Telefon:
+49 (0)241 95 163 153
Fax:
+49 (0)241 95 163 155
E-Mail:
orders@antikoerper-online.de

KIT Ligand Antikörper

Der Kaninchen Polyklonal anti-KIT Ligand Antikörper (ABIN465573) detektiert spezifisch KIT Ligand in WB, ELISA und Neut. Dieser Antikörper reagiert spezifisch mit Proben aus Human.
Produktnummer ABIN465573
739,97 €
Zzgl. Versandkosten 20,00 € und MwSt
Lieferung nach: Deutschland
Lieferung in 15 bis 20 Werktagen

Kurzübersicht für KIT Ligand Antikörper (ABIN465573)

Target

Alle KIT Ligand (KITLG) Antikörper anzeigen
KIT Ligand (KITLG)

Reaktivität

  • 124
  • 56
  • 34
  • 6
  • 4
  • 2
  • 2
  • 2
  • 2
  • 2
  • 1
  • 1
  • 1
  • 1
  • 1
Human

Wirt

  • 125
  • 26
  • 7
  • 1
Kaninchen

Klonalität

  • 114
  • 45
Polyklonal

Konjugat

  • 77
  • 18
  • 7
  • 7
  • 5
  • 4
  • 4
  • 4
  • 4
  • 4
  • 4
  • 3
  • 2
  • 1
  • 1
  • 1
  • 1
  • 1
  • 1
  • 1
  • 1
  • 1
  • 1
  • 1
  • 1
  • 1
  • 1
  • 1
  • 1
Dieser KIT Ligand Antikörper ist unkonjugiert

Applikation

  • 119
  • 51
  • 49
  • 45
  • 32
  • 31
  • 14
  • 14
  • 13
  • 13
  • 11
  • 10
  • 5
  • 4
  • 4
  • 4
  • 2
  • 1
  • 1
  • 1
  • 1
Western Blotting (WB), ELISA, Neutralization (Neut)
  • Spezifität

    Human SCF

    Aufreinigung

    Immunoaffinity purified

    Immunogen

    E.coli derived recombinant Human SCF.

    Type of Immunogen: Cell extract
  • Applikationshinweise

    Approved: ELISA (0.5 - 2 μg/mL), Neut (8 - 12 μg/mL), WB

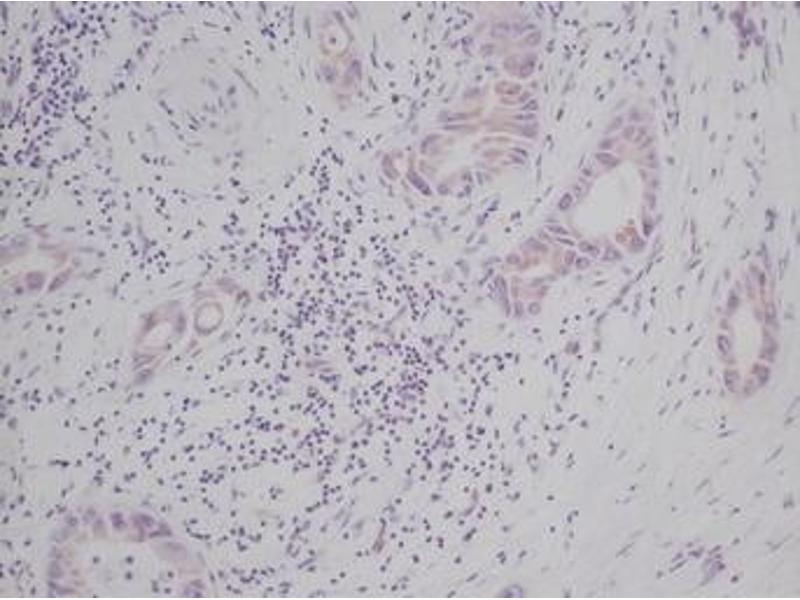
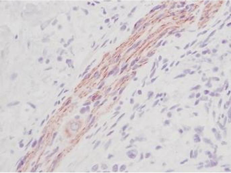
    Usage: Immunohistochemistry: This antibody stained formalin-fixed paraffin-embedded sections of human pancreas adenocarcinoma tissue. The recommended concentration is 0.5 μg/mL-1 μg/mL with an overnight incubation at 4 °C. An HRP-labeled polymer detection system was used with an alcohol-soluble AEC chromogen. Optimal results for these conditions were achieved with enzyme induced antigen retrieval (proteinase K) at room temperature. Optimal concentrations and conditions may vary. *Additional Immunostaining data available. Please contact Tech Support for information. Neutralization: To yield one-half maximal inhibition [ND] of the biological activity of hSCF (10.00 ng/mL), a concentration of 0.64-0.96 μg/mL of this antibody is required. ELISA: To detect hSCF by sandwich ELISA (using 100 μL/well antibody solution) a concentration of 0.5-2 μg/mL of this antibody is required. This antigen affinity purified antibody, in conjunction with Biotinylated Anti-Human SCF (LS-C104672) as a detection antibody, allows the detection of at least 0.2-0.4 ng/well of recombinant hSCF. Western Blot: To detect hSCF by Western Blot analysis this antibody can be used at a concentration of 0.1-0.2 μg/mL. Used in conjunction with compatible secondary reagents the detection limit for recombinant hSCF is 1.5-3 ng/lane, under either reducing or non-reducing conditions.

    Kommentare

    Target Species of Antibody: Human

    Beschränkungen

    Nur für Forschungszwecke einsetzbar
  • Format

    Lyophilized

    Rekonstitution

    Sterile water

    Konzentration

    Lot specific

    Buffer

    Lyophilized from PBS,  pH 7.2

    Handhabung

    Avoid freeze/thaw cycles.

    Lagerung

    4 °C,-20 °C

    Informationen zur Lagerung

    Store Lyophilized at room temperature up to 1 month
    Reconstituted for up to 2 weeks at 2-8°C. Aliquot and freeze at -20°C for long term storage. Avoid freeze/thaw cycles.
  • Target

    KIT Ligand (KITLG)

    Andere Bezeichnung

    KITLG / SCF

    Hintergrund

    Name/Gene ID: KITLG

    Synonyms: KITLG, C-Kit ligand, KIT ligand, Kitl, KL-1, SHEP7, SF, Steel factor, Stem cell factor, SCF, FPH2, Mast cell growth factor, MGF

    Gen-ID

    4254

    UniProt

    P21583

    Pathways

    RTK Signalweg, Fc-epsilon Rezeptor Signalübertragung, EGFR Signaling Pathway, Neurotrophin Signalübertragung
Sie sind hier:
Chat with us!