytosis and platelet and red-cell aggregation. The encoded protein is also thought to affect the expression levels of genes encoding structural or regulatory proteins. Alternatively spliced transcript variants encoding different isoforms have been described.

    Molekulargewicht

    120 kDa

    Gen-ID

    831

    UniProt

    P20810
Sie sind hier:
Chat with us!